Phone:
+1 877 302 8632
Fax:
+1 888 205 9894 (Toll-free)
E-Mail:
orders@antibodies-online.com

NAT15 antibody

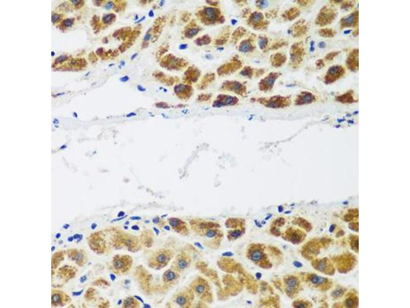
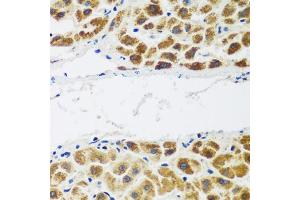
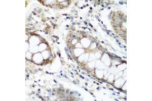
The Rabbit Polyclonal anti-NAT15 antibody has been validated for WB and IHC. It is suitable to detect NAT15 in samples from Human, Mouse and Rat.
Catalog No. ABIN3035747

Quick Overview for NAT15 antibody (ABIN3035747)

Target

See all NAT15 Antibodies
NAT15 (N-Acetyltransferase 15 (NAT15))

Reactivity

  • 33
  • 28
  • 6
  • 3
  • 3
  • 3
  • 2
  • 2
  • 2
  • 2
  • 2
Human, Mouse, Rat

Host

  • 46
  • 2
Rabbit

Clonality

  • 48
Polyclonal

Conjugate

  • 16
  • 5
  • 4
  • 4
  • 1
  • 1
  • 1
  • 1
  • 1
  • 1
  • 1
  • 1
  • 1
  • 1
  • 1
  • 1
  • 1
  • 1
  • 1
  • 1
  • 1
  • 1
  • 1
This NAT15 antibody is un-conjugated

Application

  • 31
  • 18
  • 13
  • 13
  • 5
  • 3
  • 3
  • 1
  • 1
Western Blotting (WB), Immunohistochemistry (IHC)
You are here:
Chat with us!