Phone:
+1 877 302 8632
Fax:
+1 888 205 9894 (Toll-free)
E-Mail:
orders@antibodies-online.com

ADGRE5 (AA 240-435) antibody

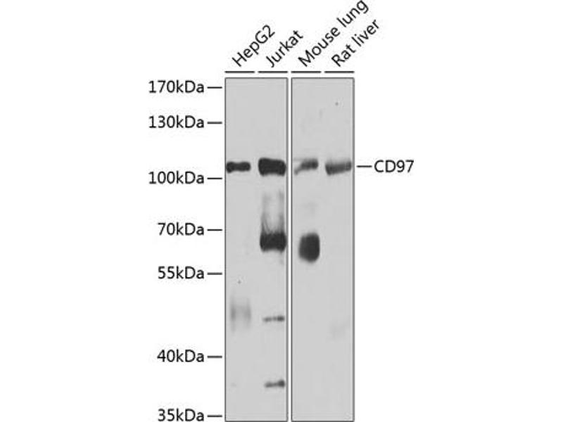
The Rabbit Polyclonal anti-ADGRE5 antibody (ABIN1679103) specifically detects ADGRE5 in WB. The antibody is reactive with Human samples.
Catalog No. ABIN1679103
$383.00
Plus shipping costs $50.00
Shipping to: United States
Delivery in 7 to 10 Business Days

Quick Overview for ADGRE5 (AA 240-435) antibody (ABIN1679103)

Target

ADGRE5

Reactivity

  • 3
  • 3
  • 2
Human

Host

  • 4
  • 1
Rabbit

Clonality

  • 5
Polyclonal

Conjugate

  • 5
Un-conjugated

Application

  • 5
  • 4
  • 3
  • 2
Western Blotting (WB)
  • Binding Specificity

    • 1
    • 1
    • 1
    • 1
    • 1
    • 1
    AA 240-435

    Sequence

    NLEDIMRILA KSLPKGPFTY ISPSNTELTL MIQERGDKNV TMGQSSARMK LNWAVAAGAE DPGPAVAGIL SIQNMTTLLA NASLNLHSKK QAELEEIYES SIRGVQLRRL SAVNSIFLSH NNTKELNSPI LFAFSHLESS DGEAGRDPPA KDVMPGPRQE LLCAFWKSDS DRGGHWATEG CQVLGSKNGS TTCQCS

    Cross-Reactivity

    Human, Mouse, Rat

    Characteristics

    Polyclonal Antibodies

    Purification

    Affinity purification

    Immunogen

    Recombinant fusion protein containing a sequence corresponding to amino acids 240-435 of human CD97 (NP_001775.2).

    Isotype

    IgG
  • Application Notes

    WB,1:200 - 1:2000

    Restrictions

    For Research Use only
  • Buffer

    PBS with 0.02 % sodium azide,50 % glycerol, pH 7.3.

    Preservative

    Sodium azide

    Precaution of Use

    This product contains Sodium azide: a POISONOUS AND HAZARDOUS SUBSTANCE which should be handled by trained staff only.

    Storage

    -20 °C

    Storage Comment

    Store at -20°C. Avoid freeze / thaw cycles.
  • Target

    ADGRE5

    Background

    This gene encodes a member of the EGF-TM7 subfamily of adhesion G protein-coupled receptors, which mediate cell-cell interactions. These proteins are cleaved by self-catalytic proteolysis into a large extracellular subunit and seven-span transmembrane subunit, which associate at the cell surface as a receptor complex. The encoded protein may play a role in cell adhesion as well as leukocyte recruitment, activation and migration, and contains multiple extracellular EGF-like repeats which mediate binding to chondroitin sulfate and the cell surface complement regulatory protein CD55. Expression of this gene may play a role in the progression of several types of cancer. Alternatively spliced transcript variants encoding multiple isoforms with 3 to 5 EGF-like repeats have been observed for this gene. This gene is found in a cluster with other EGF-TM7 genes on the short arm of chromosome 19.,ADGRE5,CD97,TM7LN1,Signal Transduction,G protein signaling,G-Protein-Coupled Receptors(GPCR),Immunology & Inflammation,CD markers,Neuroscience,Cell Type Marker,Stem Cells,Hematopoietic Progenitors,ADGRE5

    Molecular Weight

    81 kDa/86 kDa/91 kDa

    Gene ID

    976

    UniProt

    P48960
You are here:
Chat with us!