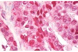
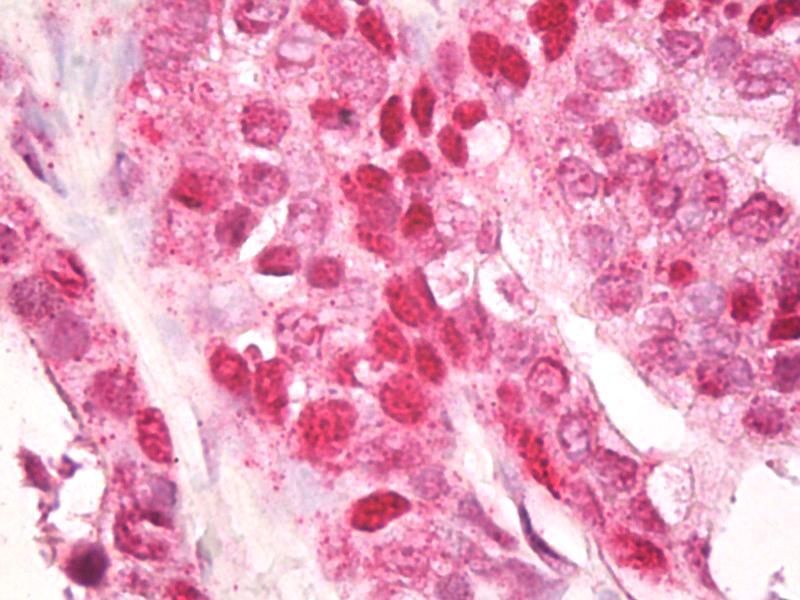
CNOT4 antibody (AA 50-100)
Quick Overview for CNOT4 antibody (AA 50-100) (ABIN1100850)
Target
See all CNOT4 AntibodiesReactivity
Host
Clonality
Conjugate
Application
-
-
Binding Specificity
- AA 50-100
-
Specificity
- Human CNOT4.
-
Purification
- Immunoaffinity purified
-
Immunogen
-
A portion of amino acids 50-100 of human CNOT4.
Type of Immunogen: Protein fragment -
Isotype
- IgG
-
-
-
-
Application Notes
- Approved: IHC, IHC-P (10 μg/mL), WB (0.05 - 0.1 μg/mL)
-
Comment
-
Target Species of Antibody: Human
-
Restrictions
- For Research Use only
-
-
-
Format
- Liquid
-
Concentration
- Lot specific
-
Buffer
- PBS, 0.05 % BSA, 0.05 % sodium azide
-
Preservative
- Sodium azide
-
Precaution of Use
- This product contains Sodium azide: a POISONOUS AND HAZARDOUS SUBSTANCE which should be handled by trained staff only.
-
Storage
- -20 °C
-
Storage Comment
-
Short term: -20°C
Long term: -20°C.
-
-
- CNOT4 (CCR4-NOT Transcription Complex, Subunit 4 (CNOT4))
-
Alternative Name
- CNOT4 / CLONE243
-
Background
-
Name/Gene ID: CNOT4
Synonyms: CNOT4, CCR4-associated factor 4, NOT4, Not4-n, NOT4H, CLONE243 -
Gene ID
- 4850
-
UniProt
- O95628
Target
-