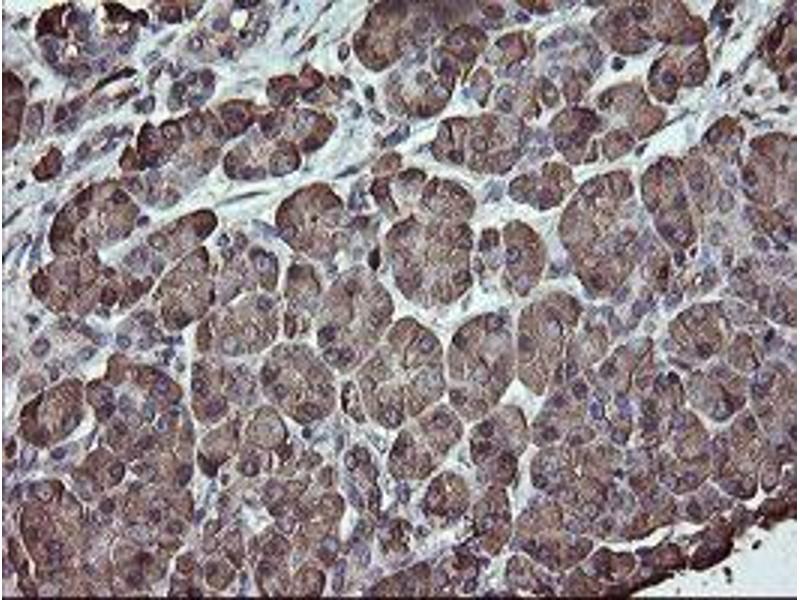
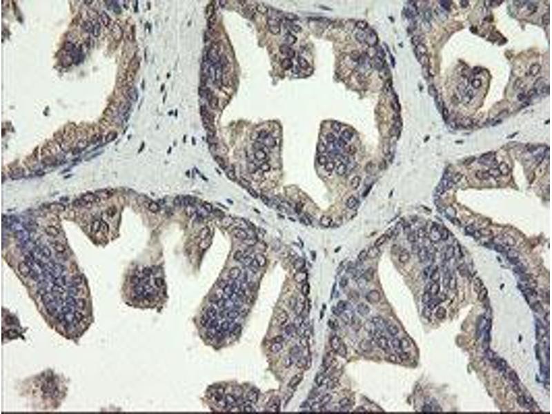
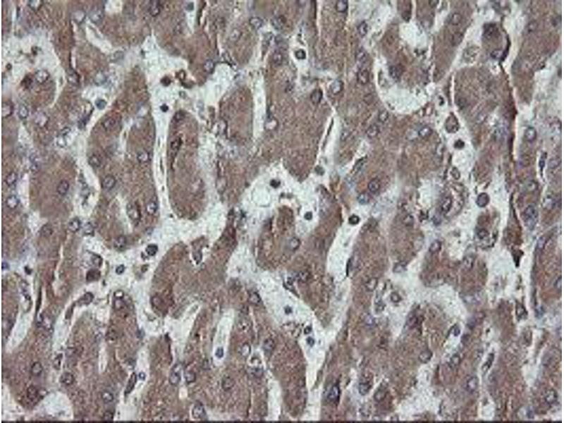
PDIA3 antibody (AA 140-505)
Quick Overview for PDIA3 antibody (AA 140-505) (ABIN1490935)
Target
See all PDIA3 AntibodiesReactivity
Host
Clonality
Conjugate
Application
Clone
-
-
Binding Specificity
- AA 140-505
-
Specificity
- Human ERP57
-
Purification
- Protein A/G purified
-
Immunogen
-
Human recombinant protein fragment corresponding to amino acids 140-505 of human PDIA3(NP_005304) produced in E. coli.
Type of Immunogen: Recombinant protein -
Isotype
- IgG2a
-
-
-
-
Application Notes
- Approved: IHC, IHC-P (1:150), WB (1:2000)
-
Comment
-
Target Species of Antibody: Human
-
Restrictions
- For Research Use only
-
-
-
Format
- Liquid
-
Concentration
- Lot specific
-
Buffer
- PBS, pH 7.3, 1 % BSA, 50 % glycerol, 0.02 % sodium azide
-
Preservative
- Sodium azide
-
Precaution of Use
- This product contains Sodium azide: a POISONOUS AND HAZARDOUS SUBSTANCE which should be handled by trained staff only.
-
Storage
- -20 °C
-
Storage Comment
- Store at -20°C. Avoid freeze-thaw cycles.
-
-
- PDIA3 (Protein Disulfide Isomerase Family A, Member 3 (PDIA3))
-
Alternative Name
- PDIA3 / ERp57
-
Background
-
Name/Gene ID: PDIA3
Synonyms: PDIA3, 58 kDa microsomal protein, ER protein 57, ERp60, ERp61, Disulfide isomerase ER-60, Endoplasmic reticulum P58, GRP58, HsT17083, p58, Phospholipase C-alpha, PI-PLC, ER protein 60, ER60, ERp57, GRP57, Protein disulfide-isomerase A3 -
Gene ID
- 2923
-
NCBI Accession
- NP_005304
-
Pathways
- Maintenance of Protein Location, Protein targeting to Nucleus, Cell RedoxHomeostasis
Target
-