DGCR6L antibody
Quick Overview for DGCR6L antibody (ABIN7246901)
Target
See all DGCR6L AntibodiesReactivity
Host
Clonality
Conjugate
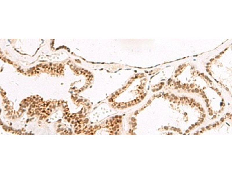
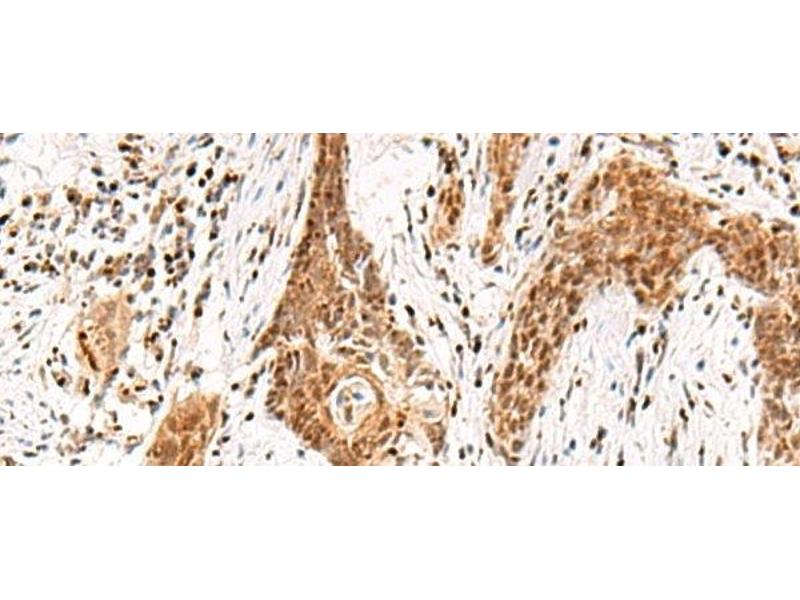
Application
-
-
Characteristics
- Polyclonal Antibody
-
Purification
- Antigen affinity purification
-
Immunogen
- Fusion protein of human DGCR6L
-
Isotype
- IgG
-
-
-
-
Application Notes
- WB 1:1000-1:5000, IHC 1:50-1:300, ELISA 1:5000-1:10000
-
Restrictions
- For Research Use only
-
-
-
Format
- Liquid
-
Concentration
- 1.14 mg/mL
-
Buffer
- PBS with 0.05 % Sodium azide and 40 % Glycerol, pH 7.4
-
Preservative
- Sodium azide
-
Precaution of Use
- This product contains Sodium azide: a POISONOUS AND HAZARDOUS SUBSTANCE which should be handled by trained staff only.
-
Storage
- -20 °C
-
Storage Comment
- Store at -20°C. Avoid freeze / thaw cycles.
-
-
- DGCR6L (DiGeorge Syndrome Critical Region Gene 6-Like (DGCR6L))
-
Alternative Name
- DGCR6L
-
Background
- This gene, the result of a duplication at this locus, is one of two functional genes encoding nearly identical proteins that have similar expression patterns. The product of this gene is a protein that shares homology with the Drosophila gonadal protein, expressed in gonadal tissues and germ cells, and with the human laminin gamma-1 chain that functions in cell attachment and migration. This gene is located in a region of chromosome 22 implicated in the DiGeorge syndrome, one facet of a broader collection of anomalies referred to as the CATCH 22 syndrome.
-
Molecular Weight
-
Observed_MW: Refer to figures
Calculated_MW: 25 kDa
-
UniProt
- Q9BY27
Target
-