Phone:
+1 877 302 8632
Fax:
+1 888 205 9894 (Toll-free)
E-Mail:
orders@antibodies-online.com

PSGR antibody (N-Term)

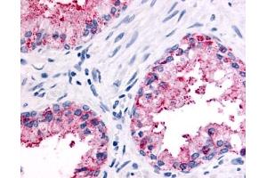
This Rabbit Polyclonal antibody specifically detects PSGR in IHC (p). It exhibits reactivity toward Human, Rat and Mouse.
Catalog No. ABIN122638

Quick Overview for PSGR antibody (N-Term) (ABIN122638)

Target

See all PSGR (OR51E2) Antibodies
PSGR (OR51E2) (Olfactory Receptor, Family 51, Subfamily E, Member 2 (OR51E2))

Reactivity

  • 6
  • 5
  • 1
  • 1
  • 1
Human, Rat, Mouse

Host

  • 6
Rabbit

Clonality

  • 6
Polyclonal

Conjugate

  • 6
This PSGR antibody is un-conjugated

Application

  • 6
  • 5
  • 4
  • 1
Immunohistochemistry (Paraffin-embedded Sections) (IHC (p))
  • Binding Specificity

    • 3
    • 1
    • 1
    • 1
    N-Term

    Specificity

    Reacts with PSGR (Family: GPCR, subfamily: Olfactory).

    Cross-Reactivity (Details)

    Species reactivity (expected):Mouse and Rat.
    Species reactivity (tested):Human.

    Purification

    Immunoaffinity Chromatography.

    Immunogen

    Synthetic peptide - KLH conjugated.
  • Application Notes

    Immunohistochemistry with formalin fixed paraffin embedded tissues: 16 μg/mL Antigen Retrieval: Steam slides in 0.01 M sodium citrate buffer, pH 6.0, at 99-100 °C for 20 min. Remove from heat and let stand at room temperature in buffer for 20 min. Rinse in 1x TBS with Tween (TBST) for 1 min. at room temperature.
    Other applications not tested.
    Optimal dilutions are dependent on conditions and should be determined by the user. Further Comments: This product was originally produced by MBL International.

    Restrictions

    For Research Use only
  • Concentration

    1.0 mg/mL

    Buffer

    PBS containing 0.09 % Sodium Azide as preservative.

    Preservative

    Sodium azide

    Precaution of Use

    This product contains sodium azide: a POISONOUS AND HAZARDOUS SUBSTANCE which should be handled by trained staff only.

    Storage

    4 °C/-20 °C

    Storage Comment

    Store the antibody undiluted at 2-8 °C for one month or (in aliquots) at -20 °C to -70 °C forlonger. Avoid repeated freezing and thawing.
    Shelf life: one year from despatch.

    Expiry Date

    12 months
  • Target

    PSGR (OR51E2) (Olfactory Receptor, Family 51, Subfamily E, Member 2 (OR51E2))

    Alternative Name

    Olfactory Receptor 51E2

    Background

    Prostate-specific G protein-coupled receptor possesses homology to the Olfactory Receptor family. It is expressed specifically in normal prostate, and its expression is upregulated in prostate carcinoma. In humans, it has also been shown to be expressed in the olfactory epithelium and, to a lesser extent, in the medulla of the brain. ESTs have been isolated from prostate libraries.Synonyms: HPRAJ, OR51E2, Olfactory receptor OR11-16, PSGR, Prostate-specific G-protein coupled receptor

    Gene ID

    81285

    UniProt

    Q9H255
You are here:
Chat with us!