Phone:
+1 877 302 8632
Fax:
+1 888 205 9894 (Toll-free)
E-Mail:
orders@antibodies-online.com

Intrinsic Factor Antibodies

(Gastric Intrinsic Factor (Vitamin B Synthesis) (GIF))

Choose one of 35 Intrinsic Factor antibodies from our product listing based on 1 publication and 22 validation images.

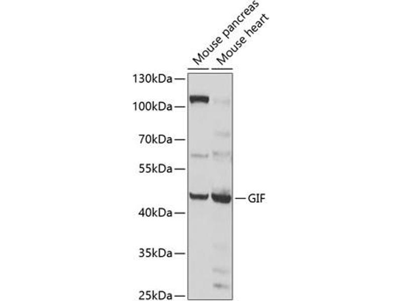
Explore reliable Intrinsic Factor antibodies from a broad selection of renowned manufacturers. Our portfolio enables accurate Intrinsic Factor detection across multiple species, including Human, Mouse, Rat, Cow, Dog, Guinea Pig, Horse, Pig, Rabbit, and supports diverse research applications such as WB, IHC, ELISA, IF, FACS.

Quickly find the right antibody using our search, filter, and comparison tools. Each product page provides detailed validation data, literature references, and customer feedback. Unlike comparison-only resources, you can conveniently purchase antibodies directly through our site. Choose from polyclonal, monoclonal, or recombinant Intrinsic Factor antibodies derived from various hosts such as Rabbit, Mouse, Sheep. Browse our products below and order directly to support your research with confidence.

Alternative names for Intrinsic Factor are GIF, Gif.

35 results

GIF Reactivity: Human WB, IF, FACS, IHC (p) Host: Rabbit Polyclonal RB32460 unconjugated
Catalog No. ABIN656899
 
GIF Reactivity: Rat WB, IHC, IP, ICC Host: Rabbit Polyclonal unconjugated
Catalog No. ABIN7441955
 
GIF Reactivity: Human WB Host: Rabbit Polyclonal unconjugated
Pubmed 1 reference
Catalog No. ABIN516030
 
GIF Reactivity: Human IP, ELISA, IF Host: Mouse Monoclonal 1D9 unconjugated
Catalog No. ABIN516031
 
GIF Reactivity: Human WB, IF, FACS, IHC (p) Host: Rabbit Polyclonal unconjugated
Catalog No. ABIN952930
 
GIF Reactivity: Human WB, IHC, IP, ICC Host: Rabbit Polyclonal unconjugated
Catalog No. ABIN7435355
 
GIF Reactivity: Mouse WB, IHC, IP, ICC Host: Rabbit Polyclonal unconjugated
Catalog No. ABIN7443227
 
GIF Reactivity: Human WB Host: Mouse Polyclonal unconjugated
Catalog No. ABIN516029
 
GIF Reactivity: Human WB, IHC, IP, ICC Host: Mouse Monoclonal unconjugated
Catalog No. ABIN7639309
 
GIF Reactivity: Human WB Host: Mouse Polyclonal unconjugated
Catalog No. ABIN2603737
 
GIF Reactivity: Human WB, IHC, ELISA, IF, FACS Host: Rabbit Polyclonal unconjugated
Catalog No. ABIN2621318
 
GIF Reactivity: Human, Mouse WB Host: Rabbit Polyclonal unconjugated
Catalog No. ABIN2603738
 
GIF Reactivity: Human WB, IHC, ICC, ELISA, IF, FACS Host: Rabbit Polyclonal Biotin
Catalog No. ABIN1898446
 
GIF Reactivity: Human WB, IHC, ICC, ELISA, IF, FACS Host: Rabbit Polyclonal HRP
Catalog No. ABIN1898445
 
GIF Reactivity: Human WB, IHC, ICC, ELISA, IF, FACS Host: Rabbit Polyclonal PE
Catalog No. ABIN1898450
 
GIF Reactivity: Human WB, IHC, ICC, ELISA, IF, FACS Host: Rabbit Polyclonal FITC
Catalog No. ABIN1898449
 
GIF Reactivity: Human WB, IHC, ICC, ELISA, IF, FACS Host: Rabbit Polyclonal APC
Catalog No. ABIN1898448
 
GIF Reactivity: Human, Mouse, Rat, Cow, Dog, Guinea Pig, Horse, Pig, Rabbit WB Host: Rabbit Polyclonal unconjugated
Catalog No. ABIN2783456
 
GIF Reactivity: Human, Mouse WB, IF, IC Host: Rabbit Polyclonal unconjugated
Catalog No. ABIN7310306
 
GIF Reactivity: Human WB, IHC, IP, ICC Host: Rabbit Polyclonal unconjugated
Catalog No. ABIN7617957
 
  • Type Primary
    • Primary
  • Application
    • Western Blotting (WB)
    • Immunohistochemistry (IHC)
    • ELISA
    • Immunofluorescence (IF)
    • Flow Cytometry (FACS)
    • Immunocytochemistry (ICC)
    • Immunoprecipitation (IP)
    • Immunochromatography (IC)
    • Immunohistochemistry (Paraffin-embedded Sections) (IHC (p))
    • Immunofluorescence (fixed cells) (IF/ICC)
  • Reactivity
    • Human
    • Mouse
    • Rat
    • Cow
    • Dog
    • Guinea Pig
    • Horse
    • Pig
    • Rabbit
  • Cited in publications
  • Images available
  • Preservative free only
  • Carrier free only
  • Host
    • Rabbit
    • Mouse
    • Sheep
  • Clonality
    • Polyclonal
    • Monoclonal
  • Clone
    • 1D9
    • RB32460
  • Binding Specificity
    • AA 189-218
    • AA 19-417
    • AA 1-417
    • AA 188-218
    • Center
    • Internal Region
    • AA 116-121
    • AA 196-414
    • AA 198-413
    • AA 31-288
    • AA 318-417
    • C-Term
    • Middle Region
  • Conjugate
    • Un-conjugated
    • Biotin
    • FITC
    • HRP
    • APC
    • Alexa Fluor 488
    • Alexa Fluor 555
    • Alexa Fluor 594
    • Alexa Fluor 647
    • Alexa Fluor 680
    • Alexa Fluor 750
    • PE
  • Isotype
    • IgG
    • Ig Fraction
    • IgG2a
  • Format
    • Liquid
    • Lyophilized
  • Supplier
    • antibodies-online
    • Signalway
    • Abbexa
    • USBio
    • Acris
    • Angio-Proteomie
    • Aviva Systems Biology
    • Biomatik
    • Cohesion Biosciences

Latest Publications for our Intrinsic Factor Antibodies

Furukawa, Nagaike, Ozaki: "Databases for technical aspects of immunohistochemistry." in: Journal of toxicologic pathology, Vol. 30, Issue 1, pp. 79-107, (2017) (PubMed).

Maloum, Allaire, Gagné-Sansfaçon, Roy, Belleville, Sarret, Morisset, Carrier, Mishina, Kaestner, Perreault: "Epithelial BMP signaling is required for proper specification of epithelial cell lineages and gastric endocrine cells." in: American journal of physiology. Gastrointestinal and liver physiology, Vol. 300, Issue 6, pp. G1065-79, (2011) (PubMed).

Aliases for Intrinsic Factor Antibodies

gastric intrinsic factor (GIF) Antibodies
gastric intrinsic factor (Gif) Antibodies
AV073125 Antibodies
GIF Antibodies
IF Antibodies
IFMH Antibodies
INF Antibodies
TCN3 Antibodies
You are here:
Chat with us!