Phone:
+1 877 302 8632
Fax:
+1 888 205 9894 (Toll-free)
E-Mail:
orders@antibodies-online.com

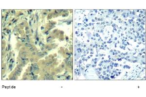
Phospholipase C gamma 2 antibody (Tyr1217)

PLCG2 Reactivity: Human, Rat, Mouse IF, IHC (p) Host: Rabbit Polyclonal unconjugated
Catalog No. ABIN319402
  • Target See all Phospholipase C gamma 2 (PLCG2) Antibodies
    Phospholipase C gamma 2 (PLCG2)
    Binding Specificity
    • 27
    • 15
    • 15
    • 12
    • 6
    • 5
    • 4
    • 3
    • 3
    • 2
    • 2
    • 2
    • 2
    • 1
    • 1
    • 1
    • 1
    • 1
    • 1
    Tyr1217
    Reactivity
    • 107
    • 50
    • 37
    • 6
    • 4
    • 4
    • 4
    • 4
    • 3
    • 1
    Human, Rat, Mouse
    Host
    • 101
    • 6
    Rabbit
    Clonality
    • 101
    • 6
    Polyclonal
    Conjugate
    • 49
    • 6
    • 4
    • 4
    • 3
    • 3
    • 3
    • 3
    • 3
    • 3
    • 3
    • 3
    • 3
    • 3
    • 2
    • 2
    • 2
    • 2
    • 2
    • 2
    • 2
    This Phospholipase C gamma 2 antibody is un-conjugated
    Application
    • 83
    • 37
    • 37
    • 32
    • 31
    • 19
    • 18
    • 12
    • 11
    • 7
    • 6
    • 2
    • 1
    • 1
    Immunofluorescence (IF), Immunohistochemistry (Paraffin-embedded Sections) (IHC (p))
    Specificity
    This antibody detects endogenous levels of total PLC-gamma 2 protein.
    Purification
    Immunoaffinity Chromatography
    Immunogen
    The antiserum was produced against synthesized non-phosphopeptide derived from human PLC-gamma 2 around the phosphorylation site of Tyrosine 1217 (F-L-YP-D-T).
    Top Product
    Discover our top product PLCG2 Primary Antibody
  • Application Notes
    Immunohistochemistry (1/50-1/100).
    Other applications not tested.
    Optimal dilutions are dependent on conditions and should be determined by the user.
    Restrictions
    For Research Use only
  • Concentration
    1,0 mg/mL
    Buffer
    PBS (without Mg2+ and Ca2+), pH 7.4, 150 mM NaCl, 0.02 % Sodium Azide and 50 % Glycerol.
    Preservative
    Sodium azide
    Precaution of Use
    This product contains sodium azide: a POISONOUS AND HAZARDOUS SUBSTANCE which should be handled by trained staff only.
    Handling Advice
    Avoid repeated freezing and thawing.
    Storage
    -20 °C
    Storage Comment
    Store the antibody (in aliquots) at-20 °C.
  • Target
    Phospholipase C gamma 2 (PLCG2)
    Alternative Name
    PLCG2 (PLCG2 Products)
    Background
    Synonyms: 1-phosphatidylinositol-4, 5-bisphosphate phosphodiesterase gamma-2, PLC-IV, PLC-gamma-2, Phosphoinositide phospholipase C-gamma-2, Phospholipase C-IV, Phospholipase C-gamma-2
    Gene ID
    5336
    NCBI Accession
    NP_002652
    UniProt
    P16885
    Pathways
    RTK Signaling, WNT Signaling, Fc-epsilon Receptor Signaling Pathway, Inositol Metabolic Process, Myometrial Relaxation and Contraction, Toll-Like Receptors Cascades, VEGF Signaling, BCR Signaling
You are here:
Chat with us!