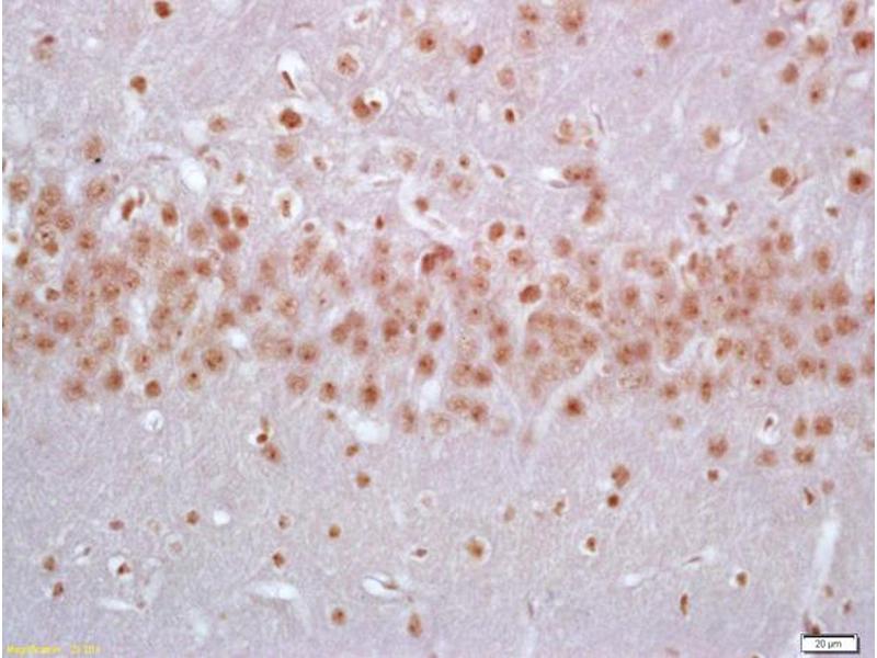
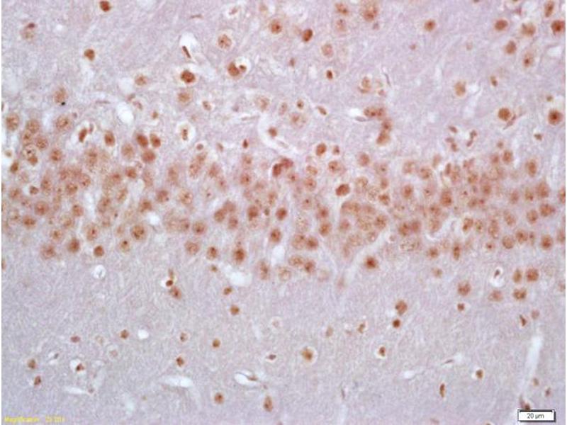
FGGY antibody (AA 151-250)
Quick Overview for FGGY antibody (AA 151-250) (ABIN1387445)
Target
See all FGGY AntibodiesReactivity
Host
Clonality
Conjugate
Application
-
-
Binding Specificity
- AA 151-250
-
Cross-Reactivity
- Mouse, Rat
-
Predicted Reactivity
- Human,Dog,Cow,Sheep,Horse,Rabbit
-
Purification
- Purified by Protein A.
-
Immunogen
- KLH conjugated synthetic peptide derived from human FGGY
-
Isotype
- IgG
-
-
-
-
Application Notes
-
WB 1:300-5000
ELISA 1:500-1000
IHC-P 1:200-400
IHC-F 1:100-500
IF(IHC-P) 1:50-200
IF(IHC-F) 1:50-200
IF(ICC) 1:50-200
ICC 1:100-500 -
Restrictions
- For Research Use only
-
-
-
Format
- Liquid
-
Concentration
- 1 μg/μL
-
Buffer
- 0.01M TBS( pH 7.4) with 1 % BSA, 0.02 % Proclin300 and 50 % Glycerol.
-
Preservative
- ProClin
-
Precaution of Use
- This product contains ProClin: a POISONOUS AND HAZARDOUS SUBSTANCE, which should be handled by trained staff only.
-
Storage
- 4 °C,-20 °C
-
Storage Comment
- Shipped at 4°C. Store at -20°C for one year. Avoid repeated freeze/thaw cycles.
-
Expiry Date
- 12 months
-
-
- FGGY (FGGY Carbohydrate Kinase Domain Containing (FGGY))
-
Alternative Name
- FGGY
-
Background
-
Synonyms: FGGY carbohydrate kinase domain-containing protein, FGGY
Background: This gene encodes a protein that phosphorylates carbohydrates such as ribulose, ribitol, and L-arabinitol. Genome-wide association studies in some populations have found an association between polymorphisms in this gene and sporadic amyotrophic lateral sclerosis, but studies of other populations have not been able to replicate this association. Alternative splicing results in multiple transcript variants. [provided by RefSeq, May 2013]
-
Gene ID
- 55277
-
UniProt
- Q96C11
Target
-