NUB1 antibody (AA 1-326)
Quick Overview for NUB1 antibody (AA 1-326) (ABIN1490743)
Target
See all NUB1 AntibodiesReactivity
Host
Clonality
Conjugate
Application
Clone
-
-
Binding Specificity
- AA 1-326
-
Specificity
- Human NUB1
-
Purification
- Protein A/G purified
-
Immunogen
-
Human recombinant protein fragment corresponding to amino acids 1-326 of human NUB1 (NP_057202) produced in E. coli.
Type of Immunogen: Recombinant protein -
Isotype
- IgG2a
-
-
-
-
Application Notes
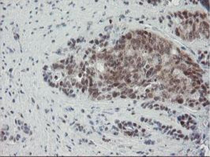
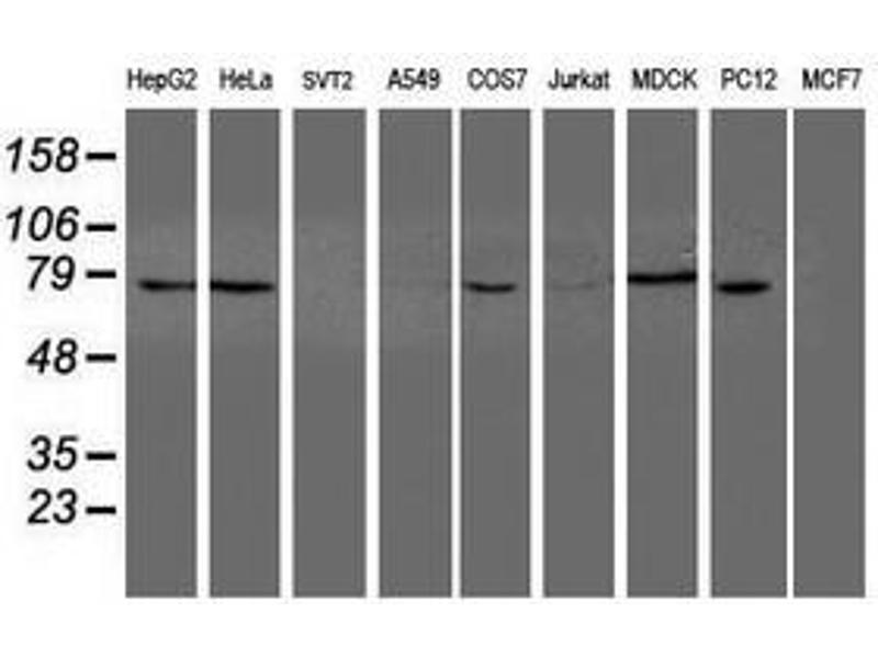
- Approved: Flo (1:100), IF (1:100), IHC, IHC-P (1:150), WB (1:500 - 1:2000)
-
Comment
-
Target Species of Antibody: Human
-
Restrictions
- For Research Use only
-
-
-
Format
- Liquid
-
Concentration
- Lot specific
-
Buffer
- PBS, pH 7.3, 1 % BSA, 50 % glycerol, 0.02 % sodium azide
-
Preservative
- Sodium azide
-
Precaution of Use
- This product contains Sodium azide: a POISONOUS AND HAZARDOUS SUBSTANCE which should be handled by trained staff only.
-
Storage
- -20 °C
-
Storage Comment
- Store at -20°C. Avoid freeze-thaw cycles.
-
-
- NUB1 (Negative Regulator of Ubiquitin-Like Proteins 1 (NUB1))
-
Alternative Name
- NUB1
-
Background
-
Name/Gene ID: NUB1
Synonyms: NUB1, BS4, NEDD8 μLtimate buster 1, NEDD8 μLtimate buster-1, NUB1L, NYREN18 -
Gene ID
- 51667
-
NCBI Accession
- NP_057202
Target
-