Phone:
+1 877 302 8632
Fax:
+1 888 205 9894 (Toll-free)
E-Mail:
orders@antibodies-online.com

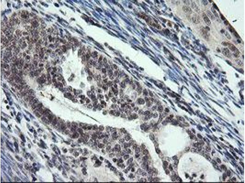
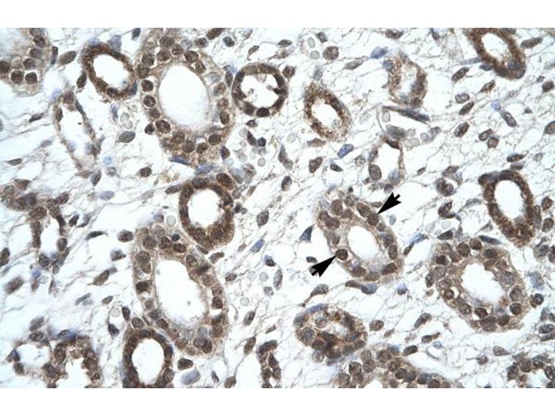
KIF25 Antibodies

(Kinesin Family Member 25 (KIF25))

Choose one of 20 KIF25 antibodies from our product listing based on 2 publications and 18 validation images.

Explore reliable KIF25 antibodies from a broad selection of renowned manufacturers. Our portfolio enables accurate KIF25 detection across multiple species, including Human, Guinea Pig, Horse, Dog, Monkey, Rat, and supports diverse research applications such as WB, IHC, ELISA, IF, IHC (p).

Quickly find the right antibody using our search, filter, and comparison tools. Each product page provides detailed validation data, literature references, and customer feedback. Unlike comparison-only resources, you can conveniently purchase antibodies directly through our site. Choose from polyclonal, monoclonal, or recombinant KIF25 antibodies derived from various hosts such as Rabbit, Mouse. Browse our products below and order directly to support your research with confidence.

Alternative names for KIF25 are KIF25.

20 results

KIF25 Reactivity: Human WB, IHC, IF, IHC (p) Host: Mouse Monoclonal 2C9 unconjugated
Catalog No. ABIN1499039
 
KIF25 Reactivity: Human IHC, ELISA Host: Rabbit Polyclonal unconjugated
Catalog No. ABIN7241231
 
KIF25 Reactivity: Human, Guinea Pig, Horse WB, IHC, IHC (p) Host: Rabbit Polyclonal unconjugated
Catalog No. ABIN202395
 
KIF25 Reactivity: Human, Monkey WB Host: Rabbit Polyclonal unconjugated
Pubmed 2 references
Catalog No. ABIN6746071
 
KIF25 Reactivity: Human WB, IHC Host: Rabbit Polyclonal unconjugated
Catalog No. ABIN630188
 
KIF25 Reactivity: Human, Dog, Guinea Pig, Horse, Rat WB, IHC Host: Rabbit Polyclonal unconjugated
Catalog No. ABIN2778195
 
KIF25 Reactivity: Human IHC, ELISA Host: Rabbit Polyclonal unconjugated
Catalog No. ABIN7157636
 
KIF25 Reactivity: Human WB Host: Rabbit Polyclonal unconjugated
Catalog No. ABIN6740359
 
KIF25 Reactivity: Human WB Host: Rabbit Polyclonal unconjugated
Catalog No. ABIN634135
 
KIF25 Reactivity: Human Host: Rabbit Polyclonal FITC
Catalog No. ABIN7157638
 
KIF25 Reactivity: Human ELISA Host: Rabbit Polyclonal Biotin
Catalog No. ABIN7157637
 
KIF25 Reactivity: Human ELISA Host: Rabbit Polyclonal HRP
Catalog No. ABIN7157639
 
KIF25 Reactivity: Human WB, IF Host: Mouse Monoclonal 2B4 unconjugated
Catalog No. ABIN2611443
 
KIF25 Reactivity: Human WB Host: Rabbit Polyclonal unconjugated
Catalog No. ABIN2778211
 
KIF25 Reactivity: Human Host: Rabbit Polyclonal Alexa Fluor 555
Catalog No. ABIN6889507
 
KIF25 Reactivity: Human Host: Rabbit Polyclonal Alexa Fluor 647
Catalog No. ABIN6916121
 
KIF25 Reactivity: Human Host: Rabbit Polyclonal Alexa Fluor 680
Catalog No. ABIN6905570
 
KIF25 Reactivity: Human Host: Rabbit Polyclonal Alexa Fluor 488
Catalog No. ABIN6817128
 
KIF25 Reactivity: Human Host: Rabbit Polyclonal Alexa Fluor 750
Catalog No. ABIN6857380
 
KIF25 Reactivity: Human Host: Rabbit Polyclonal Alexa Fluor 594
Catalog No. ABIN6833191
 
  • Type Primary
    • Primary
  • Application
    • Western Blotting (WB)
    • Immunohistochemistry (IHC)
    • ELISA
    • Immunofluorescence (IF)
    • Immunohistochemistry (Paraffin-embedded Sections) (IHC (p))
  • Reactivity
    • Human
    • Guinea Pig
    • Horse
    • Dog
    • Monkey
    • Rat
  • Cited in publications
  • Images available
  • Carrier free only
  • Host
    • Rabbit
    • Mouse
  • Clonality
    • Polyclonal
    • Monoclonal
  • Clone
    • 2B4
    • 2C9
  • Binding Specificity
    • AA 1-262
    • N-Term
    • C-Term
    • AA 302-351
    • AA 57-106
  • Conjugate
    • Un-conjugated
    • Alexa Fluor 488
    • Alexa Fluor 555
    • Alexa Fluor 594
    • Alexa Fluor 647
    • Alexa Fluor 680
    • Alexa Fluor 750
    • Biotin
    • FITC
    • HRP
  • Isotype
    • IgG
    • IgG1
    • IgG2a
  • Format
    • Liquid
    • Lyophilized
  • Supplier
    • antibodies-online
    • Signalway
    • Aviva Systems Biology

Latest Publications for our KIF25 Antibodies

Adachi, Vita, Sannohe, Stafford, Alam, Kayaba, Chihara: "The functional role of rho and rho-associated coiled-coil forming protein kinase in eotaxin signaling of eosinophils." in: Journal of immunology (Baltimore, Md. : 1950), Vol. 167, Issue 8, pp. 4609-15, (2001) (PubMed).

Sahai, Olson, Marshall: "Cross-talk between Ras and Rho signalling pathways in transformation favours proliferation and increased motility." in: The EMBO journal, Vol. 20, Issue 4, pp. 755-66, (2001) (PubMed).

Aliases for KIF25 Antibodies

kinesin family member 25 (KIF25) Antibodies
KNSL3 Antibodies
You are here:
Chat with us!