Phone:
+1 877 302 8632
Fax:
+1 888 205 9894 (Toll-free)
E-Mail:
orders@antibodies-online.com

TRAM1 antibody (C-Term)

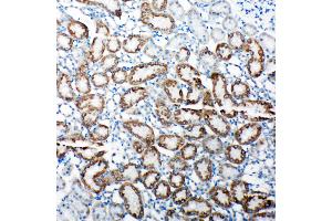
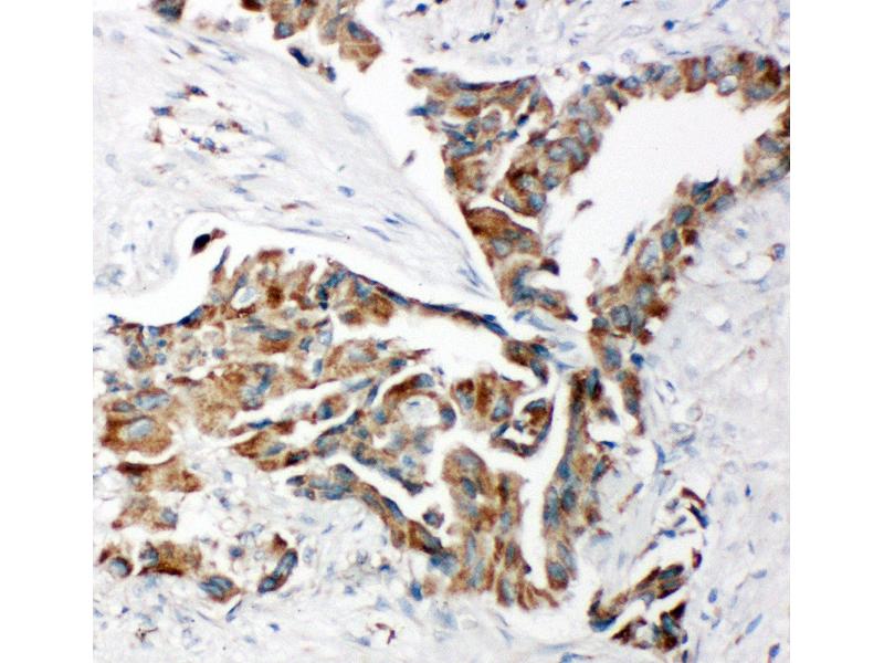
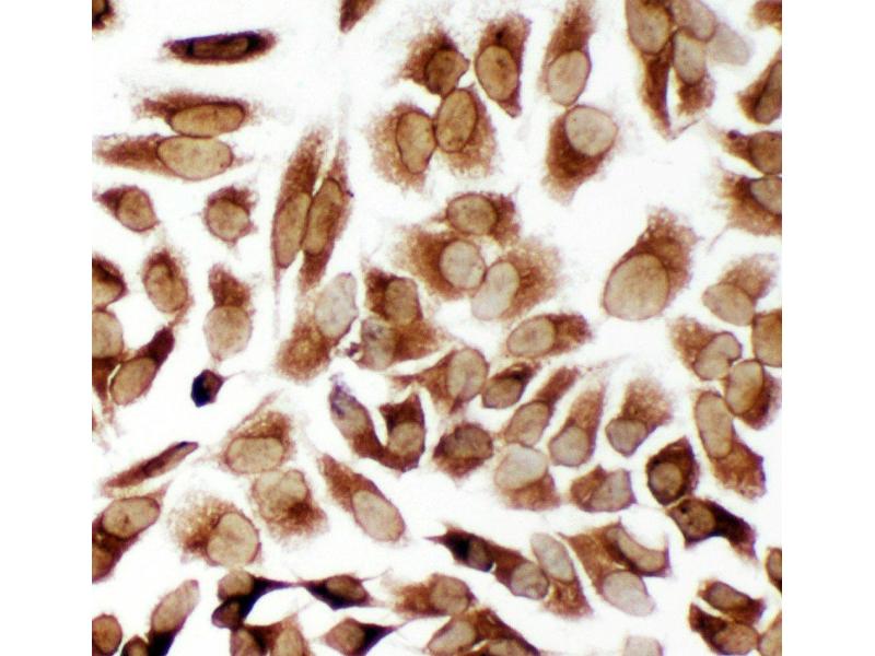
The Rabbit Polyclonal anti-TRAM1 antibody (ABIN3044049) specifically detects TRAM1 in WB, IHC, ICC and IHC (fro). The antibody is reactive with Human, Mouse and Rat samples.
Catalog No. ABIN3044049
$370.00
Plus shipping costs $50.00
100 μg
Shipping to: United States
Delivery in 4 to 7 Business Days

