Phone:
+1 877 302 8632
Fax:
+1 888 205 9894 (Toll-free)
E-Mail:
orders@antibodies-online.com

gamma-Tubulin GCP2 (AA 2-194) antibody

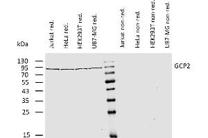
There are 2+ publications for this product available. The Mouse Monoclonal anti-gamma-Tubulin GCP2 antibody is suitable to detect gamma-Tubulin GCP2 in samples from Human, Mouse, Pig and Rat. It has been validated for ICC, IHC (p), IP and WB.
Catalog No. ABIN1043030
$442.03
Plus shipping costs $50.00
100 μg
Shipping to: United States
Delivery in 5 to 9 Business Days

Quick Overview for gamma-Tubulin GCP2 (AA 2-194) antibody (ABIN1043030)

Target

gamma-Tubulin GCP2

Reactivity

Human, Mouse, Pig, Rat

Host

Mouse

Clonality

Monoclonal

Application

Immunocytochemistry (ICC), Immunohistochemistry (Paraffin-embedded Sections) (IHC (p)), Immunoprecipitation (IP), Western Blotting (WB)

Clone

GCP2-01
  • Binding Specificity

    AA 2-194

    Purpose

    Anti-gamma-Tubulin GCP2 Purified

    Cross-Reactivity (Details)

    Human, Porcine, Mouse, Rat

    Characteristics

    The mouse monoclonal antibody GCP2-01 recognizes gamma-tubulin complex component 2 (GCP2), a 95-103 kDa intracellular protein. It recognizes also phosphorylated GCP2.

    Purification

    Purified by protein-A affinity chromatography.

    Purity

    > 95 % (by SDS-PAGE)

    Immunogen

    GST-fusion protein containing amino acids 2-194 of mouse GCP2

    Isotype

    IgG2b, kappa
  • Application Notes

    Western blotting: Recommended dilution: 1-2 μg/mL, reducing conditions.

    Restrictions

    For Research Use only
  • Format

    Liquid

    Concentration

    1 mg/mL

    Buffer

    Phosphate buffered saline (PBS), pH 7.4, 15 mM sodium azide

    Preservative

    Sodium azide

    Precaution of Use

    This product contains Sodium azide: a POISONOUS AND HAZARDOUS SUBSTANCE which should be handled by trained staff only.

    Handling Advice

    Do not freeze

    Storage

    4 °C

    Storage Comment

    Store at 2-8°C. Do not freeze.
  • Dráberová, DAgostino, Caracciolo, Sládková, Sulimenko, Sulimenko, Sobol, Maounis, Tzelepis, Mahera, K?en, Legido, Giordano, Mörk, Hozák, Dráber, Katsetos: "Overexpression and Nucleolar Localization of ?-Tubulin Small Complex Proteins GCP2 and GCP3 in Glioblastoma." in: Journal of neuropathology and experimental neurology, Vol. 74, Issue 7, pp. 723-42, (2015) (PubMed).

    Ho?ejší, Vinopal, Sládková, Dráberová, Sulimenko, Sulimenko, Vosecká, Philimonenko, Hozák, Katsetos, Dráber: "Nuclear ?-tubulin associates with nucleoli and interacts with tumor suppressor protein C53." in: Journal of cellular physiology, Vol. 227, Issue 1, pp. 367-82, (2011) (PubMed).

  • Target

    gamma-Tubulin GCP2

    Background

    Tubulin gamma complex associated protein 2,Gamma tubulin complex component 2 (GCP2) is 95-103 kDa protein which associates with two molecules of gamma tubulin and one molecule of gamma tubulin complex component 3 (GCP3), to form the gamma tubulin small complexes (gammaTuSCs). These complexes interact with GCP4, 5, and 6 to form the gamma tubulin ring complexes (gammaTuRCs), which are embedded in the microtubule organizing center matrix where they nucleate microtubules. The gammaTuRCs are also involved in the regulation of microtubule plus and minus end dynamics. Components of gamma tubulin complexes are highly conservative in eukaryotes.,GCP-2, GTCC2, GTC2

    Gene ID

    10844

    UniProt

    Q9BSJ2
You are here:
Chat with us!