Phone:
+1 877 302 8632
Fax:
+1 888 205 9894 (Toll-free)
E-Mail:
orders@antibodies-online.com

Adenylate Kinase 1 antibody

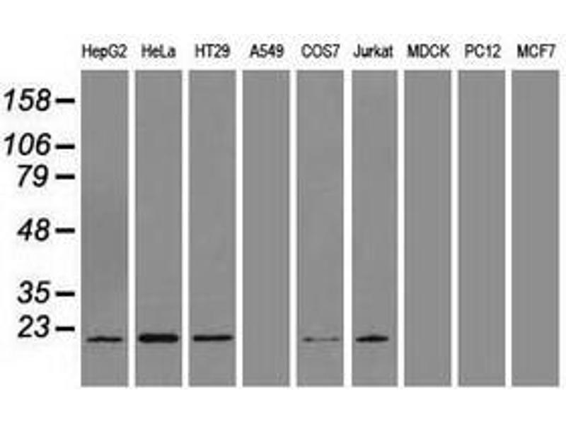
The Mouse Monoclonal anti-Adenylate Kinase 1 antibody is suitable to detect Adenylate Kinase 1 in samples from Human and Monkey. It has been validated for WB, IF and FACS.
Catalog No. ABIN1496516
$704.73
Plus shipping costs $50.00
100 μL
Shipping to: United States
Delivery in 11 to 15 Business Days

Quick Overview for Adenylate Kinase 1 antibody (ABIN1496516)

Target

See all Adenylate Kinase 1 (AK1) Antibodies
Adenylate Kinase 1 (AK1)

Reactivity

  • 89
  • 26
  • 19
  • 9
  • 8
  • 8
  • 6
  • 5
  • 5
  • 4
  • 4
  • 3
  • 3
  • 2
  • 1
  • 1
Human, Monkey

Host

  • 83
  • 12
  • 6
Mouse

Clonality

  • 90
  • 11
Monoclonal

Conjugate

  • 51
  • 10
  • 6
  • 4
  • 3
  • 3
  • 2
  • 2
  • 2
  • 2
  • 2
  • 2
  • 1
  • 1
  • 1
  • 1
  • 1
  • 1
  • 1
  • 1
  • 1
  • 1
  • 1
  • 1
This Adenylate Kinase 1 antibody is un-conjugated

Application

  • 60
  • 36
  • 25
  • 23
  • 13
  • 13
  • 11
  • 9
  • 9
  • 6
  • 6
  • 6
  • 5
  • 4
  • 3
  • 2
  • 1
Western Blotting (WB), Immunofluorescence (IF), Flow Cytometry (FACS)

Clone

19D1
  • Specificity

    Human AK1

    Purification

    Protein A/G purified

    Immunogen

    Full length human recombinant protein of human AK1 (NP_000467) produced in HEK293T cell.

    Type of Immunogen: Recombinant protein

    Isotype

    IgG2b
  • Application Notes

    Approved: Flo (1:100), IF (1:50), WB (1:1000 - 1:2000)

    Usage: Concentration: 1.10 mg/mL (Lot dependent)

    Comment

    Target Species of Antibody: Human

    Restrictions

    For Research Use only
  • Format

    Liquid

    Concentration

    Lot specific

    Buffer

    PBS,  pH 7.3, 1 % BSA, 50 % glycerol, 0.02 % sodium azide

    Preservative

    Sodium azide

    Precaution of Use

    This product contains Sodium azide: a POISONOUS AND HAZARDOUS SUBSTANCE which should be handled by trained staff only.

    Handling Advice

    Minimize freezing and thawing.

    Storage

    -20 °C

    Storage Comment

    Store at -20°C. Avoid freeze-thaw cycles.
  • Target

    Adenylate Kinase 1 (AK1)

    Alternative Name

    AK1 / Adenylate Kinase 1

    Background

    Name/Gene ID: AK1
    Family: Non-protein Kinase

    Synonyms: AK1, Adenylate kinase isoenzyme 1, Adenylate kinase 1, AK 1, ATP-AMP transphosphorylase 1, Myokinase

    Gene ID

    203

    NCBI Accession

    NP_000467

    UniProt

    P00568

    Pathways

    Nucleotide Phosphorylation, Ribonucleoside Biosynthetic Process
You are here:
Chat with us!