Quick Overview for TRAM1 antibody (C-Term) (ABIN3044049)

Target

See all TRAM1 Antibodies
TRAM1 (Translocation Associated Membrane Protein 1 (TRAM1))

Reactivity

  • 35
  • 4
  • 2
  • 1
  • 1
  • 1
Human, Mouse, Rat

Host

  • 33
  • 2
Rabbit

Clonality

  • 35
Polyclonal

Conjugate

  • 16
  • 2
  • 2
  • 2
  • 1
  • 1
  • 1
  • 1
  • 1
  • 1
  • 1
  • 1
  • 1
  • 1
  • 1
  • 1
  • 1
This TRAM1 antibody is un-conjugated

Application

  • 35
  • 13
  • 13
  • 11
  • 6
  • 4
  • 4
  • 4
  • 3
  • 1
  • 1
Western Blotting (WB), Immunohistochemistry (IHC), Immunocytochemistry (ICC), Immunohistochemistry (Frozen Sections) (IHC (fro))
  • Binding Specificity

    • 15
    • 8
    • 5
    • 2
    • 1
    • 1
    • 1
    • 1
    • 1
    AA 314-331, C-Term

    Purpose

    Anti-TRAM1 Antibody

    Sequence

    KFINFQLRRW REHSAFQA

    Cross-Reactivity (Details)

    No cross-reactivity with other proteins

    Characteristics

    Anti-TRAM1 Antibody (ABIN3044049). Tested in IHC, IHC-F, ICC, WB applications. This antibody reacts with Human, Mouse, Rat. This is a premium antibody that guarantees superior quality, high affinity, and strong signals with minimal background in Western blot applications.

    Purification

    Immunogen affinity purified.

    Immunogen

    A synthetic peptide corresponding to a sequence at the C-terminus of human TRAM1, identical to the related rat and mouse sequences.

    Isotype

    IgG
  • Application Notes

    Immunocytochemistry , 0.5-1 μg/mL, Human, Mouse, Rat
    Immunohistochemistry (Frozen Section), 0.5-1 μg/mL, Rat, Human, Mouse
    Immunohistochemistry (Paraffin-embedded Section), 0.5-1 μg/mL, Human, Rat, Mouse
    Western blot, 0.1-0.5 μg/mL, Human, Rat, Mouse

    Comment

    Antibody can be supported by chemiluminescence kit ABIN921124 in WB, supported by ABIN921231 in IHC(P), IHC(F)and ICC.

    Restrictions

    For Research Use only
  • Format

    Lyophilized

    Reconstitution

    Add 0.2 mL of distilled water will yield a concentration of 500 μg/mL.

    Concentration

    500 μg/mL

    Buffer

    Each vial contains 5 mg BSA, 0.9 mg NaCl, 0.2 mg Na2HPO4, 0.05 mg Thimerosal, 0.05 mg Sodium azide.

    Preservative

    Thimerosal (Merthiolate), Sodium azide

    Precaution of Use

    This product contains Thimerosal (Merthiolate) and Sodium azide: POISONOUS AND HAZARDOUS SUBSTANCES which should be handled by trained staff only.

    Handling Advice

    Avoid repeated freezing and thawing.

    Storage

    4 °C,-20 °C

    Storage Comment

    Store at -20°C for one year from date of receipt. After reconstitution, at 4°C for one month.
    It can also be aliquotted and stored frozen at -20°C for six months. Avoid repeated freeze-thaw cycles.

    Expiry Date

    12 months
  • Target

    TRAM1 (Translocation Associated Membrane Protein 1 (TRAM1))

    Alternative Name

    TRAM1

    Background

    Synonyms: Translocating chain-associated membrane protein 1,TRAM1,TRAM,

    Background: TRAM1 (Translocation-Associating Membrane Protein 1), By crosslinking and reconstitution of canine proteoliposomes, followed by microsequencing and PCR screening of canine kidney and HeLa cell cDNA libraries, Gorlich et al. (1992) isolated cDNAs encoding TRAM (translocating chain-associating membrane protein). The International Radiation Hybrid Mapping Consortium mapped the TRAM gene to chromosome 8. Sequence analysis predicted that human TRAM is a 374-amino acid, 8-pass transmembrane protein that shares 95 % amino acid identity with the canine protein. Functional analysis indicated that TRAM influences glycosylation and is stimulatory or required for the translocation of secretory proteins.

    Sequence Similarities: Belongs to the TRAM family.

    Molecular Weight

    56 kDa

    UniProt

    Q15629
You are here:
Chat with us!