Phone:
+1 877 302 8632
Fax:
+1 888 205 9894 (Toll-free)
E-Mail:
orders@antibodies-online.com

LPAR4 antibody (Cytoplasmic Domain)

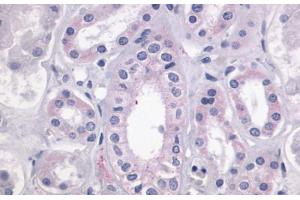
The Rabbit Polyclonal anti-LPAR4 antibody is suitable to detect LPAR4 in samples from Human, Mouse, Rat, Dog, Rabbit, Horse, Bat, Monkey and Hamster. It has been validated for IHC and IHC (p).
Catalog No. ABIN1049015
$498.30
Plus shipping costs $50.00
50 μg
Shipping to: United States
Delivery in 11 to 15 Business Days

Quick Overview for LPAR4 antibody (Cytoplasmic Domain) (ABIN1049015)

Target

See all LPAR4 Antibodies
LPAR4 (Lysophosphatidic Acid Receptor 4 (LPAR4))

Reactivity

  • 53
  • 35
  • 30
  • 6
  • 6
  • 6
  • 4
  • 3
  • 3
  • 2
  • 2
  • 1
Human, Mouse, Rat, Dog, Rabbit, Horse, Bat, Monkey, Hamster

Host

  • 54
Rabbit

Clonality

  • 54
Polyclonal

Conjugate

  • 21
  • 4
  • 3
  • 3
  • 2
  • 1
  • 1
  • 1
  • 1
  • 1
  • 1
  • 1
  • 1
  • 1
  • 1
  • 1
  • 1
  • 1
  • 1
  • 1
  • 1
  • 1
  • 1
  • 1
  • 1
  • 1
This LPAR4 antibody is un-conjugated

Application

  • 38
  • 18
  • 13
  • 13
  • 8
  • 6
  • 3
  • 3
  • 2
  • 2
  • 1
  • 1
Immunohistochemistry (IHC), Immunohistochemistry (Paraffin-embedded Sections) (IHC (p))
  • Binding Specificity

    • 15
    • 7
    • 6
    • 6
    • 2
    • 2
    • 2
    • 2
    • 1
    • 1
    • 1
    • 1
    • 1
    • 1
    • 1
    • 1
    • 1
    Cytoplasmic Domain

    Specificity

    Human LPAR4 / GPR23. BLAST analysis of the peptide immunogen showed no homology with other human proteins.

    Predicted Reactivity

    Percent identity with other species by BLAST analysis: Human, Gorilla, Gibbon, Monkey, Marmoset, Mouse, Rat, Hamster, Elephant, Panda, Dog, Bat, Horse, Rabbit (100%) Bovine, Pig, Opossum, Turkey, Chicken (94%) Xenopus (88%).

    Purification

    Immunoaffinity purified

    Immunogen

    Synthetic 17 amino acid peptide from 3rd cytoplasmic domain of human LPAR4 / GPR23. Percent identity with other species by BLAST analysis: Human, Gorilla, Gibbon, Monkey, Marmoset, Mouse, Rat, Hamster, Elephant, Panda, Dog, Bat, Horse, Rabbit (100%), Bovine, Pig, Opossum, Turkey, Chicken (94%), Xenopus (88%).

    Type of Immunogen: Synthetic peptide
  • Application Notes

    Approved: IHC, IHC-P (4 μg/mL)

    Comment

    Target Species of Antibody: Human

    Assay Procedure

    The IHC-pro Immunohistochemistry Protocol

    Tissue Preparation
    Formalin fixation and embedding in paraffin wax

    Tissue Sectioning
    Make 4-µm sections and place on pre-cleaned and charged microscope slides.
    Heat in a tissue-drying oven for 45 minutes at 60°C
    Deparaffinization
    Wash slides in 3 changes of xylene – 5 minutes each at room temperature.

    Rehydration
    Wash slides in 3 changes of 100% alcohol – 3 minutes each at room temperature.
    Wash slides in 2 changes of 95% alcohol – 3 minutes each at room temperature.
    Wash slides in 1 change of 80% alcohol – 3 minutes at room temperature.
    Rinse slides in gentle running distilled water – 5 minutes at room temperature.

    Antigen retrieval
    Steam slides in 0.01 M sodium citrate buffer, pH 6.0 at 99-100°C - 20 minutes
    Remove from heat and let stand at room temperature in buffer - 20 minutes
    Rinse in 1X TBS with Tween (TBST) – 1 minute at room temperature.

    Immunostaining
    Do not allow tissues to dry at any time during the staining procedure.
    Apply a universal protein block – 20 minutes at room temperature.
    Drain protein block from slides, apply diluted primary antibody – 45 minutes at room temperature.
    Rinse slides in 1X TBST - 1 minute at room temperature.
    Apply a biotinylated secondary antibody (specific to the host of the primary antibody) - 30 minutes at room temperature.
    Rinse slides 1X TBST – 1 minute at room temperature.
    Apply alkaline phosphatase streptavidin – 30 minutes at room temperature.
    Rinse slides in 1X TBST - 1 minute at room temperature.
    Apply alkaline phosphatase chromogen substrate – 30 minutes at room temperature.
    Wash slides in distilled water – 1 minute at room temperature.

    Dehydrate
    This method should only be used if the chromogen substrate is alcohol insoluble.
    Wash slides in 2 changes of 80% alcohol – 1 minute each at room temperature.
    Wash slides in 2 changes of 95% alcohol – 1 minute each at room temperature.
    Wash slides in 3 changes of 100% alcohol – 1 minute each at room temperature.
    Wash slides in 3 changes of xylene – 1 minute each at room temperature.
    Apply coverslip

    Restrictions

    For Research Use only
  • Format

    Liquid

    Concentration

    Lot specific

    Buffer

    PBS, less than 0.1 % sodium azide.

    Preservative

    Sodium azide

    Precaution of Use

    This product contains Sodium azide: a POISONOUS AND HAZARDOUS SUBSTANCE which should be handled by trained staff only.

    Storage

    4 °C,-20 °C

    Storage Comment

    Aliquot and store undiluted at -20°C or below for up to 1 year. Can be stored undiluted at 4°C for up to 1 month. Avoid freeze-thaw cycles.

    Expiry Date

    12 months
  • Target

    LPAR4 (Lysophosphatidic Acid Receptor 4 (LPAR4))

    Alternative Name

    LPAR4 / GPR23

    Background

    Name/Gene ID: LPAR4
    Subfamily: Lysophospholipid/Lysosphingolipid
    Family: GPCR

    Synonyms: LPAR4, G-protein coupled receptor 23, LPA-4, p2RY9, p2Y5-LIKE, p2Y purinoceptor 9, p2Y5-like receptor, p2Y9, G protein-coupled receptor 23, GPR23, LPA receptor 4, LPA4, Purinergic receptor 9

    Gene ID

    2846
You are here:
Chat with us!