CEACAM1 antibody
Quick Overview for CEACAM1 antibody (ABIN108725)
Target
See all CEACAM1 AntibodiesReactivity
Host
Clonality
Conjugate
Application
Clone
-
-
Specificity
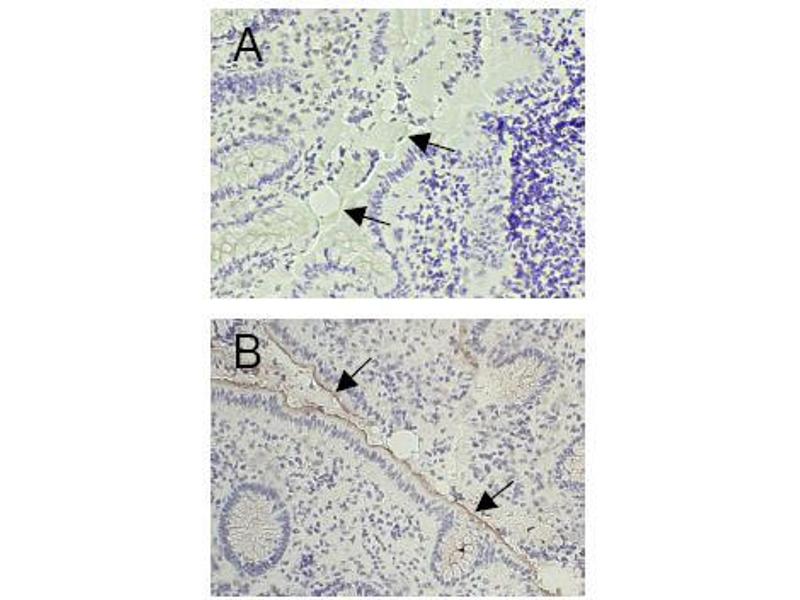
- GM8G5 recognises CEACAM1 transiently expressed on the cell surface of transfected BOSC cells as well as the naturally expressed protein (Fig. 2, kindly provided by Dr. R. Riesenberg, Labor für Tumorimmunologie, Urologische Klinik, Klinikum Grossh
-
Purification
- Protein G
-
Immunogen
- genetic immunisation with cDNA encoding the extracellular region of human CEACAM1-A2
-
Isotype
- IgG1
-
-
-
-
Application Notes
-
Flow cytometry: 1.2 µg/10^6 cells
CELISA: 1:200 - 1:400
ELISA: 1:200 - 1:400
Immunohistology: 10 µg/mL (on cryosections)
For each application a titration should be performed to determine the optimal concentration. -
Comment
-
Synonyms: CD66a, BGP, biliary glycoprotein I
-
Restrictions
- For Research Use only
-
-
-
Buffer
- PBS, pH 7.2
-
Handling Advice
- Avoid repeated freezing and thawing.
-
Storage
- 4 °C
-
Storage Comment
- short term: 2 °C - 8 °C, long term: -20 °C
-
-
- CEACAM1 (Carcinoembryonic Antigen-Related Cell Adhesion Molecule 1 (CEACAM1))
-
Alternative Name
- CEACAM1
-
Background
- CEACAM1 (BGP) belongs to the carcinoembryonic antigen (CEA) gene family. CEACAM1 expression is downregulated in many tumors indicating a tumor-suppressive function. GM8G5 was generated by genetic immunisation and can be used to distinguish CEACAM1 from all other CEACAMs.
-
UniProt
- P13688
Target
-