Phone:
+1 877 302 8632
Fax:
+1 888 205 9894 (Toll-free)
E-Mail:
orders@antibodies-online.com

Parvin alpha antibody

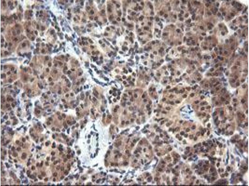
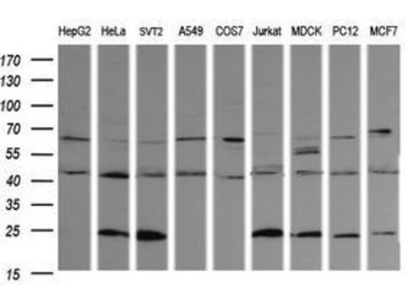
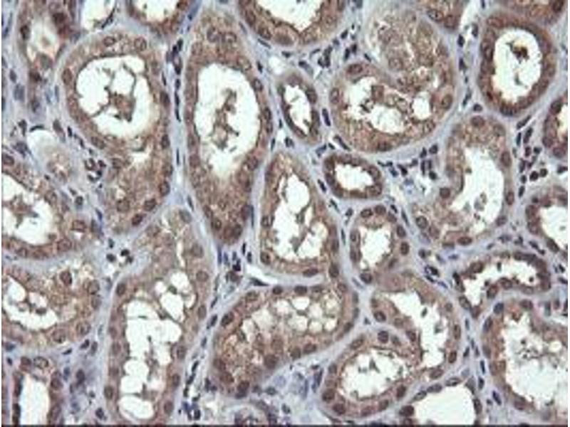
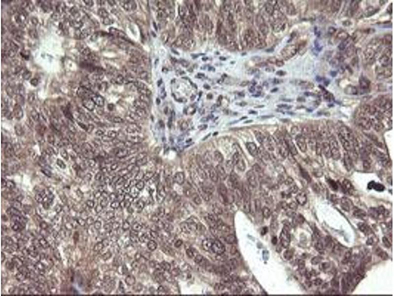
The Mouse Monoclonal anti-Parvin alpha antibody (Clone 1C11) (ABIN1496442) specifically detects Parvin alpha in WB, IHC, IF and IHC (p). The antibody is reactive with Human, Mouse, Rat, Monkey and Dog samples.
Catalog No. ABIN1496442
$704.73
Plus shipping costs $50.00
100 μL
Shipping to: United States
Delivery in 11 to 15 Business Days

Quick Overview for Parvin alpha antibody (ABIN1496442)

Target

See all Parvin alpha (PARVA) Antibodies
Parvin alpha (PARVA) (Parvin, alpha (PARVA))

Reactivity

  • 39
  • 31
  • 5
  • 2
  • 1
  • 1
Human, Mouse, Rat, Monkey, Dog

Host

  • 51
  • 5
  • 1
Mouse

Clonality

  • 52
  • 5
Monoclonal

Conjugate

  • 29
  • 5
  • 4
  • 4
  • 2
  • 2
  • 1
  • 1
  • 1
  • 1
  • 1
  • 1
  • 1
  • 1
  • 1
  • 1
  • 1
This Parvin alpha antibody is un-conjugated

Application

  • 51
  • 25
  • 14
  • 13
  • 13
  • 8
  • 5
  • 3
  • 3
  • 1
  • 1
  • 1
  • 1
  • 1
Western Blotting (WB), Immunohistochemistry (IHC), Immunofluorescence (IF), Immunohistochemistry (Paraffin-embedded Sections) (IHC (p))

Clone

1C11
  • Specificity

    Human Actopaxin / PARVA

    Purification

    Protein A/G purified

    Immunogen

    Full length human recombinant protein of human PARVA(NP_060692) produced in HEK293T cell.

    Type of Immunogen: Recombinant protein

    Isotype

    IgG2a
  • Application Notes

    Approved: IF (1:100), IHC, IHC-P (1:150), WB (1:200 - 1:4000)

    Comment

    Target Species of Antibody: Human

    Restrictions

    For Research Use only
  • Format

    Liquid

    Concentration

    Lot specific

    Buffer

    PBS,  pH 7.3, 1 % BSA, 50 % glycerol, 0.02 % sodium azide

    Preservative

    Sodium azide

    Precaution of Use

    This product contains Sodium azide: a POISONOUS AND HAZARDOUS SUBSTANCE which should be handled by trained staff only.

    Handling Advice

    Minimize freezing and thawing.

    Storage

    -20 °C

    Storage Comment

    Store at -20°C. Avoid freeze-thaw cycles.
  • Target

    Parvin alpha (PARVA) (Parvin, alpha (PARVA))

    Alternative Name

    PARVA

    Background

    Name/Gene ID: PARVA

    Synonyms: PARVA, Actopaxin, Alpha-parvin, CH-ILKBP, Parvin, alpha, MXRA2

    Gene ID

    55742

    NCBI Accession

    NP_060692

    UniProt

    Q9NVD7

    Pathways

    Smooth Muscle Cell Migration
You are here:
Chat with us!