BCAR1 antibody
Quick Overview for BCAR1 antibody (ABIN1496833)
Target
See all BCAR1 AntibodiesReactivity
Host
Clonality
Conjugate
Application
Clone
-
-
Specificity
- Human BCAR1 / p130Cas
-
Purification
- Protein A/G purified
-
Immunogen
-
Full length human recombinant protein of human BCAR1 (NP_055382) produced in HEK293T cell.
Type of Immunogen: Recombinant protein -
Isotype
- IgG1
-
-
-
-
Application Notes
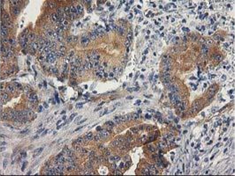
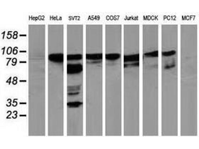
- Approved: Flo (1:100), IF (1:100), IHC, IHC-P (1:150), WB (1:500 - 1:2000)
-
Comment
-
Target Species of Antibody: Human
-
Restrictions
- For Research Use only
-
-
-
Format
- Liquid
-
Concentration
- Lot specific
-
Buffer
- PBS, pH 7.3, 1 % BSA, 50 % glycerol, 0.02 % sodium azide
-
Preservative
- Sodium azide
-
Precaution of Use
- This product contains Sodium azide: a POISONOUS AND HAZARDOUS SUBSTANCE which should be handled by trained staff only.
-
Handling Advice
- Minimize freezing and thawing.
-
Storage
- -20 °C
-
Storage Comment
- Store at -20°C. Avoid freeze-thaw cycles.
-
-
- BCAR1 (Breast Cancer Anti-Estrogen Resistance 1 (BCAR1))
-
Alternative Name
- BCAR1 / p130Cas
-
Background
-
Name/Gene ID: BCAR1
Synonyms: BCAR1, CAS, CAS1, CRKAS, CASS1, CRK-associated substrate, p130Cas -
Gene ID
- 9564
-
NCBI Accession
- NP_055382
-
UniProt
- P56945
-
Pathways
- EGFR Signaling Pathway, Neurotrophin Signaling Pathway, CXCR4-mediated Signaling Events, Platelet-derived growth Factor Receptor Signaling
Target
-