Phone:
+1 877 302 8632
Fax:
+1 888 205 9894 (Toll-free)
E-Mail:
orders@antibodies-online.com

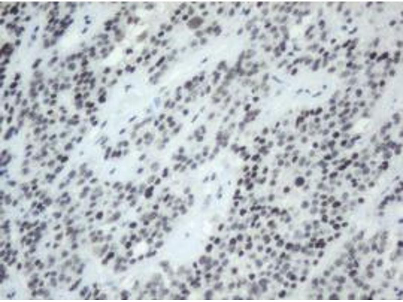
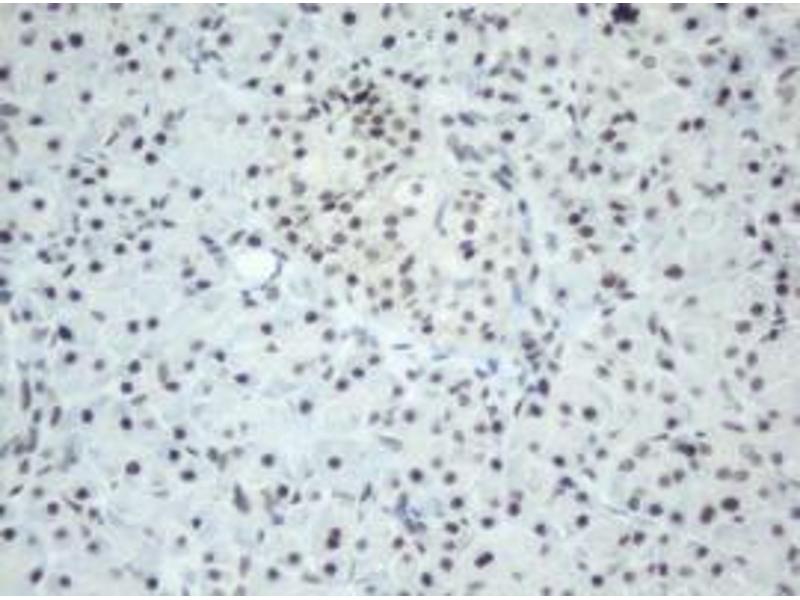
SF3A1 antibody (AA 249-568)

The Mouse Monoclonal anti-SF3A1 antibody is suitable to detect SF3A1 in samples from Human. It has been validated for WB, IHC and IHC (p).
Catalog No. ABIN1491272
$704.73
Plus shipping costs $50.00
100 μL
Shipping to: United States
Delivery in 11 to 15 Business Days

Quick Overview for SF3A1 antibody (AA 249-568) (ABIN1491272)

Target

See all SF3A1 Antibodies
SF3A1 (Splicing Factor 3a, Subunit 1 (SF3A1))

Reactivity

  • 26
  • 17
  • 10
  • 6
  • 6
  • 5
  • 5
  • 4
  • 4
  • 4
  • 3
  • 3
  • 2
  • 2
  • 2
  • 1
  • 1
Human

Host

  • 22
  • 5
Mouse

Clonality

  • 23
  • 4
Monoclonal

Conjugate

  • 27
This SF3A1 antibody is un-conjugated

Application

  • 25
  • 13
  • 10
  • 9
  • 7
  • 6
  • 3
  • 2
  • 1
Western Blotting (WB), Immunohistochemistry (IHC), Immunohistochemistry (Paraffin-embedded Sections) (IHC (p))

Clone

4D8
  • Binding Specificity

    • 3
    • 3
    • 2
    • 2
    • 2
    • 2
    • 1
    • 1
    • 1
    • 1
    • 1
    • 1
    • 1
    • 1
    • 1
    AA 249-568

    Specificity

    Human SF3A1 / SF3A120

    Purification

    Protein A/G purified

    Immunogen

    Human recombinant protein fragment corresponding to amino acids 249-568 of human SF3A1 (NP_005868) produced in E. coli.

    Type of Immunogen: Recombinant protein

    Isotype

    IgG1
  • Application Notes

    Approved: IHC, IHC-P (1:500), WB (1:2000)

    Comment

    Target Species of Antibody: Human

    Restrictions

    For Research Use only
  • Format

    Liquid

    Concentration

    Lot specific

    Buffer

    PBS,  pH 7.3, 1 % BSA, 50 % glycerol, 0.02 % sodium azide

    Preservative

    Sodium azide

    Precaution of Use

    This product contains Sodium azide: a POISONOUS AND HAZARDOUS SUBSTANCE which should be handled by trained staff only.

    Handling Advice

    Minimize freezing and thawing.

    Storage

    -20 °C

    Storage Comment

    Store at -20°C. Avoid freeze-thaw cycles.
  • Target

    SF3A1 (Splicing Factor 3a, Subunit 1 (SF3A1))

    Alternative Name

    SF3A1 / SF3A120

    Background

    Name/Gene ID: SF3A1

    Synonyms: SF3A1, Pre-mRNA processing 21, PRPF21, SAP 114, SAP114, SF3A120, Splicing factor 3 subunit 1, Splicing factor 3A subunit 1, PRP21

    Gene ID

    10291

    NCBI Accession

    NP_005868

    UniProt

    Q15459

    Pathways

    Ribonucleoprotein Complex Subunit Organization
You are here:
Chat with us!