Phone:
+1 877 302 8632
Fax:
+1 888 205 9894 (Toll-free)
E-Mail:
orders@antibodies-online.com

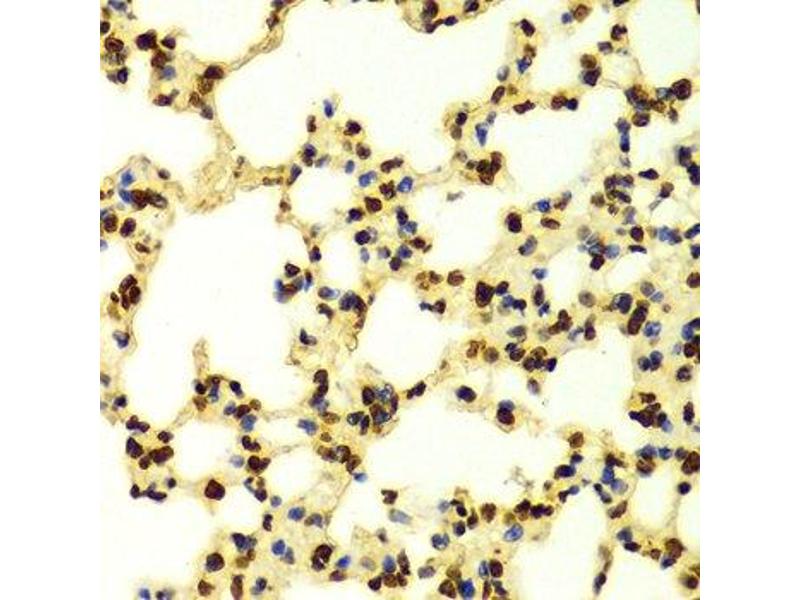
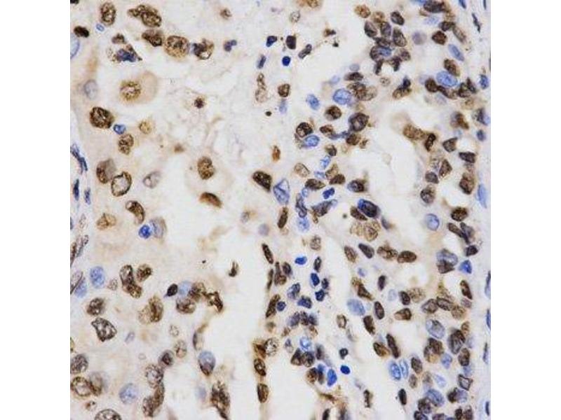
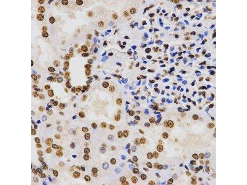
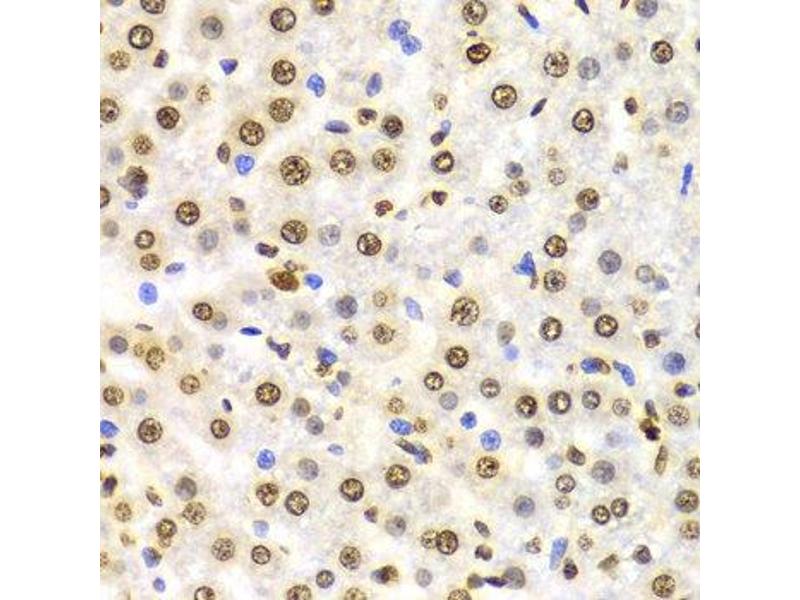
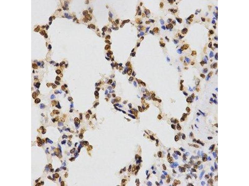
