Phone:
+1 877 302 8632
Fax:
+1 888 205 9894 (Toll-free)
E-Mail:
orders@antibodies-online.com

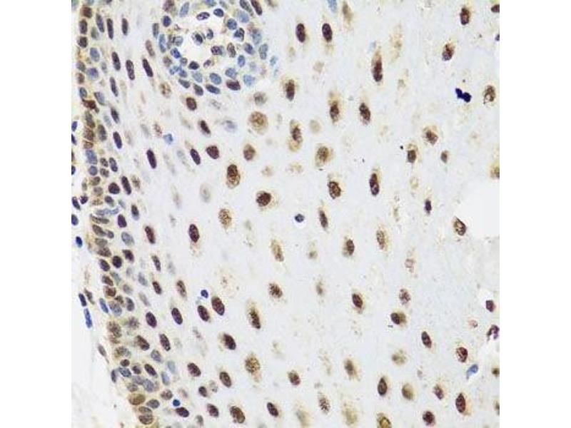
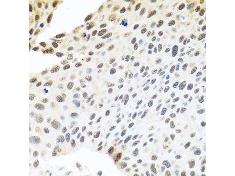
MTR4 antibody (AA 1-304)

The Rabbit Polyclonal anti-MTR4 antibody is suitable to detect MTR4 in samples from Human. It has been validated for WB, IHC and IP.
Catalog No. ABIN6147816
$1,240.00
Plus shipping costs $50.00
Shipping to: United States
Delivery in 7 to 10 Business Days

Quick Overview for MTR4 antibody (AA 1-304) (ABIN6147816)

Target

See all MTR4 (SKIV2L2) Antibodies
MTR4 (SKIV2L2) (Superkiller Viralicidic Activity 2-Like 2 (SKIV2L2))

Reactivity

  • 27
  • 14
  • 8
  • 3
  • 3
  • 3
  • 2
  • 1
  • 1
  • 1
  • 1
Human

Host

  • 27
Rabbit

Clonality

  • 27
Polyclonal

Conjugate

  • 15
  • 2
  • 1
  • 1
  • 1
  • 1
  • 1
  • 1
  • 1
  • 1
  • 1
  • 1
This MTR4 antibody is un-conjugated

Application

  • 16
  • 8
  • 7
  • 3
  • 2
  • 2
  • 2
  • 1
  • 1
Western Blotting (WB), Immunohistochemistry (IHC), Immunoprecipitation (IP)
  • Binding Specificity

    • 7
    • 3
    • 2
    • 1
    • 1
    • 1
    • 1
    • 1
    AA 1-304

    Sequence

    MADAFGDELF SVFEGDSTTA AGTKKDKEKD KGKWKGPPGS ADKAGKRFDG KLQSESTNNG KNKRDVDFEG TDEPIFGKKP RIEESITEDL SLADLMPRVK VQSVETVEGC THEVALPAEE DYLPLKPRVG KAAKEYPFIL DAFQREAIQC VDNNQSVLVS AHTSAGKTVC AEYAIALALR EKQRVIFTSP IKALSNQKYR EMYEEFQDVG LMTGDVTINP TASCLVMTTE ILRSMLYRGS EVMREVAWVI FDEIHYMRDS ERGVVWEETI ILLPDNVHYV FLSATIPNAR QFAEWICHLH KQPC

    Cross-Reactivity

    Human, Mouse

    Characteristics

    Polyclonal Antibodies

    Immunogen

    Recombinant fusion protein containing a sequence corresponding to amino acids 1-304 of human SKIV2L2 (NP_056175.3).

    Isotype

    IgG
  • Application Notes

    WB,1:500 - 1:2000,IHC,1:50 - 1:200,IP,1:50 - 1:200

    Comment

    HIGH QUALITY

    Restrictions

    For Research Use only
  • Format

    Liquid

    Buffer

    PBS with 0.02 % sodium azide,50 % glycerol, pH 7.3.

    Preservative

    Sodium azide

    Precaution of Use

    This product contains Sodium azide: a POISONOUS AND HAZARDOUS SUBSTANCE which should be handled by trained staff only.

    Storage

    -20 °C

    Storage Comment

    Store at -20°C. Avoid freeze / thaw cycles.
  • Target

    MTR4 (SKIV2L2) (Superkiller Viralicidic Activity 2-Like 2 (SKIV2L2))

    Alternative Name

    SKIV2L2

    Background

    Catalyzes the ATP-dependent unwinding of RNA duplexes with a single-stranded 3' RNA extension. Central subunit of many protein complexes, namely TRAMP-like, nuclear exosome targeting (NEXT and poly(A tail exosome targeting (PAXT. NEXT functions as an RNA exosome cofactor that directs a subset of non-coding short-lived RNAs for exosomal degradation. NEXT is involved in surveillance and turnover of aberrant transcripts and non-coding RNAs. PAXT directs a subset of long and polyadenylated poly(A RNAs for exosomal degradation. The RNA exosome is fundamental for the degradation of RNA in eukaryotic nuclei. Substrate targeting is facilitated by its cofactor ZCCHC8, which links to RNA-binding protein adapters. Associated with the RNA exosome complex and involved in the 3'-processing of the 7S pre-RNA to the mature 5.8S rRNA. May be involved in pre-mRNA splicing. In the context of NEXT complex can also in vitro unwind DNA:RNA heteroduplexes with a 3' poly (A RNA tracking strand. Can promote unwinding and degradation of structured RNA substrates when associated with the nuclear exosome and its cofactors. Can displace a DNA strand while translocating on RNA to ultimately degrade the RNA within a DNA/RNA heteroduplex. Plays a role in DNA damage response.,SKIV2L2,Dob1,KIAA0052,Mtr4,fSAP118,Epigenetics & Nuclear Signaling,RNA Binding,SKIV2L2

    Molecular Weight

    117 kDa

    Gene ID

    23517

    UniProt

    P42285
You are here:
Chat with us!