Phone:
+1 877 302 8632
Fax:
+1 888 205 9894 (Toll-free)
E-Mail:
orders@antibodies-online.com

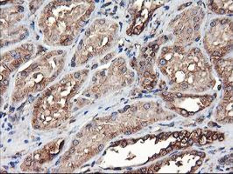
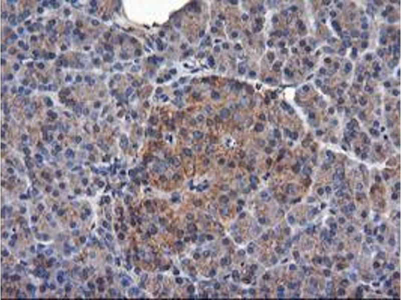
TUBAL3 antibody (AA 150-446)

This Mouse Monoclonal antibody specifically detects TUBAL3 in WB, FACS, IHC, IF and IHC (p). It exhibits reactivity toward Human, Dog, Rat, Monkey and Mouse.
Catalog No. ABIN1490956
$704.73
Plus shipping costs $50.00
100 μL
Shipping to: United States
Delivery in 11 to 15 Business Days

Quick Overview for TUBAL3 antibody (AA 150-446) (ABIN1490956)

Target

See all TUBAL3 Antibodies
TUBAL3 (Tubulin, alpha-Like 3 (TUBAL3))

Reactivity

  • 13
  • 1
  • 1
  • 1
  • 1
  • 1
Human, Dog, Rat, Monkey, Mouse

Host

  • 9
  • 4
Mouse

Clonality

  • 10
  • 3
Monoclonal

Conjugate

  • 9
  • 2
  • 1
  • 1
This TUBAL3 antibody is un-conjugated

Application

  • 8
  • 4
  • 2
  • 1
  • 1
  • 1
Western Blotting (WB), Flow Cytometry (FACS), Immunohistochemistry (IHC), Immunofluorescence (IF), Immunohistochemistry (Paraffin-embedded Sections) (IHC (p))

Clone

4C5
  • Binding Specificity

    • 5
    • 2
    • 2
    • 1
    • 1
    AA 150-446

    Specificity

    Human TUBAL3

    Purification

    Protein A/G purified

    Immunogen

    Human recombinant protein fragment corresponding to amino acids 150-446 of human TUBAL3(NP_079079) produced in E. coli.

    Type of Immunogen: Recombinant protein

    Isotype

    IgG2b
  • Application Notes

    Approved: Flo (1:100), IF (1:100), IHC, IHC-P (1:150), WB (1:500 - 1:2000)

    Comment

    Target Species of Antibody: Human

    Restrictions

    For Research Use only
  • Format

    Liquid

    Concentration

    Lot specific

    Buffer

    PBS,  pH 7.3, 1 % BSA, 50 % glycerol, 0.02 % sodium azide

    Preservative

    Sodium azide

    Precaution of Use

    This product contains Sodium azide: a POISONOUS AND HAZARDOUS SUBSTANCE which should be handled by trained staff only.

    Storage

    -20 °C

    Storage Comment

    Store at -20°C. Avoid freeze-thaw cycles.
  • Target

    TUBAL3 (Tubulin, alpha-Like 3 (TUBAL3))

    Alternative Name

    TUBAL3

    Background

    Name/Gene ID: TUBAL3

    Synonyms: TUBAL3, Tubulin alpha chain-like 3, Tubulin, alpha-like 3

    Gene ID

    79861

    NCBI Accession

    NP_079079
You are here:
Chat with us!