Phone:
+1 877 302 8632
Fax:
+1 888 205 9894 (Toll-free)
E-Mail:
orders@antibodies-online.com

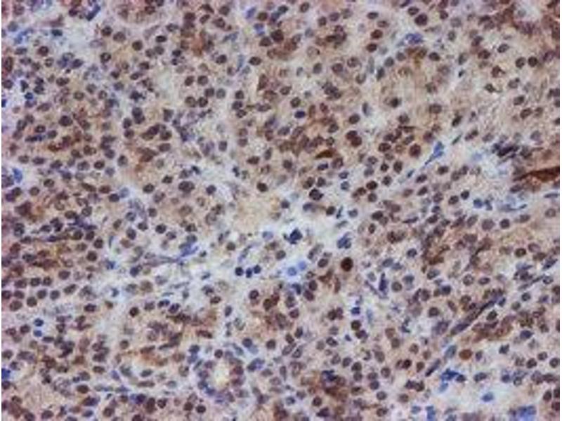
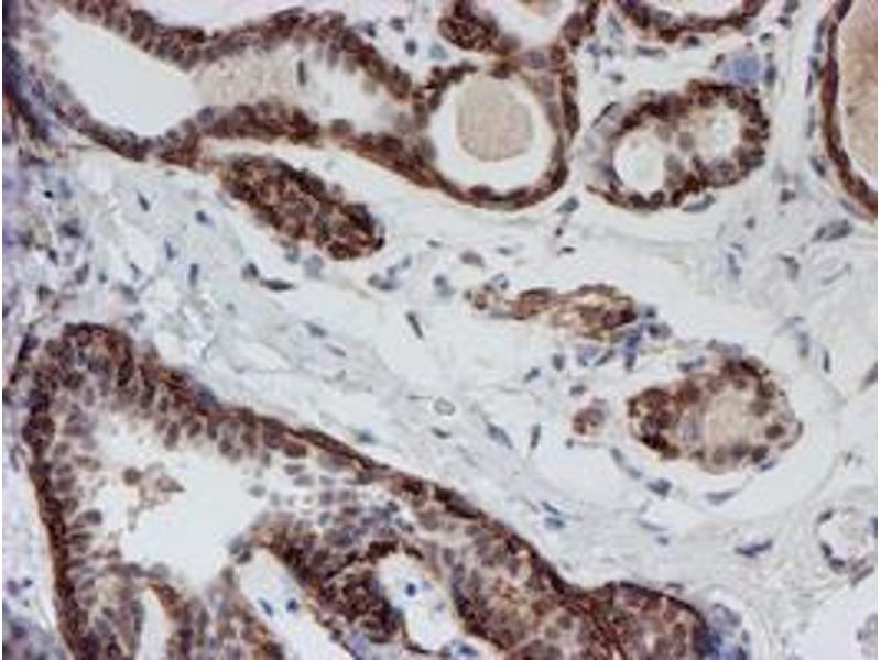
ATRIP antibody (AA 42-309)

The Mouse Monoclonal anti-ATRIP antibody (Clone 5E7) (ABIN1491507) specifically detects ATRIP in WB, IHC, IF, IHC (p) and FACS. The antibody is reactive with Human and Dog samples.
Catalog No. ABIN1491507
$704.73
Plus shipping costs $50.00
100 μL
Shipping to: United States
Delivery in 11 to 15 Business Days

Quick Overview for ATRIP antibody (AA 42-309) (ABIN1491507)

Target

See all ATRIP Antibodies
ATRIP (ATR Interacting Protein (ATRIP))

Reactivity

  • 78
  • 27
  • 25
  • 2
Human, Dog

Host

  • 73
  • 5
Mouse

Clonality

  • 61
  • 17
Monoclonal

Conjugate

  • 43
  • 4
  • 2
  • 2
  • 2
  • 2
  • 2
  • 2
  • 2
  • 2
  • 1
  • 1
  • 1
  • 1
  • 1
  • 1
  • 1
  • 1
  • 1
  • 1
  • 1
  • 1
  • 1
  • 1
  • 1
This ATRIP antibody is un-conjugated

Application

  • 61
  • 31
  • 25
  • 16
  • 16
  • 14
  • 13
  • 8
  • 8
  • 5
  • 5
  • 3
  • 1
  • 1
Western Blotting (WB), Immunohistochemistry (IHC), Immunofluorescence (IF), Immunohistochemistry (Paraffin-embedded Sections) (IHC (p)), Flow Cytometry (FACS)

Clone

5E7
  • Binding Specificity

    • 21
    • 15
    • 12
    • 9
    • 4
    • 3
    • 3
    • 2
    • 2
    • 1
    • 1
    • 1
    • 1
    • 1
    • 1
    AA 42-309

    Specificity

    Human ATRIP

    Purification

    Protein A/G purified

    Immunogen

    Human recombinant protein fragment corresponding to amino acids 42-309 of human ATRIP(NP_569055) produced in E. coli.

    Type of Immunogen: Recombinant protein

    Isotype

    IgG2a
  • Application Notes

    Approved: Flo (1:100), IF (1:100), IHC, IHC-P (1:150), WB (1:500 - 1:2000)

    Comment

    Target Species of Antibody: Human

    Restrictions

    For Research Use only
  • Format

    Liquid

    Concentration

    Lot specific

    Buffer

    PBS,  pH 7.3, 1 % BSA, 50 % glycerol, 0.02 % sodium azide

    Preservative

    Sodium azide

    Precaution of Use

    This product contains Sodium azide: a POISONOUS AND HAZARDOUS SUBSTANCE which should be handled by trained staff only.

    Storage

    -20 °C

    Storage Comment

    Store at -20°C. Avoid freeze-thaw cycles.
  • Target

    ATRIP (ATR Interacting Protein (ATRIP))

    Alternative Name

    ATRIP

    Background

    Name/Gene ID: ATRIP

    Synonyms: ATRIP, AGS1, ATR-interacting protein, ATR interacting protein

    Gene ID

    84126

    NCBI Accession

    NP_569055
You are here:
Chat with us!