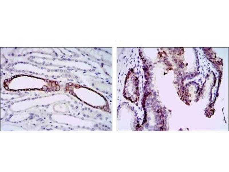
BPIFA2
Reactivity: Human
WB, IHC, ICC, IP
Host: Rabbit
Polyclonal
unconjugated
Application Notes
Optimal working dilution should be determined by the investigator.
Restrictions
For Research Use only
Format
Liquid
Concentration
1.0 mg/mL
Buffer
PBS, 0.05 % Sodium Azide, 0.5 % protein stabilizer
Preservative
Sodium azide
Precaution of Use
This product contains sodium azide: a POISONOUS AND HAZARDOUS SUBSTANCE which should be handled by trained staff only.
Target
BPIFA2
(BPI Fold Containing Family A, Member 2 (BPIFA2))
Alternative Name
Splunc2
Background
SPLUNC2 is one member of PLUNC family, the gene undergoes alternative splicing using two 5' non-coding exons, suggesting that the gene is regulated by alternative promoters.multiple SPLUNC2 isoforms are found in the oral cavity and suggest that these proteins may be differentially regulated in distinct tissues where they may function in the innate immune response. Mucin plugs, mucous and intermediate cells of mucoepidermoid carcinomas were positive for LPLUNC1 and SPLUNC2, but areas composed of epidermoid and clear cells were negative for all PLUNCs. Papillary cystadenocarcinoma was positive for all PLUNCs.