Phone:
+1 877 302 8632
Fax:
+1 888 205 9894 (Toll-free)
E-Mail:
orders@antibodies-online.com

PSMA2 antibody (AA 50-234)

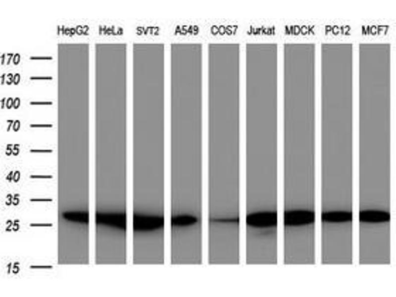
The Mouse Monoclonal anti-PSMA2 antibody is suitable to detect PSMA2 in samples from Human, Mouse, Rat, Dog and Monkey. It has been validated for WB, IHC and IHC (p).
Catalog No. ABIN1491566
$704.73
Plus shipping costs $50.00
100 μL
Shipping to: United States
Delivery in 11 to 15 Business Days

Quick Overview for PSMA2 antibody (AA 50-234) (ABIN1491566)

Target

See all PSMA2 Antibodies
PSMA2 (Proteasome Subunit alpha 2 (PSMA2))

Reactivity

  • 58
  • 39
  • 36
  • 6
  • 5
  • 5
  • 4
  • 4
  • 4
  • 3
  • 2
  • 2
  • 2
  • 1
Human, Mouse, Rat, Dog, Monkey

Host

  • 57
  • 2
Mouse

Clonality

  • 45
  • 14
Monoclonal

Conjugate

  • 26
  • 3
  • 3
  • 2
  • 2
  • 2
  • 2
  • 2
  • 2
  • 2
  • 1
  • 1
  • 1
  • 1
  • 1
  • 1
  • 1
  • 1
  • 1
  • 1
  • 1
  • 1
  • 1
This PSMA2 antibody is un-conjugated

Application

  • 48
  • 19
  • 16
  • 14
  • 13
  • 11
  • 6
  • 6
  • 2
  • 1
  • 1
Western Blotting (WB), Immunohistochemistry (IHC), Immunohistochemistry (Paraffin-embedded Sections) (IHC (p))

Clone

3D9
  • Binding Specificity

    • 5
    • 3
    • 2
    • 2
    • 1
    • 1
    • 1
    • 1
    • 1
    • 1
    • 1
    • 1
    • 1
    • 1
    AA 50-234

    Specificity

    Human PSMA2 / HC3

    Purification

    Protein A/G purified

    Immunogen

    Human recombinant protein fragment corresponding to amino acids 50-234 of human PSMA2(NP_002778) produced in E. coli.

    Type of Immunogen: Recombinant protein

    Isotype

    IgG2b
  • Application Notes

    Approved: IHC, IHC-P (1:500), WB (1:2000)

    Comment

    Target Species of Antibody: Human

    Restrictions

    For Research Use only
  • Format

    Liquid

    Concentration

    Lot specific

    Buffer

    PBS,  pH 7.3, 1 % BSA, 50 % glycerol, 0.02 % sodium azide

    Preservative

    Sodium azide

    Precaution of Use

    This product contains Sodium azide: a POISONOUS AND HAZARDOUS SUBSTANCE which should be handled by trained staff only.

    Handling Advice

    Minimize freezing and thawing.

    Storage

    -20 °C

    Storage Comment

    Store at -20°C. Avoid freeze-thaw cycles.
  • Target

    PSMA2 (Proteasome Subunit alpha 2 (PSMA2))

    Alternative Name

    PSMA2 / HC3

    Background

    Name/Gene ID: PSMA2
    Subfamily: Threonine T1
    Family: Protease Non Catalytic

    Synonyms: PSMA2, Macropain subunit C3, HC3, Proteasome component C3, Proteasome subunit HC3, PSC2, MU, PMSA2, PSC3

    Gene ID

    5683

    NCBI Accession

    NP_002778

    UniProt

    P25787

    Pathways

    Mitotic G1-G1/S Phases, DNA Replication, Synthesis of DNA
You are here:
Chat with us!