Phone:
+1 877 302 8632
Fax:
+1 888 205 9894 (Toll-free)
E-Mail:
orders@antibodies-online.com

Ionized Calcium-binding Adapter Molecule 1 Antibodies

(Ionized Calcium-binding Adapter Molecule 1 (IBA1))

Choose one of 153 Iba1 antibodies from our product listing based on 26 publications and 162 validation images.

Explore reliable Iba1 antibodies from a broad selection of renowned manufacturers. Our portfolio enables accurate Iba1 detection across multiple species, including Human, Rat, Mouse, Guinea Pig, Pig, Rabbit, and supports diverse research applications such as WB, IHC, ELISA, IHC (fp), FACS.

Quickly find the right antibody using our search, filter, and comparison tools. Each product page provides detailed validation data, literature references, and customer feedback. Unlike comparison-only resources, you can conveniently purchase antibodies directly through our site. Choose from polyclonal, monoclonal, or recombinant Iba1 antibodies derived from various hosts such as Rabbit, Mouse, Goat. Browse our products below and order directly to support your research with confidence.

Alternative names for Iba1 are AIF1, Aif1, aif1.

153 results

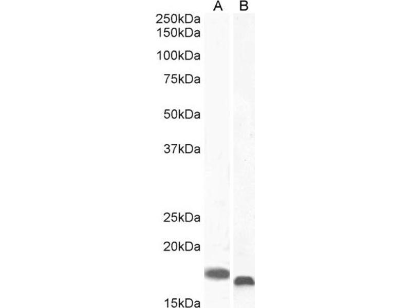
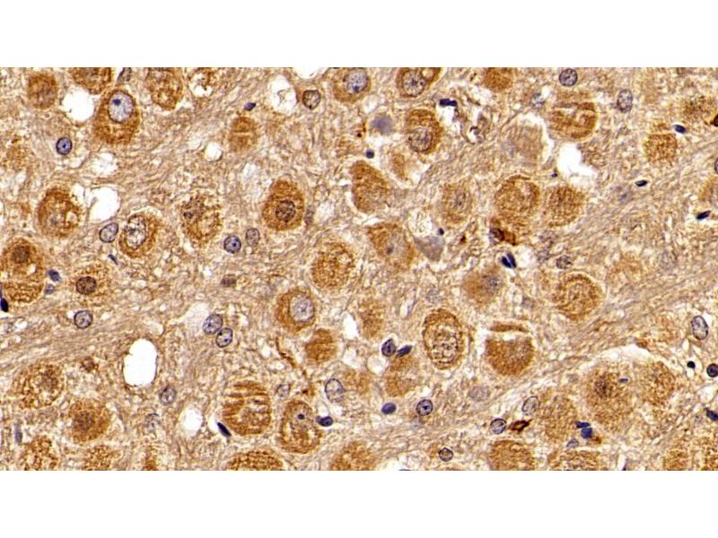
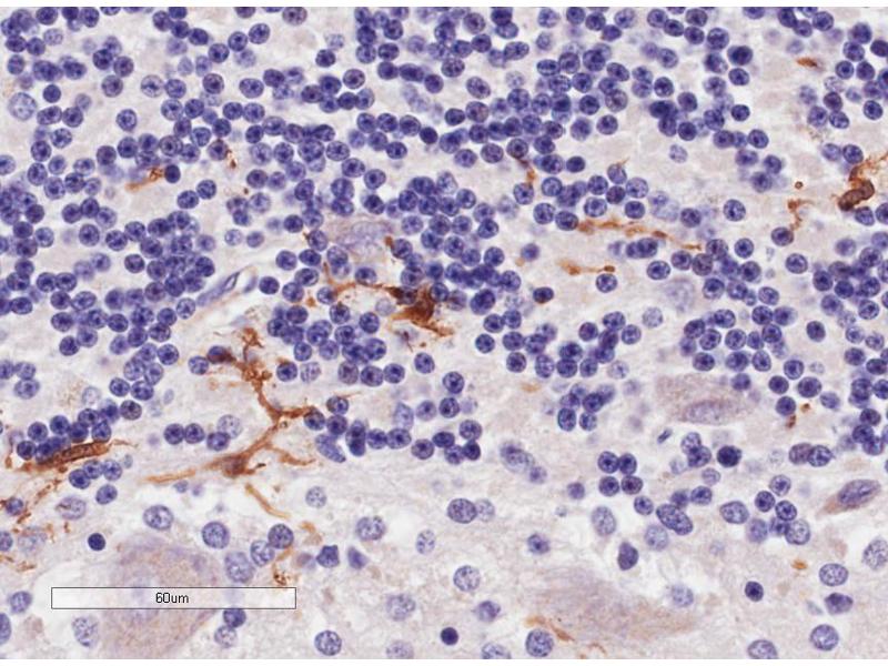
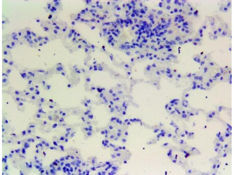
IBA1 Reactivity: Human WB, IHC, ICC, IF, IHC (p), FACS, IHC (fro), IHC (ff) Host: Rabbit Polyclonal unconjugated
Pubmed 13 references Independent Validation 1 validation
Catalog No. ABIN2857032
Independently Validated
IBA1 Reactivity: Human, Rat, Mouse WB, ELISA, IHC (p), FACS, IF (cc), IF (p), IHC (fro) Host: Rabbit Polyclonal unconjugated
Pubmed 7 references Independent Validation 1 validation
Catalog No. ABIN685477
Independently Validated
IBA1 Reactivity: Human WB, IHC, IP, ICC, IF, IHC (p), FACS, IHC (fro) Host: Rabbit Polyclonal unconjugated
Pubmed 1 reference
Catalog No. ABIN2855067
 
