Phone:
+1 877 302 8632
Fax:
+1 888 205 9894 (Toll-free)
E-Mail:
orders@antibodies-online.com

Vitellogenin antibody

The Mouse Monoclonal anti-Vitellogenin antibody is suitable to detect Vitellogenin in samples from Zebrafish (Danio rerio). It has been validated for ELISA and WB.
Catalog No. ABIN123821
$570.00
Plus shipping costs $50.00
Shipping to: United States
Delivery in 8 to 12 Business Days

Quick Overview for Vitellogenin antibody (ABIN123821)

Target

See all Vitellogenin (VTG) Antibodies
Vitellogenin (VTG)

Reactivity

  • 2
  • 2
  • 2
  • 2
  • 1
  • 1
  • 1
  • 1
  • 1
Zebrafish (Danio rerio)

Host

  • 9
  • 2
Mouse

Clonality

  • 9
  • 2
Monoclonal

Conjugate

  • 11
This Vitellogenin antibody is un-conjugated

Application

  • 11
  • 11
  • 1
ELISA, Western Blotting (WB)

Clone

JE-2A6
  • Specificity

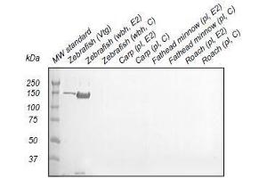
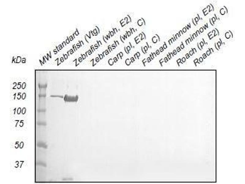
    JE-2A6 binds with high affinity to vitellogenin in whole body homogenate samples from zebrafish. The antibody does not cross-react with vitellogenin from the other cyprinid species carp (Cyprinus carpio), fathead minnow (Pimephales promelas) and roach (Rutilus rutilus).

    Immunogen

    Vitellogenin purified from whole body homogenate of 17ß-estradiol-treated zebrafish.

    Isotype

    IgG2b kappa
  • Application Notes

    JE-2A6 binds specifically to zebrafish vitellogenin in both ELISA and western blot. Since assay conditions vary, the optimum dilution should be determined for each particular application. Note: The antibody is dissolved in a buffer containing BSA, and is therefore not recommended to use for coating. Normal dilution range: ELISA: 1:100 - 1:1000 - Western blot: 1:100 ? 1:1000

    Restrictions

    For Research Use only
  • Format

    Liquid

    Buffer

    0.1 M Na-phosphate, 0.15 M NaCl, 1% BSA, 12.3 mM Na-azide, pH 7.4.

    Preservative

    Sodium azide

    Precaution of Use

    This product contains sodium azide: a POISONOUS AND HAZARDOUS SUBSTANCE which should be handled by trained staff only.

    Storage

    4 °C
  • Target

    Vitellogenin (VTG)

    Alternative Name

    Vitellogenin
You are here:
Chat with us!