WDR48 antibody
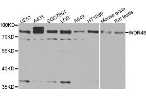
The Rabbit Polyclonal anti-WDR48 antibody has been validated for WB and IHC. It is suitable to detect WDR48 in samples from Human, Rat and Mouse.
Quick Overview for WDR48 antibody (ABIN3033932)
Target
See all WDR48 Antibodies
WDR48
(WD Repeat Domain 48 (WDR48))
Reactivity
Human, Rat, Mouse
Host
Rabbit
Clonality
Polyclonal
Conjugate
This WDR48 antibody is un-conjugated
Application
Western Blotting (WB), Immunohistochemistry (IHC)
-
-
Purification
-
Affinity purified
-
Isotype
-
IgG
-
-
-
Application Notes
-
Optimal working dilution should be determined by the investigator.
-
Restrictions
-
For Research Use only
-
-
Format
-
Liquid
-
Concentration
-
Lot specific
-
Buffer
-
PBS, pH 7.3, 0.02 % sodium azide, 50 % glycerol.
-
Preservative
-
Sodium azide
-
Precaution of Use
-
This product contains Sodium azide: a POISONOUS AND HAZARDOUS SUBSTANCE which should be handled by trained staff only.
-
Storage
-
-20 °C
-
Storage Comment
-
Aliquot and store at -20 °C. Avoid repeated freeze/thaw cycles.
-
Target
-
WDR48
(WD Repeat Domain 48 (WDR48))
-
Alternative Name
-
WDR48
-
Molecular Weight
-
Calculated MW: 13 kDa/45 kDa/66 kDa/75 kDa/76 kDa
Observed MW: 76 kDa
-
Gene ID
-
57599
-
UniProt
-
Q8TAF3
-