IBA1 Reactivity: Rat WB, IHC, IP, ICC Host: Rabbit Polyclonal unconjugated
Catalog No. ABIN7437545
 
IBA1 Reactivity: Rat WB Host: Mouse Monoclonal C5 unconjugated
Catalog No. ABIN7427558
 
IBA1 Reactivity: Human WB, IHC, IF Host: Rabbit Polyclonal unconjugated
Catalog No. ABIN6136676
 
Catalog No. ABIN184738
 
Verified IBA1 Reactivity: Human IHC, ELISA, IF, FACS Host: Goat Polyclonal unconjugated
Catalog No. ABIN185597
 
IBA1 Reactivity: Mouse WB, IHC, IP, ICC Host: Rabbit Polyclonal unconjugated
Catalog No. ABIN7434800
 
IBA1 Reactivity: Human IHC, StM Host: Mouse Monoclonal AIF1-1909 unconjugated
Catalog No. ABIN6939298
 
IBA1 Reactivity: Human WB, IHC (p) Host: Rabbit Polyclonal RB14652 unconjugated
Pubmed 2 references
Catalog No. ABIN654407
 
IBA1 Reactivity: Human WB, ELISA Host: Mouse Monoclonal 2A2-B6 unconjugated
Pubmed 1 reference
Catalog No. ABIN559819
 
Verified IBA1 Reactivity: Human IHC, ELISA, IF, FACS Host: Goat Polyclonal unconjugated
Catalog No. ABIN190906
 
Microarray verified IBA1 Reactivity: Human, Mouse IHC Host: Mouse Monoclonal MAB564577 unconjugated
Catalog No. ABIN7456154
 
IBA1 Reactivity: Human WB, IHC, FACS Host: Rabbit Polyclonal unconjugated
Catalog No. ABIN7434797
 
IBA1 Reactivity: Human IHC, ELISA, IF Host: Rabbit Polyclonal unconjugated
Catalog No. ABIN7143728
 
Microarray verified IBA1 Reactivity: Human, Mouse IHC Host: Mouse Monoclonal MAB671308 unconjugated
Catalog No. ABIN7456194
 
IBA1 Reactivity: Human IHC, StM Host: Mouse Monoclonal AIF1-2493 unconjugated
Catalog No. ABIN6939300
 
IBA1 Reactivity: Human IHC, StM Host: Mouse Monoclonal rAIF1-1909 unconjugated Recombinant Antibody
Catalog No. ABIN6939299
 
