UCHL3 antibody
Quick Overview for UCHL3 antibody (ABIN1104917)
Target
See all UCHL3 (Uchl3) AntibodiesReactivity
Host
Clonality
Conjugate
Application
-
-
Purification
- Ammonium sulfate precipitation
-
Immunogen
-
Recombinant human protein purified from E. coli (GST-UCHL3).
Type of Immunogen: Recombinant protein -
Isotype
- IgG2b kappa
-
-
-
-
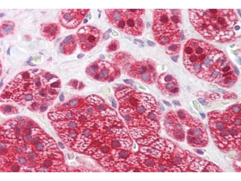
Application Notes
- Approved: ELISA, IHC, IHC-P (1:200), WB (1:1000)
-
Comment
-
Target Species of Antibody: Human
-
Restrictions
- For Research Use only
-
-
-
Format
- Liquid
-
Concentration
- Lot specific
-
Buffer
- HEPES with 0.15M NaCl, 0.01 % BSA, 0.03 % sodium azide, and 50 % glycerol
-
Preservative
- Sodium azide
-
Precaution of Use
- This product contains Sodium azide: a POISONOUS AND HAZARDOUS SUBSTANCE which should be handled by trained staff only.
-
Storage
- -20 °C
-
Storage Comment
-
Short term: -20°C
Long term: -20°C.
-
-
- UCHL3 (Uchl3) (Ubiquitin Carboxyl-terminal Esterase L3 (Ubiquitin Thiolesterase) (Uchl3))
-
Alternative Name
- UCHL3
-
Background
-
Name/Gene ID: UCHL3
Subfamily: Cysteine C12
Family: Protease
Synonyms: UCHL3, Ubiquitin thiolesterase, Ubiquitin thioesterase L3, UCH-L3 -
Gene ID
- 7347
-
UniProt
- P15374
-
Pathways
- Feeding Behaviour, Positive Regulation of fat Cell Differentiation
Target
-