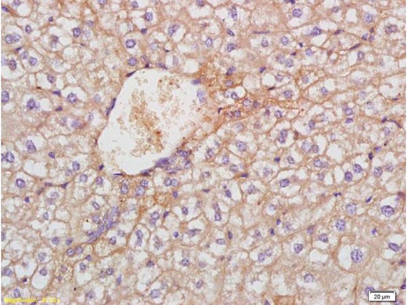
TREM1 antibody (AA 65-150)
Quick Overview for TREM1 antibody (AA 65-150) (ABIN1385706)
Target
See all TREM1 AntibodiesReactivity
Host
Clonality
Conjugate
Application
-
-
Binding Specificity
- AA 65-150
-
Specificity
- Antibody's immunogen sequence has 69 % homology to the Human TREM1 protein
-
Cross-Reactivity
- Mouse, Rat
-
Purification
- Purified by Protein A.
-
Immunogen
- KLH conjugated synthetic peptide derived from mouse TREM1
-
Isotype
- IgG
-
-
-
-
Application Notes
-
WB 1:300-5000
ELISA 1:500-1000
FCM 1:20-100
IHC-P 1:200-400
IF(ICC) 1:50-200 -
Restrictions
- For Research Use only
-
-
-
Format
- Liquid
-
Concentration
- 1 μg/μL
-
Buffer
- 0.01M TBS( pH 7.4) with 1 % BSA, 0.02 % Proclin300 and 50 % Glycerol.
-
Preservative
- ProClin
-
Precaution of Use
- This product contains ProClin: a POISONOUS AND HAZARDOUS SUBSTANCE, which should be handled by trained staff only.
-
Storage
- 4 °C,-20 °C
-
Storage Comment
- Shipped at 4°C. Store at -20°C for one year. Avoid repeated freeze/thaw cycles.
-
Expiry Date
- 12 months
-
-
- TREM1 (Triggering Receptor Expressed On Myeloid Cells 1 (TREM1))
-
Alternative Name
- TREM1
-
Background
-
Synonyms: Triggering receptor expressed on myeloid cells 1, TREM-1, CD354, Trem1
Background: Stimulates neutrophil and monocyte-mediated inflammatory responses. Triggers release of pro-inflammatory chemokines and cytokines, as well as increased surface expression of cell activation markers. Amplifier of inflammatory responses that are triggered by bacterial and fungal infections and is a crucial mediator of septic shock (By similarity).
-
Gene ID
- 58217
-
UniProt
- Q9JKE2
Target
-