Phone:
+1 877 302 8632
Fax:
+1 888 205 9894 (Toll-free)
E-Mail:
orders@antibodies-online.com

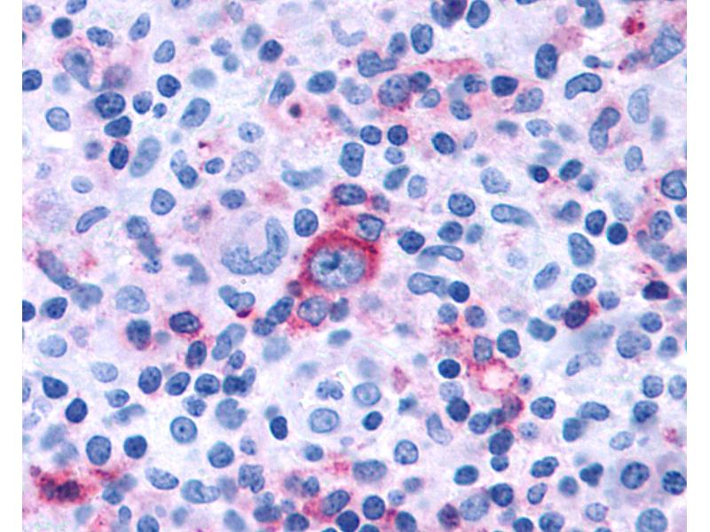
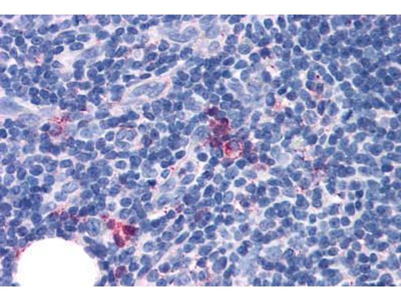
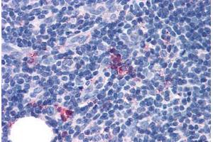
GPR97 antibody (Extracellular Domain)

The Rabbit Polyclonal anti-GPR97 antibody is suitable to detect GPR97 in samples from Human. It has been validated for IHC and IHC (p).
Catalog No. ABIN1048901
$498.30
Plus shipping costs $50.00
50 μg
Shipping to: United States
Delivery in 11 to 15 Business Days

Quick Overview for GPR97 antibody (Extracellular Domain) (ABIN1048901)

Target

See all GPR97 Antibodies
GPR97 (G Protein-Coupled Receptor 97 (GPR97))

Reactivity

  • 20
  • 1
Human

Host

  • 20
Rabbit

Clonality

  • 20
Polyclonal

Conjugate

  • 12
  • 2
  • 2
  • 2
  • 1
  • 1
This GPR97 antibody is un-conjugated

Application

  • 14
  • 13
  • 4
  • 1
  • 1
  • 1
Immunohistochemistry (IHC), Immunohistochemistry (Paraffin-embedded Sections) (IHC (p))
  • Binding Specificity

    • 8
    • 4
    • 2
    • 2
    • 1
    • 1
    • 1
    • 1
    • 1
    Extracellular Domain

    Specificity

    Human GPR97. BLAST analysis of the peptide immunogen showed no homology with other human proteins.

    Predicted Reactivity

    Percent identity with other species by BLAST analysis: Human, Gorilla, Gibbon, Marmoset (100%) Monkey (94%) Mouse, Rat (89%) Rabbit (83%).

    Purification

    Immunoaffinity purified

    Immunogen

    Synthetic 18 amino acid peptide from 2nd extracellular domain of human GPR97. Percent identity with other species by BLAST analysis: Human, Gorilla, Gibbon, Marmoset (100%), Monkey (94%), Mouse, Rat (89%), Rabbit (83%).

    Type of Immunogen: Synthetic peptide
  • Application Notes

    Approved: IHC, IHC-P (15 - 30 μg/mL)

    Comment

    Target Species of Antibody: Human

    Assay Procedure

    The IHC-pro Immunohistochemistry Protocol

    Tissue Preparation
    Formalin fixation and embedding in paraffin wax

    Tissue Sectioning
    Make 4-µm sections and place on pre-cleaned and charged microscope slides.
    Heat in a tissue-drying oven for 45 minutes at 60°C
    Deparaffinization
    Wash slides in 3 changes of xylene – 5 minutes each at room temperature.

    Rehydration
    Wash slides in 3 changes of 100% alcohol – 3 minutes each at room temperature.
    Wash slides in 2 changes of 95% alcohol – 3 minutes each at room temperature.
    Wash slides in 1 change of 80% alcohol – 3 minutes at room temperature.
    Rinse slides in gentle running distilled water – 5 minutes at room temperature.

    Antigen retrieval
    Steam slides in 0.01 M sodium citrate buffer, pH 6.0 at 99-100°C - 20 minutes
    Remove from heat and let stand at room temperature in buffer - 20 minutes
    Rinse in 1X TBS with Tween (TBST) – 1 minute at room temperature.

    Immunostaining
    Do not allow tissues to dry at any time during the staining procedure.
    Apply a universal protein block – 20 minutes at room temperature.
    Drain protein block from slides, apply diluted primary antibody – 45 minutes at room temperature.
    Rinse slides in 1X TBST - 1 minute at room temperature.
    Apply a biotinylated secondary antibody (specific to the host of the primary antibody) - 30 minutes at room temperature.
    Rinse slides 1X TBST – 1 minute at room temperature.
    Apply alkaline phosphatase streptavidin – 30 minutes at room temperature.
    Rinse slides in 1X TBST - 1 minute at room temperature.
    Apply alkaline phosphatase chromogen substrate – 30 minutes at room temperature.
    Wash slides in distilled water – 1 minute at room temperature.

    Dehydrate
    This method should only be used if the chromogen substrate is alcohol insoluble.
    Wash slides in 2 changes of 80% alcohol – 1 minute each at room temperature.
    Wash slides in 2 changes of 95% alcohol – 1 minute each at room temperature.
    Wash slides in 3 changes of 100% alcohol – 1 minute each at room temperature.
    Wash slides in 3 changes of xylene – 1 minute each at room temperature.
    Apply coverslip

    Restrictions

    For Research Use only
  • Format

    Liquid

    Concentration

    Lot specific

    Buffer

    PBS, less than 0.1 % sodium azide.

    Preservative

    Sodium azide

    Precaution of Use

    This product contains Sodium azide: a POISONOUS AND HAZARDOUS SUBSTANCE which should be handled by trained staff only.

    Storage

    4 °C,-20 °C

    Storage Comment

    Aliquot and store undiluted at -20°C or below for up to 1 year. Can be stored undiluted at 4°C for up to 1 month. Avoid freeze-thaw cycles.

    Expiry Date

    12 months
  • Target

    GPR97 (G Protein-Coupled Receptor 97 (GPR97))

    Alternative Name

    ADGRG3 / GPR97

    Background

    Name/Gene ID: ADGRG3
    Subfamily: Orphan-B
    Family: GPCR

    Synonyms: ADGRG3, G protein-coupled receptor 97, GPR97, PGR26, PB99

    Gene ID

    222487
You are here:
Chat with us!