IBA1 Reactivity: Human IHC Host: Mouse Monoclonal MSVA-955M unconjugated
Catalog No. ABIN7477371
 
  • Type Primary
    • Primary
  • Application
    • Western Blotting (WB)
    • Immunohistochemistry (IHC)
    • ELISA
    • Immunohistochemistry (Formalin-fixed Paraffin-embedded Sections) (IHC (fp))
    • Flow Cytometry (FACS)
    • Immunocytochemistry (ICC)
    • Immunofluorescence (IF)
    • Immunofluorescence (Cultured Cells) (IF (cc))
    • Immunofluorescence (Paraffin-embedded Sections) (IF (p))
    • Immunohistochemistry (Paraffin-embedded Sections) (IHC (p))
    • Immunoprecipitation (IP)
    • Immunohistochemistry (Frozen Sections) (IHC (fro))
    • Immunofluorescence (fixed cells) (IF/ICC)
    • Immunochromatography (IC)
    • Immunohistochemistry (Formalin-fixed Sections) (IHC (f))
    • Staining Methods (StM)
    • Immunohistochemistry (Free Floating) (IHC (ff))
    • Enzyme Immunoassay (EIA)
  • Reactivity
    • Human
    • Rat
    • Mouse
    • Guinea Pig
    • Pig
    • Rabbit
  • Cited in publications
  • Images available
  • Independent Validation
  • Preservative free only
  • Carrier free only
  • Host
    • Rabbit
    • Mouse
    • Goat
    • Guinea Pig
  • Clonality
    • Polyclonal
    • Monoclonal
  • Clone
    • AIF1-1909
    • AIF1-2493
    • rAIF1-1909
    • 1022-5
    • GT1-mAb1
    • 13j5
    • 2A2-B6
    • 5G4E7
    • 9A3
    • AEBB-1
    • C1
    • C2
    • C5
    • C602
    • D1
    • GF1
    • GT10312
    • MAB564577
    • MAB671308
    • MSVA-955M
    • PT0288R
    • R06-8B5
    • RB14652
  • Binding Specificity
    • AA 1-146
    • AA 1-147
    • AA 2-147
    • AA 51-147
    • AA 6-36
    • C-Term
    • N-Term
    • AA 13-44
    • AA 35-130
    • AA 40-53
    • Intracellular
    • AA 35-102
    • AA 85-147
    • AA 99-133
    • Internal Region
  • Conjugate
    • Un-conjugated
    • Biotin
    • FITC
    • HRP
    • CF®405S
    • CF®488A
    • CF®568
    • CF®594
    • CF®640R
    • CF®647
    • CF®740
    • APC
    • Alexa Fluor 488
    • Alexa Fluor 555
    • Alexa Fluor 594
    • Alexa Fluor 647
    • Alexa Fluor 680
    • Alexa Fluor 750
    • PE
    • AbBy Fluor® 350
    • AbBy Fluor® 488
    • AbBy Fluor® 555
    • AbBy Fluor® 594
    • AbBy Fluor® 647
    • AbBy Fluor® 680
    • AbBy Fluor® 750
    • Cy3
    • Cy5
    • Cy5.5
    • Cy7
  • Isotype
    • IgG
    • IgG1
    • kappa
    • IgG2c
    • IgG1 kappa
    • IgG2b kappa
    • IgG2c kappa
    • Ig Fraction
    • IgG lambda
    • IgG2b
  • Protein Type
    • Recombinant Antibody
  • Format
    • Liquid
    • Lyophilized
  • Grade
    • Verified
    • Microarray verified
  • Supplier
    • antibodies-online
    • Biotium
    • Signalway
    • Abbexa
    • USBio
    • Biomatik
    • Acris
    • Alomone Labs
    • CUSABIO
    • RayBiotech
    • Boster Bio
    • Cloud-Clone
    • Cohesion Biosciences
    • NSJ Bioreagents

Latest Publications for our Ionized Calcium-binding Adapter Molecule 1 Antibodies

Zhou, Cheng, Li, Ma, Wu, Chen, Mei, Chen: "Soluble β-amyloid impaired the GABA inhibition by mediating KCC2 in early APP/PS1 mice." in: Bioscience trends, Vol. 15, Issue 5, pp. 330-340, (2022) (PubMed).

