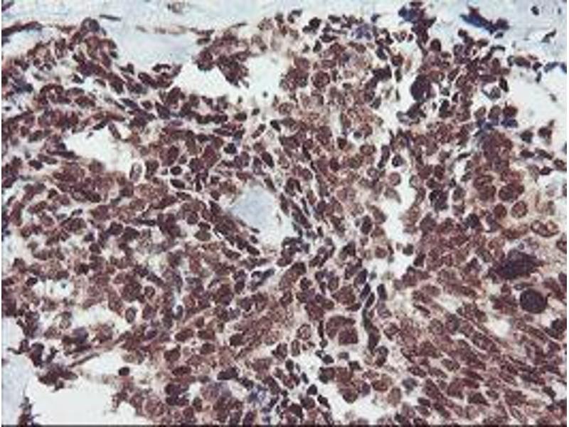
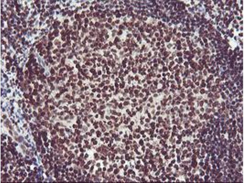
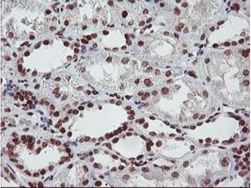
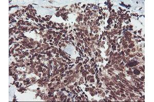
FMR1 antibody (AA 36-279)
Quick Overview for FMR1 antibody (AA 36-279) (ABIN1491454)
Target
See all FMR1 AntibodiesReactivity
Host
Clonality
Conjugate
Application
Clone
-
-
Binding Specificity
- AA 36-279
-
Specificity
- Human FMR1 / FMRP
-
Purification
- Protein A/G purified
-
Immunogen
-
Human recombinant protein fragment corresponding to amino acids 36-279 of human FMR1(NP_002015) produced in E. coli.
Type of Immunogen: Recombinant protein -
Isotype
- IgG1
-
-
-
-
Application Notes
- Approved: Flo (1:100), IF (1:100), IHC, IHC-P (1:150), WB (1:500 - 1:2000)
-
Comment
-
Target Species of Antibody: Human
-
Restrictions
- For Research Use only
-
-
-
Format
- Liquid
-
Concentration
- Lot specific
-
Buffer
- PBS, pH 7.3, 1 % BSA, 50 % glycerol, 0.02 % sodium azide
-
Preservative
- Sodium azide
-
Precaution of Use
- This product contains Sodium azide: a POISONOUS AND HAZARDOUS SUBSTANCE which should be handled by trained staff only.
-
Storage
- -20 °C
-
Storage Comment
- Store at -20°C. Avoid freeze-thaw cycles.
-
-
- FMR1 (Fragile X Mental Retardation 1 (FMR1))
-
Alternative Name
- FMR1 / FMRP
-
Background
-
Name/Gene ID: FMR1
Synonyms: FMR1, FMRP, POF, Protein FMR-1, Premature ovarian failure 1, Fragile X mental retardation 1, FRAXA, POF1 -
Gene ID
- 2332
-
NCBI Accession
- NP_002015
-
Pathways
- Regulation of Muscle Cell Differentiation, Skeletal Muscle Fiber Development
Target
-