Progestin Receptor beta/mprb (AA 251-300) antibody
Quick Overview for Progestin Receptor beta/mprb (AA 251-300) antibody (ABIN1387676)
Target
Reactivity
Host
Clonality
Application
-
-
Binding Specificity
- AA 251-300
-
Cross-Reactivity
- Dog, Mouse, Rat, Sheep
-
Predicted Reactivity
- Human,Cow,Pig,Horse,Chicken,Rabbit
-
Purification
- Purified by Protein A.
-
Immunogen
- KLH conjugated synthetic peptide derived from human Progestin Receptor Beta
-
Isotype
- IgG
-
-
-
Application Notes
-
WB 1:300-5000
ELISA 1:500-1000
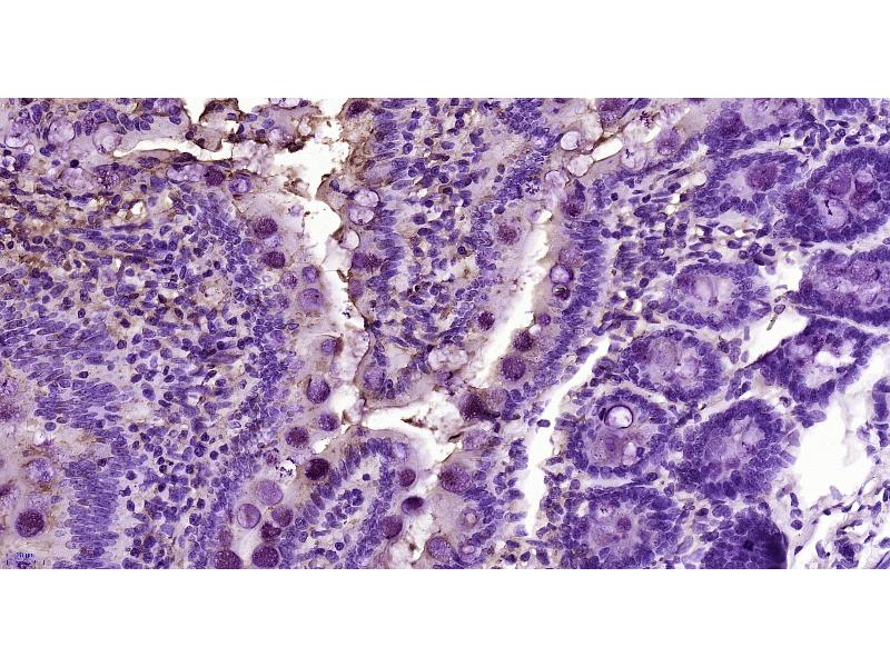
IHC-P 1:200-400
IHC-F 1:100-500
IF(IHC-P) 1:50-200
IF(IHC-F) 1:50-200
IF(ICC) 1:50-200
ICC 1:100-500 -
Restrictions
- For Research Use only
-
-
-
Format
- Liquid
-
Concentration
- 1 μg/μL
-
Buffer
- 0.01M TBS( pH 7.4) with 1 % BSA, 0.02 % Proclin300 and 50 % Glycerol.
-
Preservative
- ProClin
-
Precaution of Use
- This product contains ProClin: a POISONOUS AND HAZARDOUS SUBSTANCE, which should be handled by trained staff only.
-
Storage
- 4 °C,-20 °C
-
Storage Comment
- Shipped at 4°C. Store at -20°C for one year. Avoid repeated freeze/thaw cycles.
-
Expiry Date
- 12 months
-
-
-
: "Membrane progesterone receptor beta (mPRβ/Paqr8) promotes progesterone-dependent neurite outgrowth in PC12 neuronal cells via non-G protein-coupled receptor (GPCR) signaling." in: Scientific reports, Vol. 7, Issue 1, pp. 5168, (2017) (PubMed).
-
-
- Progestin Receptor beta/mprb
-
Background
-
Synonyms: C6orf33, LMPB1, Lysosomal membrane protein in brain 1, Membrane progestin receptor beta, mPR beta, MPRB, PAQR8, Progestin and adipoQ receptor family member 8, Progestin and adipoQ receptor family member VIII, MPRB_HUMAN.
Background: The steroid progesterone induces the resumption of maturation in oocytes via a nongenomic pathway through binding to a novel membrane progestin receptor (mPR). This pathway inhibits adenylyl cyclase and reduces intracellular cAMP, and also activates mitogen-activated protein kinase to effect signal transduction pathways. Five distinct groups, designated Alpha, Beta, Gamma, Delta, comprise the mPR gene family. mPR Alpha, also designated progestin and adipo Theta receptor family member VII (PAQR7), consists of an extracellular N-terminus, an intracellular C-terminus and seven transmembrane domains. mPR Alpha is expressed in ovary, testis, placenta, uterus and bladder. mPR Beta, or progestin and adipo Theta receptor family member VIII (PAQR8), consists of eight putative transmembrane regions and an intracellular N-terminus that contains a leucine-rich motif. mPR Beta is a 354 amino acid protein expressed in brain and spinal cord. Both mPR Alpha and mPR Beta may be G protein-coupled receptors and may be involved in oocyte maturation.
-
Gene ID
- 85315
Target
-