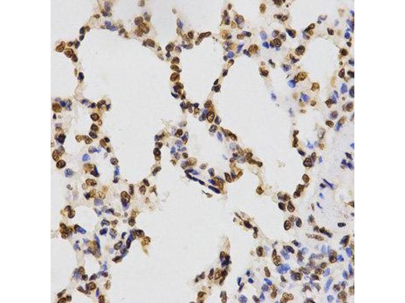
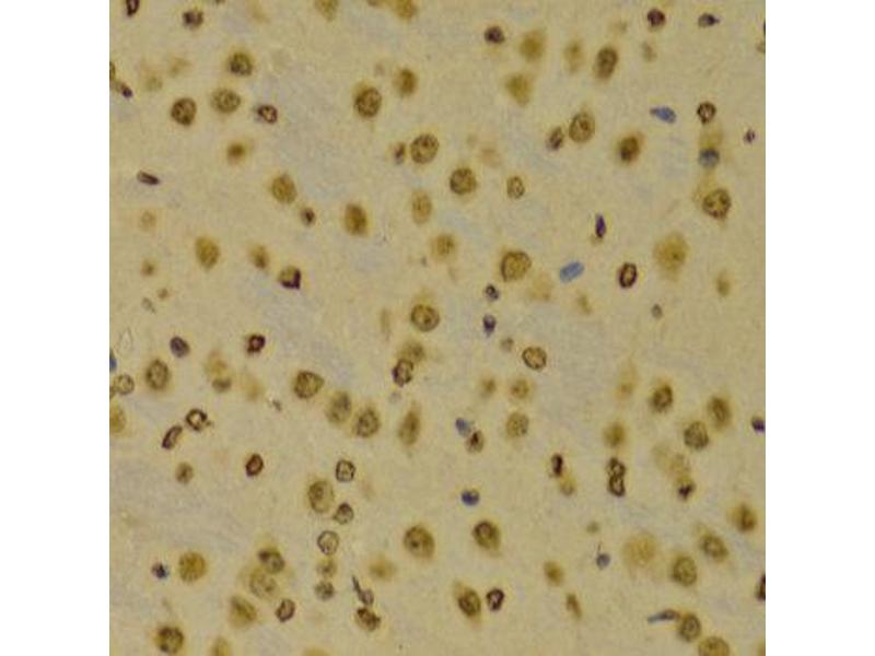
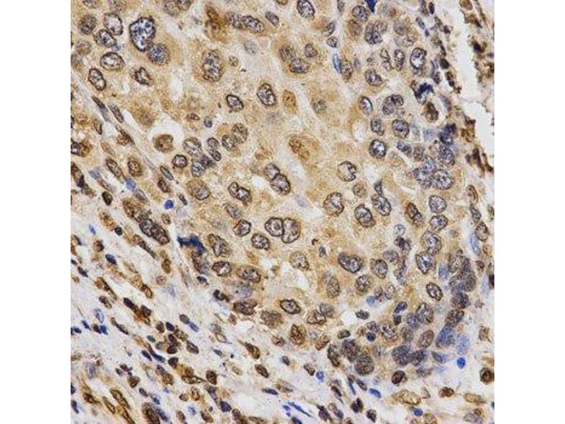
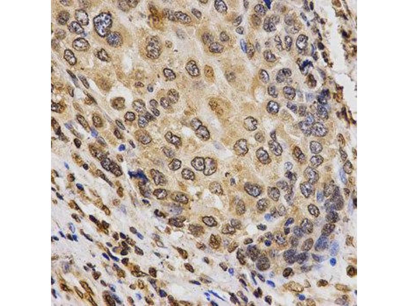
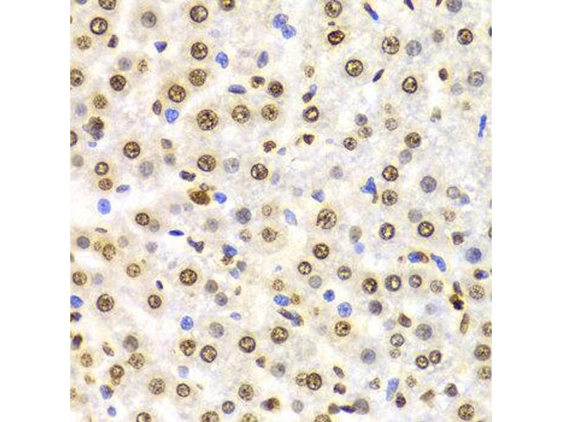
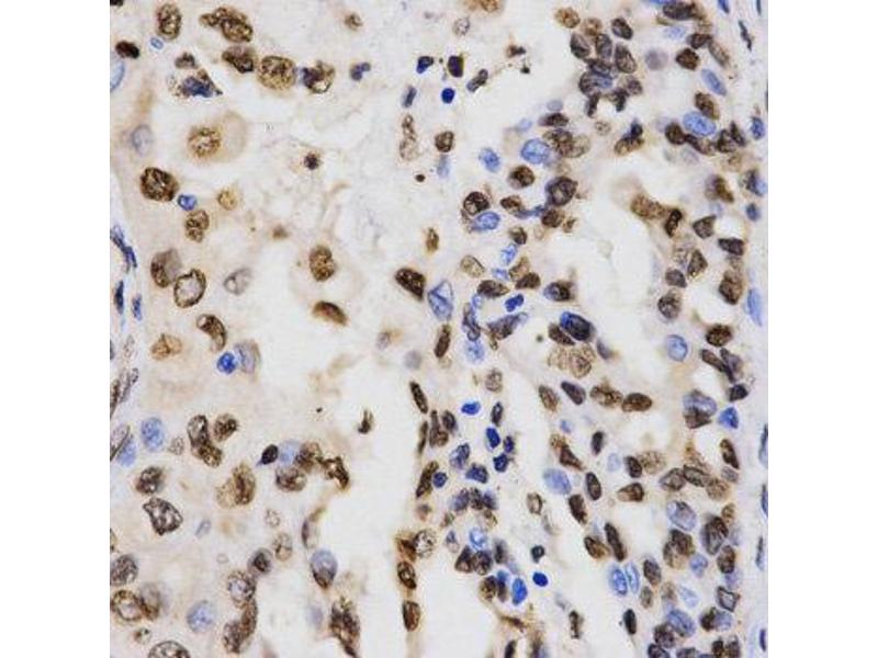
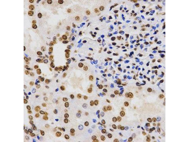
Histone 3 antibody (H3K9me3)

