Phone:
+1 877 302 8632
Fax:
+1 888 205 9894 (Toll-free)
E-Mail:
orders@antibodies-online.com

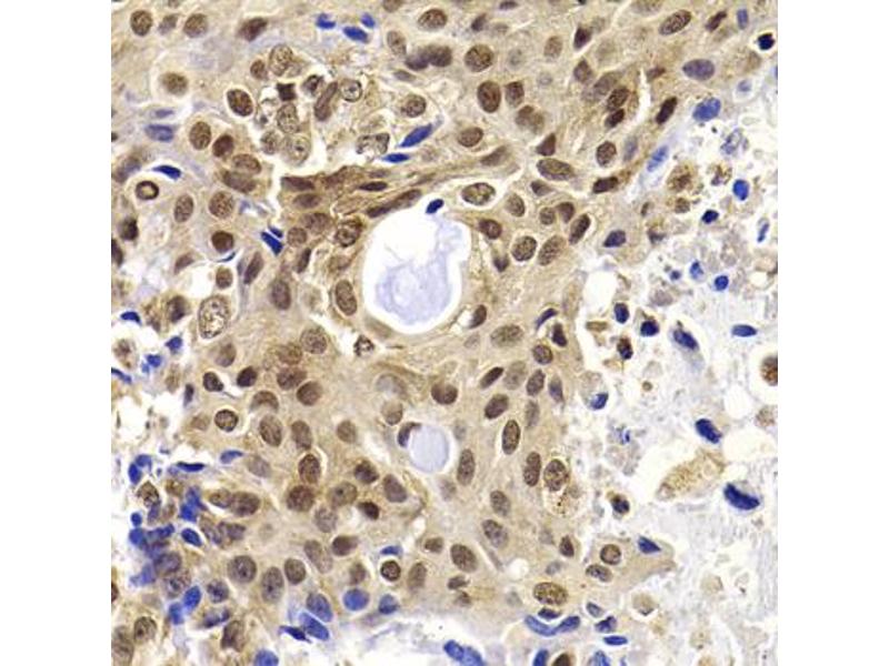
PHF19 antibody

This Rabbit Polyclonal antibody specifically detects PHF19 in WB, IHC and IF/ICC. It exhibits reactivity toward Human, Mouse and Rat.
Catalog No. ABIN3039439

Quick Overview for PHF19 antibody (ABIN3039439)

Target

See all PHF19 Antibodies
PHF19 (PHD Finger Protein 19 (PHF19))

Reactivity

  • 21
  • 4
  • 3
  • 2
  • 1
  • 1
  • 1
  • 1
Human, Mouse, Rat

Host

  • 19
  • 2
Rabbit

Clonality

  • 20
Polyclonal

Conjugate

  • 15
  • 2
  • 1
  • 1
  • 1
  • 1
This PHF19 antibody is un-conjugated

Application

  • 21
  • 13
  • 4
  • 3
  • 2
Western Blotting (WB), Immunohistochemistry (IHC), Immunofluorescence (fixed cells) (IF/ICC)
You are here:
Chat with us!