Clément, Zaragori, Filosa, Ovdiichuk, Beaumont, Collet, Roeder, Martin, Maskali, Barberi-Heyob, Pouget, Doyen, Verger: "Multi-tracer and multiparametric PET imaging to detect the IDH mutation in glioma: a preclinical translational in vitro, in vivo, and ex vivo study." in: Cancer imaging : the official publication of the International Cancer Imaging Society, Vol. 22, Issue 1, pp. 16, (2022) (PubMed).

Jin, Ou, Wei, Fan, Wei, Fang, Li, Liu, Liu, Jin, He, Duan: "Transcriptome-Wide Analysis to Identify the Inflammatory Role of lncRNA Neat1 in Experimental Ischemic Stroke." in: Journal of inflammation research, Vol. 14, pp. 2667-2680, (2021) (PubMed).

Liu, Cong, Zhang, Wang, Wang, Liu, Wang, Xu, Wang, Wang, Xue: "Plasmalogen attenuates the development of hepatic steatosis and cognitive deficit through mechanism involving p75NTR inhibition." in: Redox biology, Vol. 43, pp. 102002, (2021) (PubMed).

Hu, Si, Dai, Dong, Ma, Sun, Li, Sha, Chen, Qian, Zhang: "Exosomal miR-409-3p secreted from activated mast cells promotes microglial migration, activation and neuroinflammation by targeting Nr4a2 to activate the NF-κB pathway." in: Journal of neuroinflammation, Vol. 18, Issue 1, pp. 68, (2021) (PubMed).

Zhao, Liu, Wang, Huang, Guo, Zhao, Song: "Inhibiting endogenous tissue plasminogen activator enhanced neuronal apoptosis and axonal injury after traumatic brain injury." in: Neural regeneration research, Vol. 15, Issue 4, pp. 667-675, (2020) (PubMed).

Wang, Lai, Li, Zhou, Wang, Cao, Chen, Zhang, Chen: "Microglial activation contributes to depressive-like behavior in dopamine D3 receptor knockout mice." in: Brain, behavior, and immunity, Vol. 83, pp. 226-238, (2020) (PubMed).

Velasco-Estevez, Gadalla, Liñan-Barba, Cobb, Dev, Sheridan: "Inhibition of Piezo1 attenuates demyelination in the central nervous system." in: Glia, Vol. 68, Issue 2, pp. 356-375, (2020) (PubMed).

Kaehler, Seitter, Sandbichler, Tschugg, Obermair, Stefanova, Koschak: "Assessment of the Retina of Plp-α-Syn Mice as a Model for Studying Synuclein-Dependent Diseases." in: Investigative ophthalmology & visual science, Vol. 61, Issue 6, pp. 12, (2020) (PubMed).

Wahle, Sofranko, Dekkers, Miller, Heusinkveld, Albrecht, Cassee, Schins: "Evaluation of neurological effects of cerium dioxide nanoparticles doped with different amounts of zirconium following inhalation exposure in mouse models of Alzheimer's and vascular disease." in: Neurochemistry international, Vol. 138, pp. 104755, (2020) (PubMed).

Aliases for Ionized Calcium-binding Adapter Molecule 1 Antibodies

allograft inflammatory factor 1 (AIF1) Antibodies
allograft inflammatory factor 1 (Aif1) Antibodies
allograft inflammatory factor 1 (aif1) Antibodies
AI607846 Antibodies
AIF Antibodies
AIF-1 Antibodies
AIF1 Antibodies
aif1 Antibodies
Bart1 Antibodies
D17H6S50E Antibodies
fa04b11 Antibodies
G1 Antibodies
IBA1 Antibodies
Iba1 Antibodies
iba1 Antibodies
IRT-1 Antibodies
IRT1 Antibodies
mrf-1 Antibodies
wu:fa04b11 Antibodies
You are here:
Chat with us!