This Rabbit Polyclonal antibody specifically detects Histone 3 in WB, IHC, IF, ChIP and DB. It exhibits reactivity toward Human and has been mentioned in 7+ publications.
Catalog No. ABIN3016030

Quick Overview for Histone 3 antibody (H3K9me3) (ABIN3016030)

Target

See all Histone 3 (H3) Antibodies
Histone 3 (H3) (Histone H3 (H3))

Reactivity

  • 1412
  • 939
  • 841
  • 39
  • 39
  • 37
  • 34
  • 32
  • 25
  • 23
  • 20
  • 20
  • 11
  • 6
  • 5
  • 4
  • 4
  • 3
  • 3
  • 3
  • 2
  • 2
  • 2
  • 2
  • 1
  • 1
  • 1
  • 1
  • 1
  • 1
  • 1
  • 1
  • 1
  • 1
  • 1
  • 1
  • 1
  • 1
  • 1
  • 1
  • 1
Human

Host

  • 1195
  • 248
  • 8
  • 5
Rabbit

Clonality

  • 1094
  • 361
  • 1
Polyclonal

Conjugate

  • 843
  • 79
  • 44
  • 44
  • 44
  • 44
  • 44
  • 44
  • 29
  • 27
  • 18
  • 18
  • 18
  • 17
  • 17
  • 17
  • 17
  • 17
  • 17
  • 17
  • 17
  • 16
  • 7
  • 1
This Histone 3 antibody is un-conjugated

Application

  • 1062
  • 414
  • 387
  • 352
  • 261
  • 191
  • 188
  • 188
  • 163
  • 159
  • 146
  • 129
  • 115
  • 48
  • 48
  • 37
  • 35
  • 26
  • 25
  • 15
  • 14
  • 7
  • 7
  • 7
  • 4
  • 3
  • 1
  • 1
  • 1
  • 1
Western Blotting (WB), Immunohistochemistry (IHC), Immunofluorescence (IF), Chromatin Immunoprecipitation (ChIP), Dot Blot (DB)
  • Binding Specificity

    • 50
    • 50
    • 48
    • 44
    • 39
    • 38
    • 38
    • 38
    • 38
    • 36
    • 35
    • 34
    • 33
    • 32
    • 32
    • 30
    • 30
    • 26
    • 23
    • 23
    • 22
    • 19
    • 19
    • 19
    • 18
    • 17
    • 17
    • 17
    • 16
    • 16
    • 15
    • 15
    • 15
    • 14
    • 13
    • 13
    • 13
    • 13
    • 13
    • 13
    • 12
    • 11
    • 11
    • 11
    • 10
    • 10
    • 10
    • 9
    • 8
    • 8
    H3K9me3

    Cross-Reactivity

    Human, Mouse, Rat

    Characteristics

    Methylated Antibodies

    Purification

    Affinity purification

    Immunogen

    A synthetic methylated peptide corresponding to residues surrounding K9 of human histone H3

    Isotype

    IgG
  • Application Notes

    DB,1:500 - 1:2000,WB,1:500 - 1:2000,IHC,1:50 - 1:200,IF,1:50 - 1:200,ChIP,1:50 - 1:200

    Restrictions

    For Research Use only
  • Buffer

    PBS with 0.02 % sodium azide,50 % glycerol, pH 7.3.

