Phone:
+1 877 302 8632
Fax:
+1 888 205 9894 (Toll-free)
E-Mail:
orders@antibodies-online.com

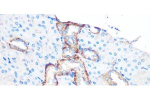
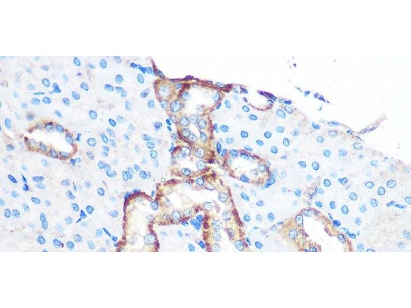
YTHDF2 antibody

This Rabbit Polyclonal antibody specifically detects YTHDF2 in IHC. It exhibits reactivity toward Human, Mouse and Rat.
Catalog No. ABIN7258512
$538.80
Plus shipping costs $50.00
Shipping to: United States
Delivery in 11 to 15 Business Days

Quick Overview for YTHDF2 antibody (ABIN7258512)

Target

See all YTHDF2 Antibodies
YTHDF2 (YTH Domain Family, Member 2 (YTHDF2))

Reactivity

  • 27
  • 6
  • 4
  • 3
  • 2
  • 2
  • 2
  • 1
  • 1
  • 1
Human, Mouse, Rat

Host

  • 26
  • 2
Rabbit

Clonality

  • 25
  • 3
Polyclonal

Conjugate

  • 18
  • 3
  • 2
  • 2
  • 2
  • 1
This YTHDF2 antibody is un-conjugated

Application

  • 24
  • 15
  • 4
  • 4
  • 3
  • 2
  • 1
  • 1
Immunohistochemistry (IHC)
  • Characteristics

    Polyclonal Antibody

    Purification

    Affinity purification

    Immunogen

    Recombinant fusion protein of human YTHDF2 (NP_057342.2).

    Isotype

    IgG
  • Application Notes

    IHC 1:50-1:200

    Restrictions

    For Research Use only
  • Format

    Liquid

    Concentration

    1 mg/mL

    Buffer

    PBS with 0.02 % sodium azide, 50 % glycerol, pH 7.3

    Preservative

    Sodium azide

    Precaution of Use

    This product contains Sodium azide: a POISONOUS AND HAZARDOUS SUBSTANCE which should be handled by trained staff only.

    Storage

    -20 °C

    Storage Comment

    Store at -20°C. Avoid freeze / thaw cycles.
  • Target

    YTHDF2 (YTH Domain Family, Member 2 (YTHDF2))

    Alternative Name

    YTHDF2

    Background

    This gene encodes a member of the YTH (YT521-B homology) superfamily containing YTH domain. The YTH domain is typical for the eukaryotes and is particularly abundant in plants. The YTH domain is usually located in the middle of the protein sequence and may function in binding to RNA. In addition to a YTH domain, this protein has a proline rich region which may be involved in signal transduction. An Alu-rich domain has been identified in one of the introns of this gene, which is thought to be associated with human longevity. In addition, reciprocal translocations between this gene and the Runx1 (AML1) gene on chromosome 21 has been observed in patients with acute myeloid leukemia. This gene was initially mapped to chromosome 14, which was later turned out to be a pseudogene. Alternatively spliced transcript variants encoding different isoforms have been identified in this gene.

    Gene ID

    51441

    UniProt

    Q9Y5A9
You are here:
Chat with us!