Phone:
+1 877 302 8632
Fax:
+1 888 205 9894 (Toll-free)
E-Mail:
orders@antibodies-online.com

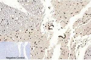
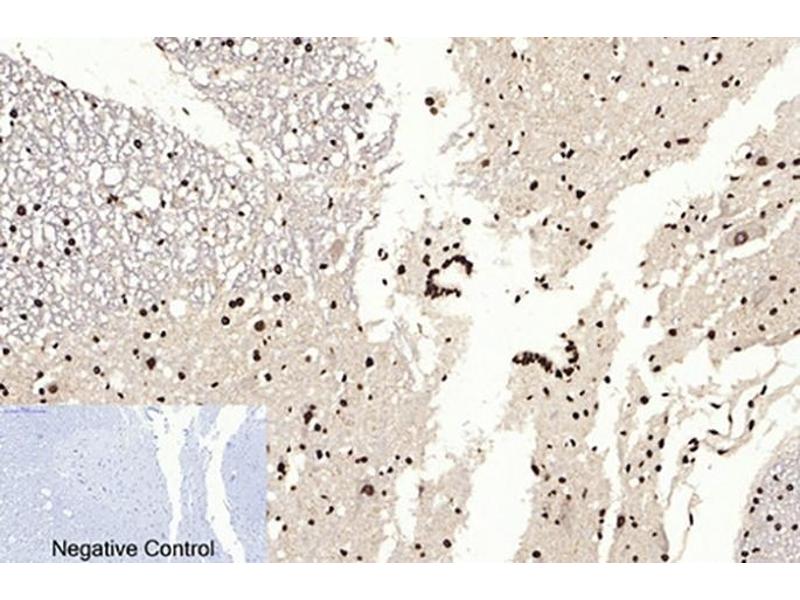
Histone 3 antibody (acLys9)

This Rabbit Polyclonal antibody specifically detects Histone 3 in WB, IF, ELISA and IHC (p). It exhibits reactivity toward Human, Mouse and Rat.
Catalog No. ABIN7212568
$379.10
Plus shipping costs $50.00
Shipping to: United States
Delivery in 12 to 16 Business Days

Quick Overview for Histone 3 antibody (acLys9) (ABIN7212568)

Target

See all Histone 3 (H3) Antibodies
Histone 3 (H3) (Histone H3 (H3))

Reactivity

  • 1725
  • 1168
  • 1038
  • 48
  • 40
  • 37
  • 35
  • 32
  • 25
  • 23
  • 21
  • 20
  • 11
  • 7
  • 6
  • 6
  • 5
  • 4
  • 4
  • 4
  • 3
  • 3
  • 2
  • 2
  • 2
  • 2
  • 1
  • 1
  • 1
  • 1
  • 1
  • 1
  • 1
  • 1
  • 1
  • 1
  • 1
  • 1
  • 1
  • 1
  • 1
  • 1
  • 1
  • 1
  • 1
  • 1
  • 1
  • 1
  • 1
  • 1
Human, Mouse, Rat

Host

  • 1503
  • 254
  • 8
  • 5
  • 1
Rabbit

Clonality

  • 1144
  • 626
  • 1
Polyclonal

Conjugate

  • 947
  • 103
  • 67
  • 67
  • 67
  • 67
  • 67
  • 67
  • 29
  • 28
  • 24
  • 24
  • 18
  • 18
  • 18
  • 17
  • 17
  • 17
  • 17
  • 17
  • 17
  • 17
  • 17
  • 16
  • 7
  • 1
This Histone 3 antibody is un-conjugated

Application

  • 1380
  • 600
  • 503
  • 412
  • 335
  • 308
  • 205
  • 204
  • 202
  • 188
  • 177
  • 124
  • 114
  • 48
  • 48
  • 37
  • 26
  • 25
  • 19
  • 15
  • 14
  • 7
  • 7
  • 7
  • 4
  • 3
  • 2
  • 1
  • 1
  • 1
  • 1
Western Blotting (WB), Immunofluorescence (IF), ELISA, Immunohistochemistry (Paraffin-embedded Sections) (IHC (p))
  • Binding Specificity

    • 71
    • 51
    • 50
    • 49
    • 46
    • 46
    • 46
    • 45
    • 43
    • 39
    • 38
    • 36
    • 33
    • 32
    • 32
    • 29
    • 29
    • 29
    • 28
    • 25
    • 25
    • 25
    • 25
    • 24
    • 24
    • 23
    • 22
    • 22
    • 19
    • 18
    • 18
    • 18
    • 16
    • 15
    • 15
    • 14
    • 14
    • 14
    • 14
    • 12
    • 11
    • 11
    • 11
    • 11
    • 11
    • 11
    • 11
    • 10
    • 10
    • 10
    acLys9

    Purpose

    Histone H3 (Acetyl Lys9) Polyclonal Antibody

    Specificity

    Acetyl-Histone H3 (K9) Polyclonal Antibody detects endogenous levels of Histone H3 protein only when acetylated at K9.

    Purification

    The antibody was affinity-purified from rabbit antiserum by affinity-chromatography using epitope-specific immunogen

    Immunogen

    Synthesized peptide derived from human Histone H3 around the acetylation site of K9 at AA range: 1-80

    Isotype

    IgG
  • Application Notes

    Optimal working dilutions should be determined experimentally by the investigator. Suggested starting dilutions are as follows: WB (1:500-1:2000), IHC-P (1:100-1:300), IF (1:200-1:1000), ELISA (1:5000). Not yet tested in other applications.

    Comment

    Primary Antibody

    Restrictions

    For Research Use only
  • Format

    Liquid

    Concentration

    1 mg/mL

    Buffer

    PBS containing 50 % Glycerol, 0.5 % BSA and 0.02 % Sodium Azide.

    Preservative

    Sodium azide

    Precaution of Use

    This product contains Sodium azide: a POISONOUS AND HAZARDOUS SUBSTANCE which should be handled by trained staff only.

    Storage

    -20 °C

    Storage Comment

    Stable for one year at -20°C from date of shipment. For maximum recovery of product, centrifuge the original vial after thawing and prior to removing the cap. Aliquot to avoid repeated freezing and thawing.
  • Target

    Histone 3 (H3) (Histone H3 (H3))

    Alternative Name

    Histone H3

    Background

    Rabbit Anti-Histone H3 (Acetyl Lys9) Polyclonal Antibody,HIST1H3A, H3FA, HIST1H3B, H3FL, HIST1H3C, H3FC, HIST1H3D, H3FB, HIST1H3E, H3FD, HIST1H3F, H3FI, HIST1H3G, H3FH, HIST1H3H, H3FK, HIST1H3I, H3FF, HIST1H3J, H3FJ, Histone H3.1, Histone H3/a, Histone H3/b, Histone H3/c, Histone H3/d, Histone H3,Histones are basic nuclear proteins that are responsible for the nucleosome structure of the chromosomal fiber in eukaryotes. This structure consists of approximately 146 bp of DNA wrapped around a nucleosome, an octamer composed of pairs of each of the four core histones (H2A, H2B, H3, and H4). The chromatin fiber is further compacted through the interaction of a linker histone, H1, with the DNA between the nucleosomes to form higher order chromatin structures. HIST1H3A is intronless and encodes a replication-dependent histone that is a member of the histone H3 family. Transcripts from HIST1H3A lack polyA tails, instead, they contain a palindromic termination element. HIST1H3A is found in the large histone gene cluster on chromosome 6p22-p21.3.,Histone H3.1

    Molecular Weight

    observerd band 17kDa

    Gene ID

    8350, 8351, 8352
You are here:
Chat with us!