Phone:
+1 877 302 8632
Fax:
+1 888 205 9894 (Toll-free)
E-Mail:
orders@antibodies-online.com

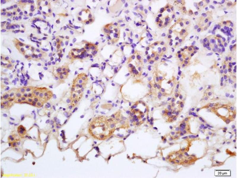
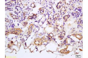
Tankyrase antibody (AA 1140-1171)

The Rabbit Polyclonal anti-Tankyrase antibody (ABIN1385979) specifically detects Tankyrase in WB, IF (p) and IHC (p). The antibody is reactive with Human, Mouse and Rat samples.
Catalog No. ABIN1385979
$384.62
Plus shipping costs $50.00
100 μL
Shipping to: United States
Delivery in 4 to 7 Business Days

Quick Overview for Tankyrase antibody (AA 1140-1171) (ABIN1385979)

Target

Tankyrase

Reactivity

Human, Mouse, Rat

Host

  • 17
  • 2
Rabbit

Clonality

  • 17
  • 2
Polyclonal

Conjugate

  • 5
  • 1
  • 1
  • 1
  • 1
  • 1
  • 1
  • 1
  • 1
  • 1
  • 1
  • 1
  • 1
  • 1
  • 1
This Tankyrase antibody is un-conjugated

Application

  • 19
  • 12
  • 4
  • 3
  • 1
  • 1
  • 1
Western Blotting (WB), Immunofluorescence (Paraffin-embedded Sections) (IF (p)), Immunohistochemistry (Paraffin-embedded Sections) (IHC (p))
  • Binding Specificity

    • 14
    • 2
    • 1
    • 1
    AA 1140-1171

    Cross-Reactivity

    Human, Mouse, Rat

    Purification

    Purified by Protein A.

    Immunogen

    KLH conjugated synthetic peptide derived from human Tankyrase

    Isotype

    IgG
  • Application Notes

    WB 1:300-5000
    IHC-P 1:200-400
    IF(IHC-P) 1:50-200

    Restrictions

    For Research Use only
  • Format

    Liquid

    Concentration

    1 μg/μL

    Buffer

    0.01M TBS( pH 7.4) with 1 % BSA, 0.02 % Proclin300 and 50 % Glycerol.

    Preservative

    ProClin

    Precaution of Use

    This product contains ProClin: a POISONOUS AND HAZARDOUS SUBSTANCE, which should be handled by trained staff only.

    Storage

    4 °C,-20 °C

    Storage Comment

    Shipped at 4°C. Store at -20°C for one year. Avoid repeated freeze/thaw cycles.

    Expiry Date

    12 months
  • Target

    Tankyrase

    Background

    Synonyms: TIN1, ARTD5, PARPL, TINF1, TNKS1, pART5, PARP5A, PARP-5a, Tankyrase-1, TANK1, ADP-ribosyltransferase diphtheria toxin-like 5, Poly [ADP-ribose] polymerase 5A, TNKS-1, TRF1-interacting ankyrin-related ADP-ribose polymerase, Tankyrase I, TNKS

    Background: Poly-ADP-ribosyltransferase involved in various processes such as Wnt signaling pathway, telomere length and vesicle trafficking. Acts as an activator of the Wnt signaling pathway by mediating poly-ADP-ribosylation (PARsylation) of AXIN1 and AXIN2, 2 key components of the beta-catenin destruction complex: poly-ADP-ribosylated target proteins are recognized by RNF146, which mediates their ubiquitination and subsequent degradation. Also mediates PARsylation of BLZF1 and CASC3, followed by recruitment of RNF146 and subsequent ubiquitination. Mediates PARsylation of TERF1, thereby contributing to the regulation of telomere length. Involved in centrosome maturation during prometaphase by mediating PARsylation of HEPACAM2/MIKI. May also regulate vesicle trafficking and modulate the subcellular distribution of SLC2A4/GLUT4-vesicles. May be involved in spindle pole assembly through PARsylation of NUMA1. Stimulates 26S proteasome activity.

    Gene ID

    8658

    UniProt

    O95271
You are here:
Chat with us!