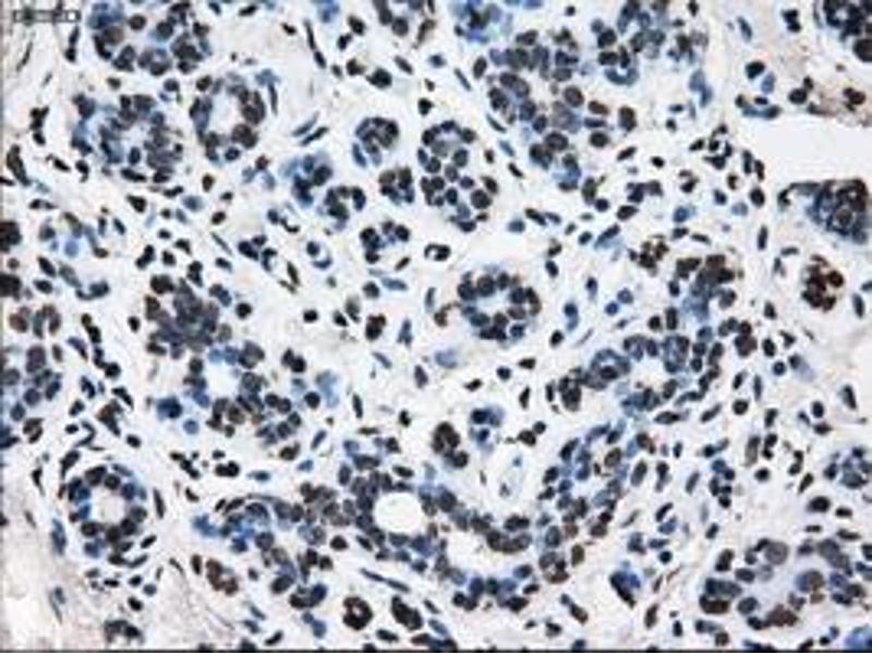
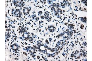
TTLL12 antibody
Quick Overview for TTLL12 antibody (ABIN2734521)
Target
Reactivity
Host
Clonality
Conjugate
Application
Clone
-
-
Purification
- Purified from mouse ascites fluids by affinity chromatography
-
Immunogen
- Full length human recombinant protein of human TTLL12 (NP_055955) produced in HEK293T cell.
-
Isotype
- IgG1
-
-
-
-
Application Notes
- WB 1:2000, IHC 1:50, IF 1:100, Flow 1:100
-
Comment
-
The concentration of the product may vary between diferrent lots.
-
Restrictions
- For Research Use only
-
-
-
Format
- Liquid
-
Concentration
- 0.5-1.0 mg/mL
-
Buffer
- PBS ( pH 7.3) containing 1 % BSA, 50 % glycerol and 0.02 % sodium azide.
-
Preservative
- Sodium azide
-
Precaution of Use
- This product contains sodium azide: a POISONOUS AND HAZARDOUS SUBSTANCE which should be handled by trained staff only.
-
-
- TTLL12 (Tubulin tyrosine Ligase-Like Family, Member 12 (TTLL12))
-
Alternative Name
- TTLL12
-
Molecular Weight
- 74.4 kDa
-
Gene ID
- 23170
-
NCBI Accession
- NM_015140
-
HGNC
- 23170
Target
-