CTNNB1 antibody (AA 531-781)
Quick Overview for CTNNB1 antibody (AA 531-781) (ABIN1496902)
Target
See all CTNNB1 AntibodiesReactivity
Host
Clonality
Conjugate
Application
Clone
-
-
Binding Specificity
- AA 531-781
-
Specificity
- Human Beta Catenin
-
Purification
- Protein A/G purified
-
Immunogen
-
Human recombinant protein fragment corresponding to amino acids 531-781 of human beta-catenin (NP_001895) produced in E. coli.
Type of Immunogen: Recombinant protein -
Isotype
- IgG1
-
-
-
-
Application Notes
-
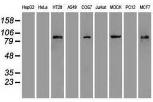
Approved: WB (1:500 - 1:1000)
Usage: Concentration: 0.5-1.0 mg/mL (Lot dependent) -
Comment
-
Target Species of Antibody: Human
-
Restrictions
- For Research Use only
-
-
-
Format
- Liquid
-
Concentration
- Lot specific
-
Buffer
- PBS, pH 7.3, 1 % BSA, 50 % glycerol, 0.02 % sodium azide
-
Preservative
- Sodium azide
-
Precaution of Use
- This product contains Sodium azide: a POISONOUS AND HAZARDOUS SUBSTANCE which should be handled by trained staff only.
-
Handling Advice
- Minimize freezing and thawing.
-
Storage
- -20 °C
-
Storage Comment
- Store at -20°C. Avoid freeze-thaw cycles.
-
-
- CTNNB1 (Catenin (Cadherin-Associated Protein), beta 1, 88kDa (CTNNB1))
-
Alternative Name
- CTNNB1 / Beta Catenin
-
Background
-
Name/Gene ID: CTNNB1
Family: Catenin
Synonyms: CTNNB1, Beta-catenin, Catenin beta-1, CTNNB, Beta Catenin -
Gene ID
- 1499
-
NCBI Accession
- NP_001895
-
UniProt
- P35222
-
Pathways
- WNT Signaling, Intracellular Steroid Hormone Receptor Signaling Pathway, Peptide Hormone Metabolism, Regulation of Muscle Cell Differentiation, Cell-Cell Junction Organization, Tube Formation, Maintenance of Protein Location, Signaling Events mediated by VEGFR1 and VEGFR2
Target
-