Goat anti-Rat IgG (Heavy & Light Chain) Antibody (Biotin)
Quick Overview for Goat anti-Rat IgG (Heavy & Light Chain) Antibody (Biotin) (ABIN375969)
Target
Clonality
Conjugate
Application
Isotype
-
-
Binding Specificity
- Heavy & Light Chain
-
Reactivity
- Rat
-
Host
- Goat
-
Specificity
- Reacts with the heavy and light chains of rat IgG, and with the light chains of rat IgM and IgA as demonstrated by ELISA and/or flow cytometry.
-
Characteristics
-
Source: Pooled antisera from goats hyperimmunized with normal rat IgG.
To insure lot-to-lot consistency, each batch of product is tested by ELISA, PCFIA and/or flow cytometry for conformance to characteristics of a standard reference reagent. -
Purification
- Affinity chromatography on mouse IgA covalently linked to agarose.
-
-
-
-
Application Notes
-
Working Dilution:
<= 1 µg/10^6 cells or 1:5,000-1:20,000
Representative data are included in this product insert.
Each laboratory should determine an optimum working titer for use in its particular application. Other applications have not been tested but use in such assays should not necessarily be excluded. -
Restrictions
- For Research Use only
-
-
-
Handling Advice
- Avoid cycles of freezing and thawing.
-
Storage
- 4 °C
-
-
-
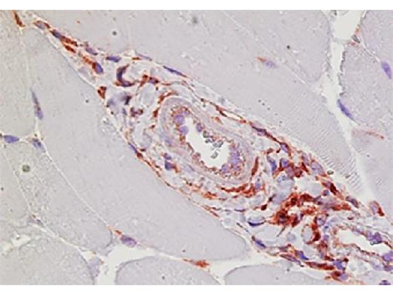
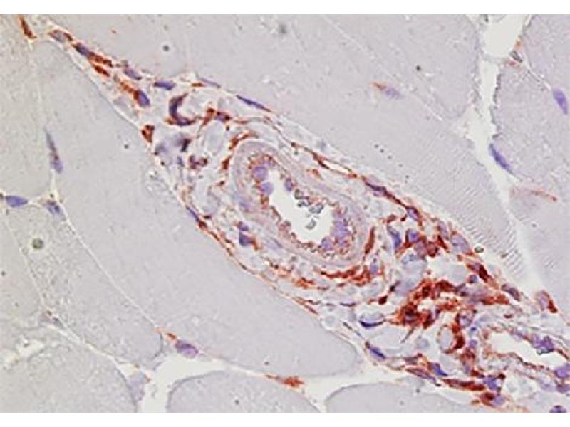
: "The CD200-CD200 receptor inhibitory axis controls arteriogenesis and local T lymphocyte influx." in: PLoS ONE, Vol. 9, Issue 6, pp. e98820, (2014) (PubMed).
-
-
- IgG
-
Target Type
- Antibody
Target
-