ARHGAP25 antibody
Quick Overview for ARHGAP25 antibody (ABIN1496705)
Target
See all ARHGAP25 AntibodiesReactivity
Host
Clonality
Conjugate
Application
Clone
-
-
Specificity
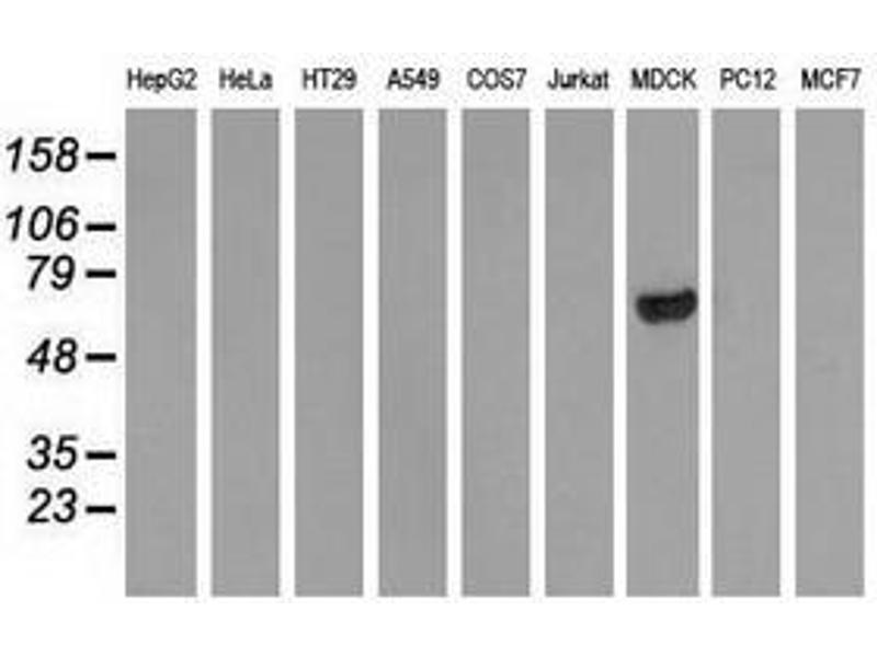
- Human ARHGAP25
-
Purification
- Protein A/G purified
-
Immunogen
-
Full length human recombinant protein of human ARHGAP25 (NP_055697) produced in HEK293T cell.
Type of Immunogen: Recombinant protein -
Isotype
- IgG2a
-
-
-
-
Application Notes
-
Approved: Flo (1:100), IF (1:100), WB (1:500 - 1:2000)
Usage: Concentration: 1.00 mg/mL (Lot dependent) -
Comment
-
Target Species of Antibody: Human
-
Restrictions
- For Research Use only
-
-
-
Format
- Liquid
-
Concentration
- Lot specific
-
Buffer
- PBS, pH 7.3, 1 % BSA, 50 % glycerol, 0.02 % sodium azide
-
Preservative
- Sodium azide
-
Precaution of Use
- This product contains Sodium azide: a POISONOUS AND HAZARDOUS SUBSTANCE which should be handled by trained staff only.
-
Handling Advice
- Minimize freezing and thawing.
-
Storage
- -20 °C
-
Storage Comment
- Store at -20°C. Avoid freeze-thaw cycles.
-
-
-