Phone:
+1 877 302 8632
Fax:
+1 888 205 9894 (Toll-free)
E-Mail:
orders@antibodies-online.com

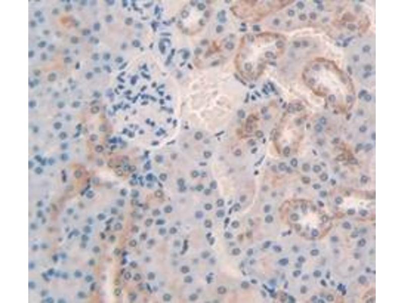
VNN1 antibody (AA 390-503)

This Rabbit Polyclonal antibody specifically detects VNN1 in WB, IHC, IP and ICC. It exhibits reactivity toward Mouse.
Catalog No. ABIN1175770
$252.00
Plus shipping costs $50.00
Shipping to: United States
Delivery in 15 to 19 Business Days

Quick Overview for VNN1 antibody (AA 390-503) (ABIN1175770)

Target

See all VNN1 Antibodies
VNN1 (Vanin 1 (VNN1))

Reactivity

  • 61
  • 22
  • 18
  • 1
Mouse

Host

  • 55
  • 13
Rabbit

Clonality

  • 57
  • 11
Polyclonal

Conjugate

  • 35
  • 8
  • 5
  • 2
  • 1
  • 1
  • 1
  • 1
  • 1
  • 1
  • 1
  • 1
  • 1
  • 1
  • 1
  • 1
  • 1
  • 1
  • 1
  • 1
  • 1
  • 1
This VNN1 antibody is un-conjugated

Application

  • 53
  • 21
  • 16
  • 14
  • 14
  • 13
  • 13
  • 13
  • 4
  • 4
  • 4
  • 3
  • 1
Western Blotting (WB), Immunohistochemistry (IHC), Immunoprecipitation (IP), Immunocytochemistry (ICC)
  • Binding Specificity

    • 16
    • 5
    • 5
    • 4
    • 3
    • 2
    • 2
    • 2
    • 2
    • 1
    • 1
    • 1
    • 1
    • 1
    • 1
    • 1
    • 1
    • 1
    AA 390-503

    Purpose

    Polyclonal Antibody to Vanin 1 (VNN1)

    Specificity

    The antibody is a rabbit polyclonal antibody raised against VNN1. It has been selected for its ability to recognize VNN1 in immunohistochemical staining and western blotting.

    Cross-Reactivity

    Rat

    Purification

    Antigen-specific affinity chromatography followed by Protein A affinity chromatography

    Immunogen

    VNN1 (Val390-Ile503)

    Isotype

    IgG
  • Application Notes

    Western blotting: 0.2-2 μg/mL,1:250-2500 Immunohistochemistry: 5-20 μg/mL,1:25-100 Immunocytochemistry: 5-20 μg/mL,1:25-100 Optimal working dilutions must be determined by end user.

    Comment

    The thermal stability is described by the loss rate. The loss rate was determined by accelerated thermal degradation test, that is, incubate the protein at 37°C for 48h, and no obvious degradation and precipitation were observed. The loss rate is less than 5% within the expiration date under appropriate storage condition.

    Restrictions

    For Research Use only
  • Format

    Liquid

    Concentration

    500 μg/mL

    Buffer

    PBS, pH 7.4, containing 0.02 % Sodium azide, 50 % glycerol.

    Preservative

    Sodium azide

    Precaution of Use

    WARNING: Reagents contain sodium azide. Sodium azide is very toxic if ingested or inhaled. Avoid contact with skin, eyes, or clothing. Wear eye or face protection when handling. If skin or eye contact occurs, wash with copious amounts of water. If ingested or inhaled, contact a physician immediately. Sodium azide yields toxic hydrazoic acid under acidic conditions. Dilute azide-containing compounds in running water before discarding to avoid accumulation of potentially explosive deposits in lead or copper plumbing.

    Handling Advice

    Avoid repeated freeze-thaw cycles.

    Storage

    4 °C,-20 °C

    Storage Comment

    Store at 4°C for frequent use. Stored at -20°C in a manual defrost freezer for two year without detectable loss of activity. Avoid repeated freeze-thaw cycles.

    Expiry Date

    12 months
  • Target

    VNN1 (Vanin 1 (VNN1))

    Alternative Name

    VNN1

    Background

    Pantetheinase, Pantetheine hydrolase, Tiff66, Vascular non-inflammatory molecule 1

    Pathways

    Negative Regulation of intrinsic apoptotic Signaling
You are here:
Chat with us!