    Preservative

    Sodium azide

    Precaution of Use

    This product contains Sodium azide: a POISONOUS AND HAZARDOUS SUBSTANCE which should be handled by trained staff only.

    Storage

    -20 °C

    Storage Comment

    Store at -20°C. Avoid freeze / thaw cycles.
  • Zuo, Rong, Li, Lv, Lan, Tong: "The histone methyltransferase SETD2 is required for expression of acrosin-binding protein 1 and protamines and essential for spermiogenesis in mice." in: The Journal of biological chemistry, Vol. 293, Issue 24, pp. 9188-9197, (2019) (PubMed).

    Zhao, Zhang, Chen, Wang, Li, Cheng, Duan, Zhu, Wei, Li, Wu, Han, Yu, Gao, Li, Wong: "Dissecting the precise role of H3K9 methylation in crosstalk with DNA maintenance methylation in mammals." in: Nature communications, Vol. 7, pp. 12464, (2018) (PubMed).

    Fan, Lv, Huo, Wu, Wang, Cheng, Liu, Tang, Zhang, Zhang, Zheng, Wu, Wen: "The nuclear matrix protein HNRNPU maintains 3D genome architecture globally in mouse hepatocytes." in: Genome research, Vol. 28, Issue 2, pp. 192-202, (2018) (PubMed).

    Yu, Liu, Liu, Wang, Liu, Miao, Du, Yang: "Ascorbic acid induces global epigenetic reprogramming to promote meiotic maturation and developmental competence of porcine oocytes." in: Scientific reports, Vol. 8, Issue 1, pp. 6132, (2018) (PubMed).

    Cao, Liu, Yue, Liu, Pei, Gu, Wang, Jia: "Iron chelation inhibits cancer cell growth and modulates global histone methylation status in colorectal cancer." in: Biometals : an international journal on the role of metal ions in biology, biochemistry, and medicine, Vol. 31, Issue 5, pp. 797-805, (2018) (PubMed).

    Yin, Jiang, Jiang, Gao, Wang, Fan, Khan, Jabeen, Khan, Ali, Xu, Pandita, Fan, Zhang, Shi: "Histone acetyltransferase KAT8 is essential for mouse oocyte development by regulating reactive oxygen species levels." in: Development (Cambridge, England), Vol. 144, Issue 12, pp. 2165-2174, (2017) (PubMed).

    Zhao, Lei, Zhang, Zheng, Wang, Zhao, Li, Ye, Li, Wei, Wu: "Global histone modification profiling reveals the epigenomic dynamics during malignant transformation in a four-stage breast cancer model." in: Clinical epigenetics, Vol. 8, pp. 34, (2016) (PubMed).

  • Target

    Histone 3 (H3) (Histone H3 (H3))

    Alternative Name

    Histone H3

    Background

    Histones are basic nuclear proteins that are responsible for the nucleosome structure of the chromosomal fiber in eukaryotes. Nucleosomes consist of approximately 146 bp of DNA wrapped around a histone octamer composed of pairs of each of the four core histones (H2A, H2B, H3, and H4). The chromatin fiber is further compacted through the interaction of a linker histone, H1, with the DNA between the nucleosomes to form higher order chromatin structures. This gene is intronless and encodes a replication-dependent histone that is a member of the histone H3 family. Transcripts from this gene lack polyA tails, instead, they contain a palindromic termination element. This gene is located separately from the other H3 genes that are in the histone gene cluster on chromosome 6p22-p21.3.,H3.4,H3/g,H3FT,H3t,HIST3H3,Histone H3,HIST1H3A,Signal Transduction,MAPK-Erk Signaling Pathway,MAPK-P38 Signaling Pathway,Epigenetics & Nuclear Signaling,Epigenetic Modifications,Methylation,Histone H3

    Molecular Weight

    15 kDa

    Gene ID

    8290

    UniProt

    Q16695
You are here:
Chat with us!