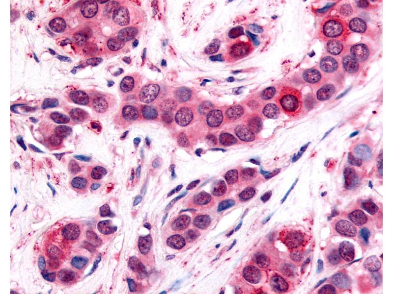
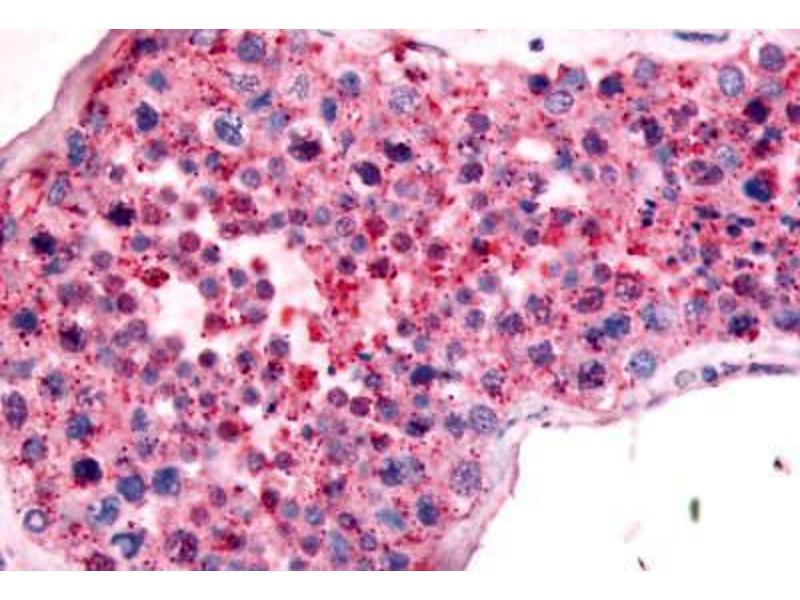
UCHL3 antibody (C-Term)
Quick Overview for UCHL3 antibody (C-Term) (ABIN1049450)
Target
See all UCHL3 (Uchl3) AntibodiesReactivity
Host
Clonality
Conjugate
Application
-
-
Binding Specificity
- C-Term
-
Specificity
- Human UCHL3. BLAST analysis of the peptide immunogen showed no homology with other human proteins.
-
Predicted Reactivity
- Percent identity with other species by BLAST analysis: Human, Gorilla, Gibbon, Monkey, Mouse, Rat, Hamster, Elephant, Panda, Dog, Bovine, Horse, Rabbit, Pig, Lizard (100%) Opossum, Turkey, Chicken (93%) Xenopus, Zebrafish, Drosophila (80%).
-
Purification
- Immunoaffinity purified
-
Immunogen
-
Synthetic 15 amino acid peptide from near C-terminus of human UCHL3. Percent identity with other species by BLAST analysis: Human, Gorilla, Gibbon, Monkey, Mouse, Rat, Hamster, Elephant, Panda, Dog, Bovine, Horse, Rabbit, Pig, Lizard (100%), Opossum, Turkey, Chicken (93%), Xenopus, Zebrafish, Drosophila (80%).
Type of Immunogen: Synthetic peptide
-
-
-
-
Application Notes
- Approved: IF, IHC, IHC-Fr, IHC-P (5 - 10 μg/mL)
-
Comment
-
Target Species of Antibody: Human
-
Assay Procedure
-
The IHC-pro Immunohistochemistry Protocol
Tissue Preparation
Formalin fixation and embedding in paraffin wax
Tissue Sectioning
Make 4-µm sections and place on pre-cleaned and charged microscope slides.
Heat in a tissue-drying oven for 45 minutes at 60°C
Deparaffinization
Wash slides in 3 changes of xylene – 5 minutes each at room temperature.
Rehydration
Wash slides in 3 changes of 100% alcohol – 3 minutes each at room temperature.
Wash slides in 2 changes of 95% alcohol – 3 minutes each at room temperature.
Wash slides in 1 change of 80% alcohol – 3 minutes at room temperature.
Rinse slides in gentle running distilled water – 5 minutes at room temperature.
Antigen retrieval
Steam slides in 0.01 M sodium citrate buffer, pH 6.0 at 99-100°C - 20 minutes
Remove from heat and let stand at room temperature in buffer - 20 minutes
Rinse in 1X TBS with Tween (TBST) – 1 minute at room temperature.
Immunostaining
Do not allow tissues to dry at any time during the staining procedure.
Apply a universal protein block – 20 minutes at room temperature.
Drain protein block from slides, apply diluted primary antibody – 45 minutes at room temperature.
Rinse slides in 1X TBST - 1 minute at room temperature.
Apply a biotinylated secondary antibody (specific to the host of the primary antibody) - 30 minutes at room temperature.
Rinse slides 1X TBST – 1 minute at room temperature.
Apply alkaline phosphatase streptavidin – 30 minutes at room temperature.
Rinse slides in 1X TBST - 1 minute at room temperature.
Apply alkaline phosphatase chromogen substrate – 30 minutes at room temperature.
Wash slides in distilled water – 1 minute at room temperature.
Dehydrate
This method should only be used if the chromogen substrate is alcohol insoluble.
Wash slides in 2 changes of 80% alcohol – 1 minute each at room temperature.
Wash slides in 2 changes of 95% alcohol – 1 minute each at room temperature.
Wash slides in 3 changes of 100% alcohol – 1 minute each at room temperature.
Wash slides in 3 changes of xylene – 1 minute each at room temperature.
Apply coverslip -
Restrictions
- For Research Use only
-
-
-
Format
- Liquid
-
Concentration
- Lot specific
-
Buffer
- PBS, less than 0.1 % sodium azide.
-
Preservative
- Sodium azide
-
Precaution of Use
- This product contains Sodium azide: a POISONOUS AND HAZARDOUS SUBSTANCE which should be handled by trained staff only.
-
Storage
- 4 °C,-20 °C
-
Storage Comment
- Aliquot and store undiluted at -20°C or below for up to 1 year. Can be stored undiluted at 4°C for up to 1 month. Avoid freeze-thaw cycles.
-
Expiry Date
- 12 months
-
-
- UCHL3 (Uchl3) (Ubiquitin Carboxyl-terminal Esterase L3 (Ubiquitin Thiolesterase) (Uchl3))
-
Alternative Name
- UCHL3
-
Background
-
Name/Gene ID: UCHL3
Subfamily: Cysteine C12
Family: Protease
Synonyms: UCHL3, Ubiquitin thiolesterase, Ubiquitin thioesterase L3, UCH-L3 -
Gene ID
- 7347
-
Pathways
- Feeding Behaviour, Positive Regulation of fat Cell Differentiation
Target
-