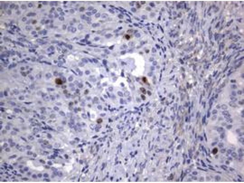
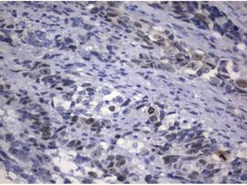
Ki-67 antibody (AA 1160-1493)
Quick Overview for Ki-67 antibody (AA 1160-1493) (ABIN1490860)
Target
See all Ki-67 (MKI67) AntibodiesReactivity
Host
Clonality
Conjugate
Application
Clone
-
-
Binding Specificity
- AA 1160-1493
-
Specificity
- Human Ki67
-
Purification
- Protein A/G purified
-
Immunogen
-
Human recombinant protein fragment corresponding to amino acids 1160-1493 of human MKI67 (NP_002408) produced in E. coli.
Type of Immunogen: Recombinant protein -
Isotype
- IgG1
-
-
-
-
Application Notes
- Approved: IHC, IHC-P (1:150), WB (1:1000)
-
Comment
-
Target Species of Antibody: Human
-
Restrictions
- For Research Use only
-
-
-
Format
- Liquid
-
Concentration
- Lot specific
-
Buffer
- PBS, pH 7.3, 1 % BSA, 50 % glycerol, 0.02 % sodium azide
-
Preservative
- Sodium azide
-
Precaution of Use
- This product contains Sodium azide: a POISONOUS AND HAZARDOUS SUBSTANCE which should be handled by trained staff only.
-
Handling Advice
- Minimize freezing and thawing.
-
Storage
- -20 °C
-
Storage Comment
- Store at -20°C. Avoid freeze-thaw cycles.
-
-
- Ki-67 (MKI67) (Antigen Identified By Monoclonal Antibody Ki-67 (MKI67))
-
Alternative Name
- MKI67 / Ki67
-
Background
-
Name/Gene ID: MKI67
Synonyms: MKI67, Antigen KI-67, Ki67, KIA -
Gene ID
- 4288
-
NCBI Accession
- NP_002408
-
UniProt
- P46013
-
Pathways
- Glycosaminoglycan Metabolic Process
Target
-