Phone:
+1 877 302 8632
Fax:
+1 888 205 9894 (Toll-free)
E-Mail:
orders@antibodies-online.com

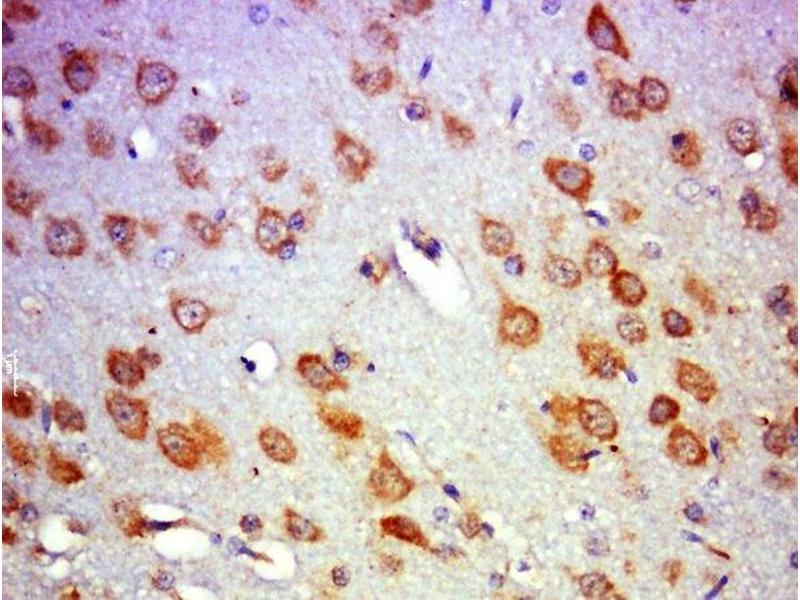
PICALM antibody (AA 251-350)

The Rabbit Polyclonal anti-PICALM antibody (ABIN1385889) specifically detects PICALM in WB, ELISA, IF (cc), IF (p), IHC (p), ICC and IHC (fro). The antibody is reactive with Mouse and Rat samples.
Catalog No. ABIN1385889
$384.62
Plus shipping costs $50.00
100 μL
Shipping to: United States
Delivery in 4 to 7 Business Days

Quick Overview for PICALM antibody (AA 251-350) (ABIN1385889)

Target

See all PICALM Antibodies
PICALM (Phosphatidylinositol Binding clathrin Assembly Protein (PICALM))

Reactivity

  • 26
  • 25
  • 24
  • 4
  • 4
  • 4
  • 4
  • 4
  • 3
  • 2
  • 2
  • 2
  • 1
Mouse, Rat

Host

  • 38
  • 2
Rabbit

Clonality

  • 38
  • 2
Polyclonal

Conjugate

  • 22
  • 3
  • 2
  • 2
  • 1
  • 1
  • 1
  • 1
  • 1
  • 1
  • 1
  • 1
  • 1
  • 1
  • 1
This PICALM antibody is un-conjugated

Application

  • 35
  • 12
  • 12
  • 10
  • 6
  • 5
  • 4
  • 3
  • 2
  • 2
  • 1
Western Blotting (WB), ELISA, Immunofluorescence (Cultured Cells) (IF (cc)), Immunofluorescence (Paraffin-embedded Sections) (IF (p)), Immunohistochemistry (Paraffin-embedded Sections) (IHC (p)), Immunocytochemistry (ICC), Immunohistochemistry (Frozen Sections) (IHC (fro))
  • Binding Specificity

    • 14
    • 5
    • 3
    • 3
    • 2
    • 1
    • 1
    • 1
    • 1
    • 1
    • 1
    • 1
    • 1
    • 1
    AA 251-350

    Cross-Reactivity

    Mouse, Rat

    Predicted Reactivity

    Human,Dog,Cow,Sheep,Horse,Zebrafish

    Purification

    Purified by Protein A.

    Immunogen

    KLH conjugated synthetic peptide derived from human PICALM/CALM

    Isotype

    IgG
  • Application Notes

    WB 1:300-5000
    ELISA 1:500-1000
    IHC-P 1:200-400
    IHC-F 1:100-500
    IF(IHC-P) 1:50-200
    IF(IHC-F) 1:50-200
    IF(ICC) 1:50-200
    ICC 1:100-500

    Restrictions

    For Research Use only
  • Format

    Liquid

    Concentration

    1 μg/μL

    Buffer

    0.01M TBS( pH 7.4) with 1 % BSA, 0.02 % Proclin300 and 50 % Glycerol.

    Preservative

    ProClin

    Precaution of Use

    This product contains ProClin: a POISONOUS AND HAZARDOUS SUBSTANCE, which should be handled by trained staff only.

    Storage

    4 °C,-20 °C

    Storage Comment

    Shipped at 4°C. Store at -20°C for one year. Avoid repeated freeze/thaw cycles.

    Expiry Date

    12 months
  • Target

    PICALM (Phosphatidylinositol Binding clathrin Assembly Protein (PICALM))

    Alternative Name

    PICALM/CALM

    Background

    Synonyms: Clathrin assembly lymphoid myeloid leukemia, Clathrin assembly lymphoid myeloid leukemia protein, CLTH, LAP, Phosphatidylinositol-binding clathrin assembly protein, PICAL_HUMAN, PICALM.

    Background: Clathrin-coated pits and vesicles are assembled for receptor-mediated endocytosis through interaction with clathrin associated protein complexes. Vesicle transport is mediated from the trans-Golgi network by the adapter complex AP-1 and from the plasma membrane by the AP-2 complex. The AP-1 and AP-2 adapter protein complexes consist of clathrin binding adaptin proteins and two smaller subunits known as AP50 and AP17. The Alpha- and Beta-Adaptin chains have a similar two-domain organization with C-terminal domains that vary in both sequence and length. Alpha-Adaptin splice variants A and C display variable relative expression levels and differential distribution in different tissues. AP180 (also designated AP-3 or F1-20) is a synapse-specific clathrin assembly protein. The protein CALM (clathrin assembly protein lymphoid myeloid leukemia) is highly homologous to AP180 and may also be involved in clathrin assembly.

    Pathways

    Synaptic Membrane
You are here:
Chat with us!