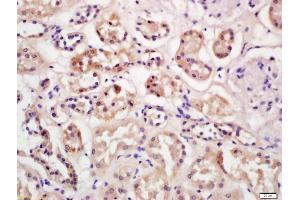
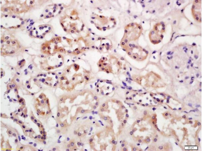
PDSS2 antibody (AA 21-100)
Quick Overview for PDSS2 antibody (AA 21-100) (ABIN1386354)
Target
See all PDSS2 AntibodiesReactivity
Host
Clonality
Conjugate
Application
-
-
Binding Specificity
- AA 21-100
-
Cross-Reactivity
- Human
-
Predicted Reactivity
- Mouse,Rat
-
Purification
- Purified by Protein A.
-
Immunogen
- KLH conjugated synthetic peptide derived from human PDSS2
-
Isotype
- IgG
-
-
-
-
Application Notes
-
ELISA 1:500-1000
IHC-P 1:200-400
IHC-F 1:100-500 -
Restrictions
- For Research Use only
-
-
-
Format
- Liquid
-
Concentration
- 1 μg/μL
-
Buffer
- 0.01M TBS( pH 7.4) with 1 % BSA, 0.02 % Proclin300 and 50 % Glycerol.
-
Preservative
- ProClin
-
Precaution of Use
- This product contains ProClin: a POISONOUS AND HAZARDOUS SUBSTANCE, which should be handled by trained staff only.
-
Storage
- 4 °C,-20 °C
-
Storage Comment
- Shipped at 4°C. Store at -20°C for one year. Avoid repeated freeze/thaw cycles.
-
Expiry Date
- 12 months
-
-
- PDSS2 (Prenyl (Decaprenyl) Diphosphate Synthase, Subunit 2 (PDSS2))
-
Alternative Name
- PDSS2
-
Background
-
Synonyms: DLP1, hDLP1, COQ10D3, C6orf210, bA59I9.3, Decaprenyl-diphosphate synthase subunit 2, All-trans-decaprenyl-diphosphate synthase subunit 2, Candidate tumor suppressor protein, Decaprenyl pyrophosphate synthase subunit 2, PDSS2
Background: The protein encoded by this gene is an enzyme that synthesizes the prenyl side-chain of coenzyme Q, or ubiquinone, one of the key elements in the respiratory chain. The gene product catalyzes the formation of all trans-polyprenyl pyrophosphates from isopentyl diphosphate in the assembly of polyisoprenoid side chains, the first step in coenzyme Q biosynthesis. Defects in this gene are a cause of coenzyme Q10 deficiency.
-
Gene ID
- 57107
-
UniProt
- Q86YH6
Target
-