Phone:
+1 877 302 8632
Fax:
+1 888 205 9894 (Toll-free)
E-Mail:
orders@antibodies-online.com

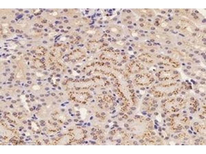
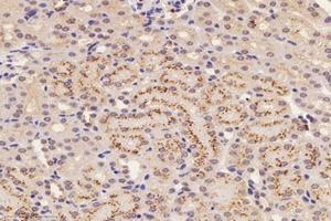
ATP5G3 antibody

The Rabbit Polyclonal anti-ATP5G3 antibody (ABIN7073143) specifically detects ATP5G3 in IHC and IF. The antibody is reactive with Rat and Mouse samples.
Catalog No. ABIN7073143
$341.54
Plus shipping costs $50.00
100 μL
Shipping to: United States
Delivery in 15 to 22 Business Days

Quick Overview for ATP5G3 antibody (ABIN7073143)

Target

See all ATP5G3 Antibodies
ATP5G3 (ATP Synthase, H+ Transporting, Mitochondrial Fo Complex, Subunit C3 (Subunit 9) (ATP5G3))

Reactivity

Rat, Mouse

Host

  • 13
Rabbit

Clonality

  • 13
Polyclonal

Conjugate

  • 6
  • 1
  • 1
  • 1
  • 1
  • 1
  • 1
  • 1
This ATP5G3 antibody is un-conjugated

Application

  • 5
  • 5
  • 4
  • 1
  • 1
Immunohistochemistry (IHC), Immunofluorescence (IF)
You are here:
Chat with us!