Phone:
+1 877 302 8632
Fax:
+1 888 205 9894 (Toll-free)
E-Mail:
orders@antibodies-online.com

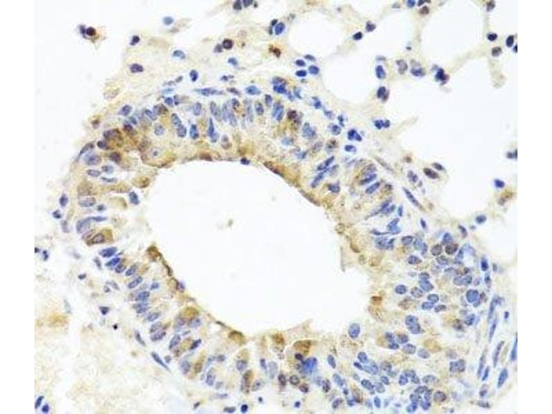
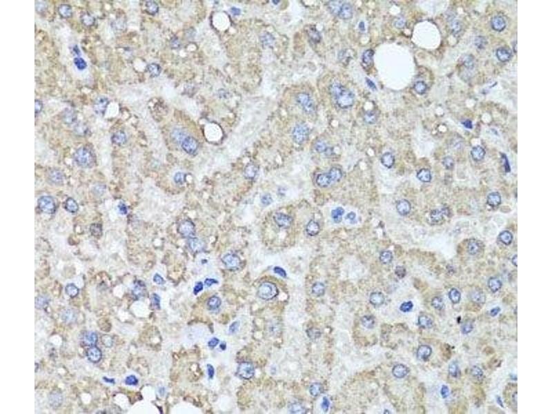
MUC16 antibody

This anti-MUC16 antibody is a Rabbit Polyclonal antibody detecting MUC16 in IHC. Suitable for Human, Mouse and Rat.
Catalog No. ABIN7255099
$538.80
Plus shipping costs $50.00
Shipping to: United States
Delivery in 11 to 14 Business Days

Quick Overview for MUC16 antibody (ABIN7255099)

Target

See all MUC16 (CA125) Antibodies
MUC16 (CA125) (Mucin 16, Cell Surface Associated (CA125))

Reactivity

Human, Mouse, Rat

Host

  • 80
  • 66
  • 4
  • 2
  • 1
Rabbit

Clonality

  • 108
  • 40
  • 3
Polyclonal

Conjugate

  • 59
  • 20
  • 9
  • 6
  • 5
  • 5
  • 4
  • 4
  • 4
  • 4
  • 4
  • 4
  • 3
  • 2
  • 2
  • 2
  • 2
  • 2
  • 2
  • 2
  • 2
  • 2
  • 1
  • 1
This MUC16 antibody is un-conjugated

Application

  • 65
  • 58
  • 40
  • 20
  • 19
  • 18
  • 15
  • 6
  • 4
  • 3
  • 2
  • 2
  • 2
  • 2
  • 1
  • 1
  • 1
  • 1
  • 1
Immunohistochemistry (IHC)
  • Characteristics

    Polyclonal Antibody

    Purification

    Affinity purification

    Immunogen

    Recombinant fusion protein of human MUC16 (NP_078966.2).

    Isotype

    IgG
  • Application Notes

    IHC 1:50-1:200

    Restrictions

    For Research Use only
  • Format

    Liquid

    Concentration

    1 mg/mL

    Buffer

    PBS with 0.02 % sodium azide, 50 % glycerol, pH 7.3

    Preservative

    Sodium azide

    Precaution of Use

    This product contains Sodium azide: a POISONOUS AND HAZARDOUS SUBSTANCE which should be handled by trained staff only.

    Storage

    -20 °C

    Storage Comment

    Store at -20°C. Avoid freeze / thaw cycles.
  • Target

    MUC16 (CA125) (Mucin 16, Cell Surface Associated (CA125))

    Alternative Name

    MUC16

    Background

    This gene encodes a protein that is a member of the mucin family. Mucins are high molecular weight, O-glycosylated proteins that play an important role in forming a protective mucous barrier, and are found on the apical surfaces of the epithelia. The encoded protein is a membrane-tethered mucin that contains an extracellular domain at its amino terminus, a large tandem repeat domain, and a transmembrane domain with a short cytoplasmic domain. The amino terminus is highly glycosylated, while the repeat region contains 156 amino acid repeats unit that are rich in serines, threonines, and prolines. Interspersed within the repeats are Sea urchin sperm protein Enterokinase and Agrin (SEA) modules, leucine-rich repeats and ankyrin (ANK) repeats. These regions together form the ectodomain, and there is a potential cleavage site found near an SEA module close to the transmembrane domain. This protein is thought to play a role in forming a barrier, protecting epithelial cells from pathogens. Products of this gene have been used as a marker for different cancers, with higher expression levels associated with poorer outcomes.

    Gene ID

    94025

    UniProt

    Q8WXI7
You are here:
Chat with us!