ABCC5 antibody (N-Term)
Quick Overview for ABCC5 antibody (N-Term) (ABIN302162)
Target
See all ABCC5 AntibodiesReactivity
Host
Clonality
Conjugate
Application
Grade
-
-
Binding Specificity
- N-Term
-
Purpose
- MRP5
-
Sequence
- KDIDIGKEYI IP
-
Specificity
- This antibody is expected to recognize both reported isoforms (NP_005679.2, NP_001018881.1).
-
Cross-Reactivity
- Cow, Dog, Human, Mouse, Pig, Rat
-
Purification
- Purified from goat serum by ammonium sulphate precipitation followed by antigen affinity chromatography using the immunizing peptide.
-
Immunogen
- Peptide with sequence KDIDIGKEYIIP-C, from the N Terminus of the protein sequence according to NP_005679.2, NP_001018881.1.
-
Isotype
- IgG
-
-
-
-
Application Notes
-
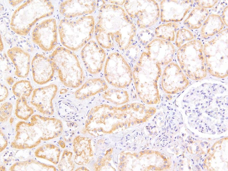
Immunohistochemistry: Paraffin embedded Human Kidney. Recommended concentration: 5 μg/mL.
Peptide ELISA: antibody detection limit dilution 1:128000.
-
Restrictions
- For Research Use only
-
-
-
Format
- Liquid
-
Concentration
- 0.5 mg/mL
-
Buffer
- Supplied at 0.5 mg/mL in Tris saline, 0.02 % sodium azide, pH 7.3 with 0.5 % bovine serum albumin.
-
Preservative
- Sodium azide
-
Precaution of Use
- This product contains Sodium azide: a POISONOUS AND HAZARDOUS SUBSTANCE which should be handled by trained staff only.
-
Handling Advice
- Minimize freezing and thawing.
-
Storage
- -20 °C
-
Storage Comment
- Aliquot and store at -20°C, with minimal freeze/thawing. A working aliquot may be refrigerated at 4°C for a few weeks and still remain viable.
-
-
- ABCC5 (ATP-Binding Cassette, Sub-Family C (CFTR/MRP), Member 5 (ABCC5))
-
Alternative Name
- ABCC5
-
Background
- MRP5, DKFZp686C1782, ABCC5, ATP-binding cassette, sub-family C (CFTR/MRP), member 5, ABC33, EST277145, MOAT-C, MOATC, SMRP, pABC11, ATP-binding cassette, sub-family C, member 5, canalicular multispecific organic anion transporter C
-
Gene ID
- 10057, 27416, 116721
-
NCBI Accession
- NP_005679, NP_001018881
-
Pathways
- Glycosaminoglycan Metabolic Process
Target
-