Phone:
+1 877 302 8632
Fax:
+1 888 205 9894 (Toll-free)
E-Mail:
orders@antibodies-online.com

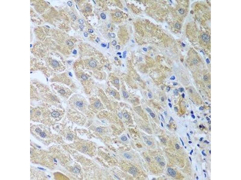
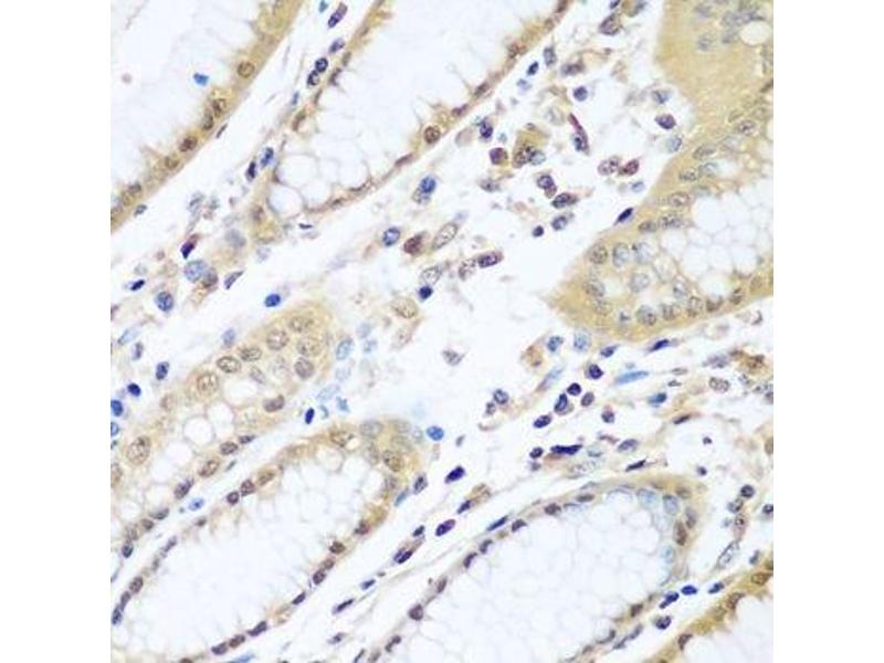
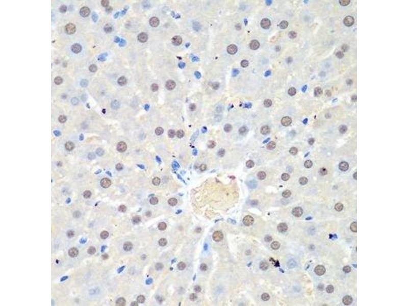
WDR48 antibody (AA 450-677)

The Rabbit Polyclonal anti-WDR48 antibody (ABIN6150198) specifically detects WDR48 in WB and IHC. The antibody is reactive with Human samples.
Catalog No. ABIN6150198
$383.00
Plus shipping costs $50.00
Shipping to: United States
Delivery in 7 to 10 Business Days

Quick Overview for WDR48 antibody (AA 450-677) (ABIN6150198)

Target

See all WDR48 Antibodies
WDR48 (WD Repeat Domain 48 (WDR48))

Reactivity

  • 17
  • 4
  • 3
Human

Host

  • 18
Rabbit

Clonality

  • 18
Polyclonal

Conjugate

  • 13
  • 1
  • 1
  • 1
  • 1
  • 1
This WDR48 antibody is un-conjugated

Application

  • 15
  • 12
  • 11
  • 9
  • 4
  • 1
Western Blotting (WB), Immunohistochemistry (IHC)
  • Binding Specificity

    • 10
    • 6
    • 2
    • 1
    AA 450-677

    Sequence

    FSSPDGSDPK LNLGGLLLQA LLEYWPRTHV NPMDEEENEV NHVNGEQENR VQKGNGYFQV PPHTPVIFGE AGGRTLFRLL CRDSGGETES MLLNETVPQW VIDITVDKNM PKFNKIPFYL QPHASSGAKT LKKDRLSASD MLQVRKVMEH VYEKIINLDN ESQTTSSSNN EKPGEQEKEE DIAVLAEEKI ELLCQDQVLD PNMDLRTVKH FIWKSGGDLT LHYRQKST

    Cross-Reactivity

    Human, Mouse, Rat

    Characteristics

    Polyclonal Antibodies

    Immunogen

    Recombinant fusion protein containing a sequence corresponding to amino acids 450-677 of human WDR48 (NP_065890.1).

    Isotype

    IgG
  • Application Notes

    WB,1:500 - 1:2000,IHC,1:50 - 1:100

    Comment

    HIGH QUALITY

    Restrictions

    For Research Use only
  • Format

    Liquid

    Buffer

    PBS with 0.02 % sodium azide,50 % glycerol, pH 7.3.

    Preservative

    Sodium azide

    Precaution of Use

    This product contains Sodium azide: a POISONOUS AND HAZARDOUS SUBSTANCE which should be handled by trained staff only.

    Storage

    -20 °C

    Storage Comment

    Store at -20°C. Avoid freeze / thaw cycles.
  • Target

    WDR48 (WD Repeat Domain 48 (WDR48))

    Alternative Name

    WDR48

    Background

    The protein encoded by this gene has been shown to interact with ubiquitin specific peptidase 1 (USP1), activating the deubiquitinating activity of USP1 and allowing it to remove the ubiquitin moiety from monoubiquitinated FANCD2. FANCD2 is ubiquitinated in response to DNA damage.,WDR48,P80,SPG60,UAF1,Epigenetics & Nuclear Signaling,Cell Biology & Developmental Biology,Ubiquitin,WDR48

    Molecular Weight

    13 kDa/45 kDa/66 kDa/75 kDa/76 kDa

    Gene ID

    57599

    UniProt

    Q8TAF3
You are here:
Chat with us!